Effectiveness of Autodermoplasty in Combination with Injection of Autological Stromal-Vascular Cell Fraction in Treatment of Deep Burns
- Authors: Alekseev A.A.1, Zinoviev E.V.2, Kostyakov D.V.2, Manukovskii V.A.2, Filimonov K.A.1, Astrelina T.A.3, Kobzeva I.V.3, Hromnia S.S.1, Derii E.K.2
-
Affiliations:
- A.V. Vishnevsky National Medical Research Center of Surgery
- I.I. Dzhanelidze Saint-Petersburg Research Institute of Emergency Medicine
- State Research Center – Burnasyan Federal Medical Biophysical Center of Federal Medical Biological Agency
- Issue: Vol 17, No 2 (2024)
- Pages: 51-59
- Section: Original articles
- URL: https://vestnik-surgery.com/journal/article/view/1765
- DOI: https://doi.org/10.18499/2070-478X-2024-17-2-51-59
- ID: 1765
Cite item
Full Text
Abstract
Introduction. The use of autologous stromal-vascular cell fraction of adipose tissue seems to be one of the promising technologies to increase the effectiveness of skin grafting and other skin restoration options in burnt patients. The main regenerative component of the stromal-vascular fraction are mesenchymal stem cells, which have a high reparative potential and low immunogenicity.
The aim of the study was to increase the effectiveness of surgical treatment of patients with skin burns through the injection of autological stromal-vascular cell fraction of the adipose tissue.
Materials and methods. The study was conducted as part of a prospective, open, randomized study involving 61 patients with extensive skin burns treated in burn centers Dzhanelidze Saint-Petersburg Research Institute of Emergency Medicine and Vishnevsky National Medical Research Center of Surgery, Ministry of Health of Russia, in 2021-2023. Cells of the stromal-vascular fraction of the adipose tissue were obtained mechanically and enzymatically. The prepared cell suspension was introduced into the granulation tissue during skin grafting with split autodermal grafts having a high perforation coefficient. During the study, planimetric parameters, as well as the results of histological and immunohistochemical tests, were assessed. The obtained findings were processed using generally accepted algorithms of variation and descriptive statistics. The alternative hypothesis was accepted at p<0.05.
Results. The proposed technique of autologous stromal-vascular cell fraction of the adipose tissue with simultaneous autodermoplasty with a split perforated graft allowed reducing the time of perforating cell epithelization by 28% (p<0.05), the time of final engraftment by 11% (p<0.05), the frequency of infectious complications in the postoperative period by 20% (p<0.05), as well as the frequency of lysis and rejection reactions by 15% (p<0.05). As stated, the introduction of an autologous stromal-vascular fraction during skin grafting resulted in early relief of the inflammatory reaction in the area of a deep burn wound, the fact being supported by clinical, cytological, histological and immunohistochemical tests.
Conclusion. The use of cells from the stromal-vascular fraction of the adipose tissue can significantly increase the effectiveness of surgical treatment of patients with extensive skin burns. The proposed technique to obtain and apply the stromal-vascular fraction of the adipose tissue at the stage of autodermoplasty can be introduced into clinical practice in both burn centers and surgical/trauma departments, since it does not require special equipment.
Full Text
Наиболее распространенным методом реконструкции кожного покрова при глубоких ожогах является аутодермопластика. Однако, при критичных и сверхкритичных ожогах она не позволяет быстро восстановить кожный покров. Остается актуальным вопрос о поиске новых методик, направленных на повышение ее эффективности. Одним из таких направлений в регенеративной медицине выступает использование стволовых клеток [1], которые можно разделить на три основные группы: гемопоэтические (кроветворные), мультипотентные мезенхимальные (стромальные) и тканеспецифичные прогениторные [2]. В результате многочисленных исследований доказано, что мезенхимальные стволовые клетки (далее МСК) являются наиболее эффективными и перспективными при лечении ожоговых ран.
Особенностью МСК является то, что они обладают низкой иммуногенностью, что обеспечивает возможность их аллогенной трансплантации от практически любого донора без использования иммуносупрессивной терапии [3].
МСК могут быть получены несколькими способами, однако наиболее простой, доступный и эффективный – это их выделение в составе стромально-васкулярной фракции (далее СВФ) жировой ткани [1]. Подкожная жировая клетчатка является богатым депо мезенхимальных стволовых и прогениторных клеток [4-6]. СВФ характеризуется неоднородностью и значительной вариабельностью клеточного состава, в зависимости от состояния донора, его возраста, области забора ткани и преимущественно представлена: МСК, эндотелиальными и гладкомышечными клетками, перицитами, фибробластами, тучными клетками и преадипоцитами [4, 5]. Такой набор клеток обеспечивает высокий регенераторный потенциал СВФ, что может быть эффективно использовано при лечении обожженных.
Цель
Повышение эффективности хирургического лечения пострадавших с ожогами кожи за счет внедрения технологии инъекционного введения клеток аутологичной стромально-васкулярной фракции жировой ткани.
Материалы и методы
Всего в исследование включен 61 пациент в возрасте от 18 до 59 лет, из которых 40 пациентов проходили лечение в ГБУ СПб НИИ СП им. И.И. Джанелидзе в период 2021–2023 гг., а также 21 пациент, находившийся на стационарном лечении в ФГБУ «НМИЦ хирургии им. А.В. Вишневского» Минздрава России в 2022–2023 гг. по поводу глубоких ожогов и перенесших аутодермопластику. Исследование было одобрено локальным этическим комитетом ГБУ СПб НИИ СП им. И.И. Джанелидзе, протокол №1-8 от 10 октября 2020 г. и локальным этическим комитетом ФГБУ «НМИЦ хирургии им. А.В. Вишневского» Минздрава России, протокол № 005-2022 от 17.06.2022 г., и проводилось в соответствии с соглашением о научно-техническом сотрудничестве между учреждениями ФГБУ «НМИЦ хирургии им. А.В. Вишневского» Минздрава России с ГБУ СПб НИИ СП им. И.И. Джанелидзе от 01.09.2021. Все пациенты подписывали дополнительное добровольное информированное согласие на лечение с применением СВФ жировой ткани.
Обожженные были разделены на две группы. Первая группа (сравнение) – пострадавшие, у которых лечение глубоких ожогов предусматривало выполнение аутодермопластики расщепленными перфорированными трансплантатами на 24,9±2,8 сутки, с последующим их ведением под атравматичными раневыми покрытиями «Активтекс» (Российская Федерация). Вторая группа (исследуемые) – пациенты с аналогичным по площади и глубине ожогами, хирургическое лечение у которых предусматривало аутодермопластику расщепленными трансплантатами, перфорированными в соотношении 1:3, с одномоментным введением в грануляционную ткань под трансплантат аутологичной стромально-васкулярной клеточной фракции жировой ткани на 25,7±4,3 сутки, с последующим ее ведением под атравматичные раневые покрытия «Активтекс» (Российская Федерация).
При выполнении работы в ГБУ СПб НИИ СП им. И.И. Джанелидзе были выбраны следующие критерии включения в исследование: возраст от 18 до 59 лет, общая площадь ожога кожи до 15%, при этом площадь глубокого ожога III степени по МКБ-10 до 10%, площадь аутодермопластики до 5% от общей площади кожного покрова. Также были определены критерии исключения из исследования: отказ пациента от применения СВФ, онкологические заболевания, выявленные за последние 5 лет, беременность или период грудного вскармливания, прием пациентом иммуносупрессивных препаратов, подтвержденные носители ВИЧ, сифилиса, гепатита В или С.
Средний возраст пациентов в группе сравнения составил 38,15±11,08 лет, общая площадь ожоговых ран – 8,15±2,28%, средняя величина площади глубокого ожога составила 4,45±1,7%. Средний возраст пациентов в исследуемой группе – 40,2±11,44 лет, общая площадь ожоговых ран в группе – 11±2,53%, средняя величина площади глубокого ожога – 5,2±1,94%.
При выполнении работы в ФГБУ «НМИЦ хирургии им. А.В. Вишневского» Минздрава России были выбраны следующие критерии включения для исследования: возраст от 18 до 65 лет, общая площадь ожога кожи до 60%, при этом площадь глубокого ожога III степени по МКБ-10 до 30%, площадь аутодермопластики до 20% от общей площади кожного покрова. Также были определены критерии исключения из исследования, аналогичные соответствующим критериям НИИ СП им. И.И. Джанелидзе.
Средний возраст пациентов составил 38,6±4,3 лет, общая площадь ожоговых ран – 45,6±1,7%, средняя величина площади глубокого ожога – 22±3,2%.
Пациентам, которые находились в ФГБУ «НМИЦ хирургии им. А.В. Вишневского» Минздрава России, в силу тяжести травмы, с учетом общей площади ожогов и площади глубоких ожогов, было необходимо проведение комплексного лечения, направленного в итоге на восстановление целостности кожного покрова при выраженном дефиците донорских участков (неповрежденной кожи). Применение при этом кожных аутотрансплантатов с перфорацией ячеек 1:6, в комбинации с инъекционным введением аутологичных клеток СВФ в основной группе (11 больных), было операцией выбора.
В ходе работы нами были использованы: клинический метод исследования (ежедневный осмотр, контроль характера отделяемого, эпителизации и приживления трансплантатов), а также планиметрический метод, рассчитываемый по оригинальной методике (патент РФ № 2798225 от 03.08.2022). Глубина ожоговой раны оценивалась путем проверки сосудистой реакции и болевой чувствительности. Цитологический метод исследования предусматривал отбор мазков-отпечатков с поверхности ожоговых ран до начала оперативного лечения, а также на 3-е и 12-е сутки. Для проведения гистологического и иммуногистохимического методов исследования биоптаты кожи отбирались на 3-е и 10-е сутки после проведения аутодермопластики.
Рис. 1. Липоаспирация области передней брюшной стенки.
Fig. 1. Lipoaspiration of the anterior abdominal wall.
В ГБУ СПб НИИ СП им. И.И. Джанелидзе СВФ жировой ткани была получена механическим путем по разработанной оригинальной методике. На первом этапе выполнялась липоаспирация жировой ткани (рис. 1). Затем полученная жировая ткань переносилась в шприцы (рис. 2-1) и подвергалась первичному центрифугированию в течении четырех минут при 2500 оборотах в минуту. В результате, в шприцах формировалось три фракции (рис. 2-2): верхняя – представленная фрагментами разрушенных адипоцитов, средняя – жизнеспособными, интактными жировыми клетками и нижняя – инфильтрационным раствором. Первая и третья фракции удалялись (рис. 2-3), а вторая пропускалась через эмульсификатор (рис. 2-4), для достижения гомогенной субстанции, которая вновь подвергалась процедуре центрифугирования при 3000 оборотах в минуту, в течении двух минут.
В результате повторного центрифугирования вновь формировались две фракции – верхняя, представленная разрушенными адипоцитами, и нижняя, представленная СВФ жировой ткани (рис. 2-5), которая переносилась в отдельный шприц и была готова к применению (рис. 2-6).
Рис. 2. Процесс получения СВФ жировой ткани.
Fig. 2. Process of obtaining SVF adipose tissue.
Забор жировой ткани у пациентов, находившихся на лечении в ФГБУ «НМИЦ хирургии им. А.В. Вишневского» Минздрава России, осуществлялся аналогично, с использованием шприцевой липоаспирации. Затем, в соответствии с соглашением о научном сотрудничестве от 19.04.2022 г. с ФГБУ ГНЦ ФМБЦ им. А.И. Бурназяна ФМБА России, липоаспират доставлялся в Центр биомедицинских и аддитивных технологий ФГБУ ГНЦ ФМБЦ им. А.И. Бурназяна ФМБА России при температуре +40С, в стерильной упаковке, с соблюдением холодовой цепи. С целью выделения аутологичных регенеративных клеток жировой ткани, в асептических условиях, в замкнутой системе стерильных контейнеров проводилась отмывка жировой ткани от кровяных элементов и разрушенных адипоцитов. Для получения клеток стромально-васкулярной фракции жировую ткань подвергали ферментативной обработке 0,15% раствором коллагеназы II типа (ПанЭко, Россия), в пропорции 1:1, при температуре 370С в течение 40 мин при постоянном помешивании. После остановки ферментативной реакции, полученную клеточную суспензию пропускали через клеточные сита с диаметром пор 100 мкм и дважды отмывали стерильным раствором Рингера при центрифугировании. Полученный клеточный осадок ресуспендировали в физиологическом растворе и отбирали пробы для проведения контроля качества. Получение СВФ жировой ткани проводилось по методике, описанной в патенте №2668801 от 02.10.2018 г. Готовую суспензию клеток переносили в стерильный контейнер и во вторичной упаковке передавали в операционную ФГБУ «НМИЦ хирургии им. А.В. Вишневского» Минздрава России для применения в комбинации с аутодермопластикой.
После проведенного хирургического лечения выполнена планиметрическая оценка скорости заживления глубокой ожоговой раны после аутодермопластики, с учетом введения стромально-васкулярной клеточной фракции жировой ткани.
Анализ статистических показателей проводился с помощью компьютерной системы STATISTICA 12.6 for Windows, программы MS-Excel. Количественные параметры исследуемых групп сравнивались с использованием непараметрического критерия Манна-Уитни. Критерием достоверности считали величину p<0,05.
Результаты и их обсуждение
Установлено, что в ГБУ СПб НИИ СП им. И.И. Джанелидзе у пациентов в группе сравнения начало эпителизации перфорантных ячеек отмечалось к 4,1±1,6 суткам, а окончательное приживление трансплантатов – к 9,2±2,1 суткам, в то время как в группе, где применялась СВФ, начало эпителизации перфорантных ячеек было констатировано к 3,2±1,4 (p<0,05) суткам, а окончательное приживление трансплантатов к 8,3±1,8 (p<0,05) суткам. Таким образом, по результатам планиметрической оценки сравниваемых групп можно заключить, что аутодермопластика расщепленными перфорированными трансплантатами, совместно с однократным инъекционным применением СВФ жировой ткани, позволяет ускорить сроки начала эпителизации перфорантных ячеек на 28% (p<0,05), а также сроки окончательного приживления трансплантатов на 11% (p<0,05).
Помимо этого, нами была проведена оценка структуры послеоперационных осложнений в исследуемых группах клинических наблюдений (табл. 1).
Таблица 1. Частота лизиса и отторжения, инфекционных осложнений в послеоперационном периоде после аутодермопластики с учетом введения СВФ
Table 1. Frequency of lysis and rejection, infectious complications in the postoperative period of autodermoplasty, taking into account the introduction of SVF
Группы / Comparison groups | Частота / Frequency, % | |
Лизис и отторжение / lysis and rejection | Нагноение ран / lysis and rejection | |
Группа сравнения / сomparison group | 25 | 35 |
Исследуемая группа / injection of stromal-vascular fraction | 10 | 15 |
Примечание: критерий χ2: * - p<0,05 по сравнению с группой сравнения
Note: χ2 test: * – p<0,05 compared with the comparison group
Результаты, представленные в таблице 1, позволяют заключить, что применение стромально-васкулярной фракции позволило снизить частоту нагноений в послеоперационном периоде на 20% (p<0,05), а также частоту лизисов и отторжения расщепленных перфорированных аутодермотрансплантатов на 15% (p<0,05).
Соответственно, у пациентов, находившихся на лечении в ФГБУ «НМИЦ хирургии им. А.В. Вишневского» Минздрава России, в группе сравнения начало эпителизации перфорантных ячеек (1:6) отмечалось на 5,1±1,1 сутки, а окончательное приживление трансплантатов к 17±2,7 суткам. Послеоперационные осложнения отмечались в 45% случаев в виде негативных явлений (инфицирование, лизис, формирование некроза, отторжение трансплантата). В группе пациентов, где применялась СВФ, начало эпителизации ячеек, перфорированных в соотношении 1 к 6 кожных трансплантатов, было зафиксировано к 3,4±1,2 (p<0,05) суткам, а окончательное приживление трансплантатов, при отсутствии послеоперационных осложнений, отмечено на 9,7±1,4 (p<0,05) сутки. При этом, в целом, частота послеоперационных осложнений уменьшилась до 15%.
Для подтверждения клинических данных в ГБУ СПБ НИИ СП им. И.И. Джанелидзе было проведено цитологическое исследование мазков-отпечатков ран до проведения хирургического лечения, а также на 3-е и 12-е сутки после кожной пластики (табл. 2).
Таблица 2. Цитологическая картина глубоких ожогов после проведения аутодермопластики с учетом введения СВФ
Table 2. Cytological picture of deep burns after autodermoplasty, taking into account the introduction of SVF
Показатели крови / Blood counts | Средняя величина параметров в мазке-отпечатке (M±m) / Average value of parameters in the fingerprint smear (M±m), % | |||||
Группа сравнения / сomparison group | Исследуемая группа | |||||
до начала лечения / before the start of treatment | 3 сутки / 3 days | 12 сутки / 12 days | до начала лечения / before the start of treatment | 3 сутки / 3 days | 12 сутки / 12 days | |
Нейтрофилы / neutrophils | 77,2±5,6 | 47,3±4,6 | 19,2±1,3 | 76,5±4,7 | 37,2±2,3* | 14,3±1,0* |
Фибробласты / fibroblasts | 2,9±1,1 | 3,3±1,2 | 25,6±3,1 | 2,8±1,0 | 4,2±1,1* | 31,7±1,3* |
Макрофаги / macrophages | 15±3,9 | 3,3±1,1 | 36,5±2,7 | 14,6±2,2 | 2,9±1,1 | 42,1±1,4* |
Лимфоциты / lymphocytes | 3,8±0,9 | 2,1±1,2 | 3,9±1,9 | 4,1±1,2 | 3,9±1,3 | 3,7±1,2 |
Примечание: Критерий U Манна-Уитни: * - p<0,05 относительно группы сравнения
Note: Mann-Whitney U test: * - p<0.05 relative to the comparison group
Данные, приведенные в таблице 2, позволяют заключить, что однократное инъекционное введение СВФ жировой ткани в область гранулирующей раны одномоментно при аутодермопластике позволяет снизить содержание нейтрофилов в мазках-отпечатках к 3-м и 12-м суткам на 35% (p<0,05) и 26% (p<0,05), соответственно. Использование СВФ после проведенной аутодермопластики увеличивает содержание фибробластов к третьим суткам на 27% (p<0,05) и к 12-м - на 24% (p<0,05). В отношении макрофагов, в мазках исследуемой группы отмечено повышение их числа к 12-м суткам на 15% (p<0,05). Полученные данные позволяют заключить, что однократное инъекционное применение СВФ жировой ткани существенно купирует воспалительную реакцию и обеспечивает более ранний переход к регенераторной фазе раневого процесса.
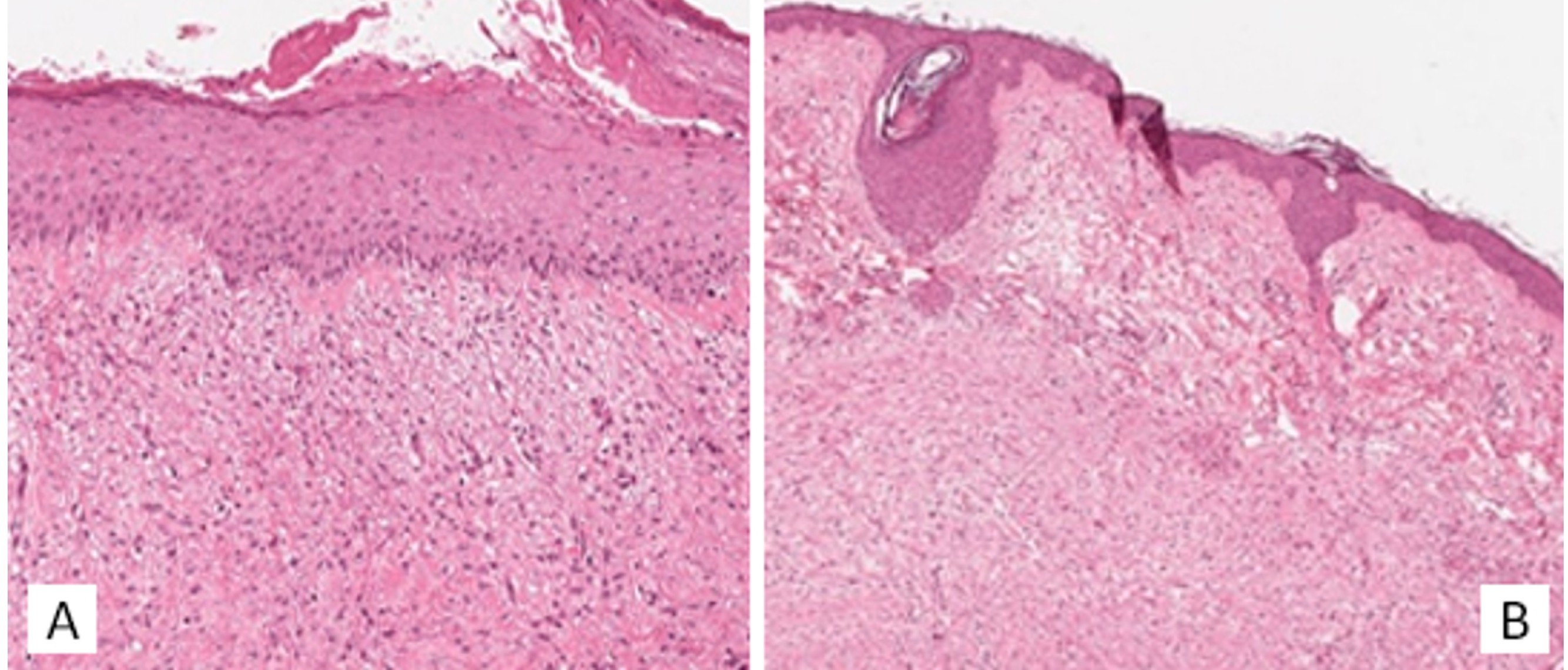
Рис. 3. Фрагмент восстановленного кожного покрова пациента на третьи сутки после проведенной аутодермопластики с учетом введения СВФ. Окраска гематоксилин-эозином. Увеличение х100. А – Без введения СВФ. В – На фоне иньекционного введения СВФ.
Fig. 3. A fragment of the patient’s restored skin on the third day after autodermoplasty, taking into account the introduction of SVF. Hematoxylin-eosin staining. Magnification x100. A – Without the introduction of SVF. B – Against the background of injection administration of SVF.
Для подтверждения клинических, планиметрических и цитологических данных были выполнены гистологическое и иммуногистохимическое исследования биоптатов кожи пациентов после аутодермопластики на 3-е и 10-е сутки на фоне введения СВФ. При исследовании биоптатов кожи пациентов группы сравнения на 3-и сутки после аутодермопластики определяется сетчатый слой дермы, с выраженным отеком и немногочисленными протоками эккриновых желез. В толще дермы значительная нейтрофильная и лимфоцитарная инфильтрация. В процессе исследования биоптатов выявлены крупноочаговые фокусы струпа (рис. 3А). В тоже время, у пациентов, которым была выполнена аутодермопластика с одномоментным введением СВФ, визуально определяется сосочковый и сетчатый слои дермы, визуализируются участки эпидермиса с роговым слоем, констатировано полное приживление трансплантата. Нейтрофильная и лимфоцитарная инфильтрация выражена слабее, чем в группе контроля. Отек умеренный (рис. 3В). Данные гистологического исследования на 3-и сутки после аутодермопластики позволяют заключить, что у пациентов, которым было выполнено однократное инъекционное введение стромально-васкулярной фракции, значительно меньше выражена воспалительная реакция и созданы оптимальные условия для приживления кожных трансплантатов.
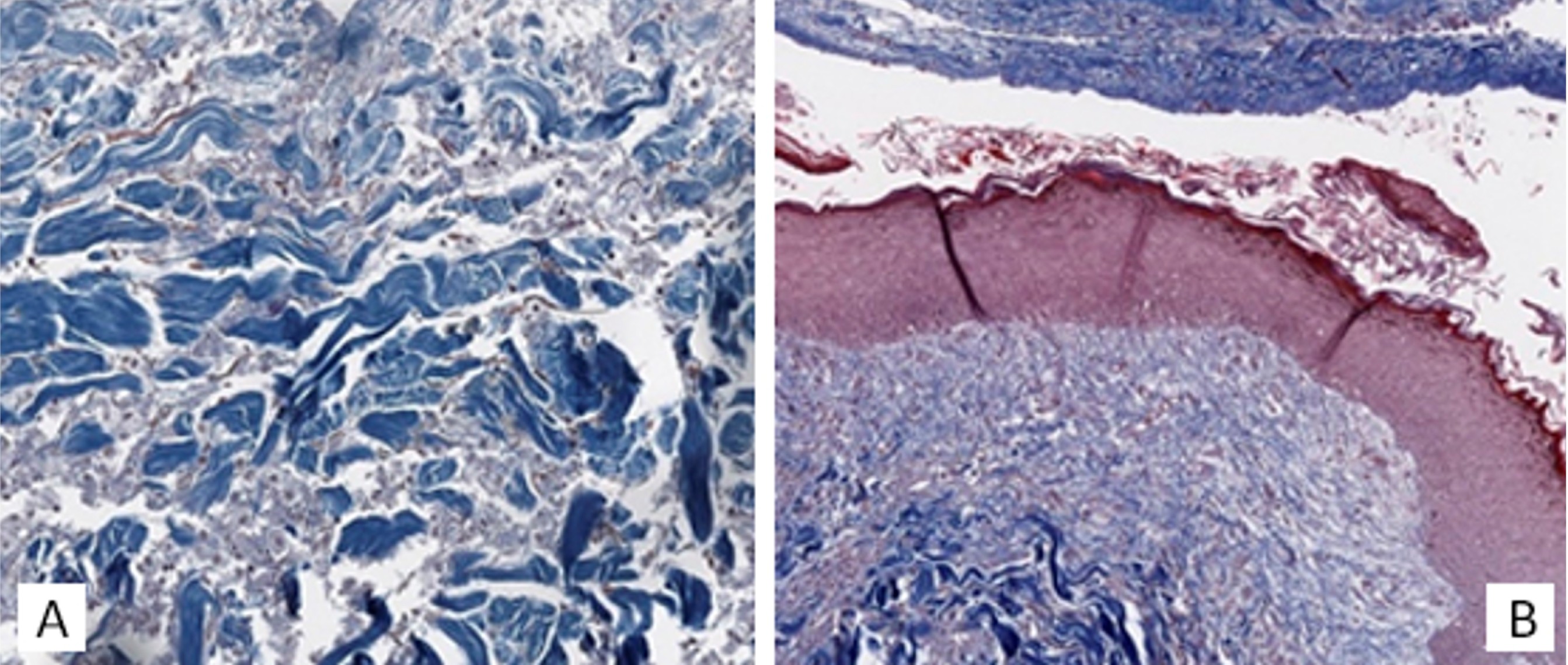
Рис. 4. Фрагмент восстановленного кожного покрова пациента на третьи сутки после проведенной аутодермопластики с учетом введения СВФ. Окраска по Пикро-Маллори. Увеличение х100. А – Без введения СВФ. В – На фоне иньекционного введения СВФ.
Fig. 4. A fragment of the patient’s restored skin on the third day after autodermoplasty, taking into account the introduction of SVF. Picro-Mallory stain. Magnification x100. A – Without the introduction of SVF. B – Against the background of injection administration of SVF.
Для определения структуры коллагенового каркаса и наличия фибрина выполнена окраска биоптатов по Пикро-Маллори. В биоптатах кожи пациентов, перенесших аутодермопластику без введения СВФ, определяется слабо выраженный коллагеновый каркас, отсутствует фибрин (рис. 4А), что свидетельствует об угнетении репаративных процессов в послеоперационном периоде. В тоже время, у обожженных исследуемой группы в биоптатах визуально определяется хорошо развитая сеть коллагеновых волокон, образующая плотный каркас с участками фибрина (рис. 4В). Это свидетельствует об ускорении регенераторных процессов в ожоговой ране, что подтверждает эффективность инъекционного применения СВФ.
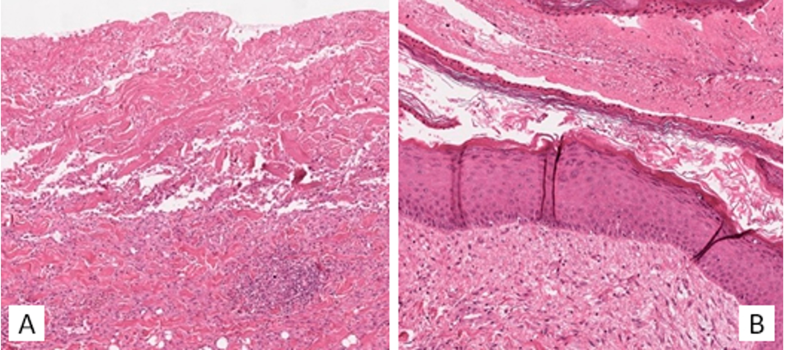
Для оценки течения раневого процесса в динамике проведено гистологическое исследование биоптатов кожи на 10-е сутки после проведенного хирургического восстановления кожного покрова методом аутодермопластики расщепленными перфорированными трансплантатами с использованием СВФ. У пациентов группы сравнения (без введения СВФ) при гистологическом исследовании в биоптатах кожи визуально определялись четко выраженные сосочковый и сетчатый слои дермы, участки эпидермиса с роговым слоем.
Рис. 5. Фрагмент восстановленного кожного покрова пациента на десятые сутки после проведенной аутодермопластики с учетом введения СВФ. Окраска гематоксилин-эозином. Увеличение х100. А – Без введения СВФ. В – На фоне иньекционного введения СВФ.
Fig. 5. A fragment of the patient’s restored skin on the tenth day after autodermoplasty, taking into account the introduction of SVF. Hematoxylin-eosin staining. Magnification x100. A – Without the introduction of SVF. B – Against the background of injection administration of SVF.
Лимфоцитарная и нейтрофильная инфильтрация выражены умеренно (рис. 5А). У обожженных из группы, в которой при проведении аутодермопластики применялась СВФ жировой ткани, визуально наблюдалась та же гистологическая картина, однако лимфоцитарная и нейтрофильная инфильтрация были выражены незначительно (рис. 5В).
При окраске биоптатов кожи на 10-е сутки после хирургического лечения по Пикро-Маллори значимых различий в гистологической картине групп сравнения выявлено не было. У пациентов, перенесших аутодермопластику на фоне введения стромально-васкулярной фракции отмечено хорошее формирование коллагенового каркаса кожи (рис. 6).
Рис. 6. Фрагмент восстановленного кожного покрова пациента на десятые сутки после проведенной аутодермопластики с учетом введения СВФ. Окраска по Пикро-Маллори. Увеличение х100. А – Без введения СВФ. Б – На фоне иньекционного введения СВФ.
Fig. 6. A fragment of the patient’s restored skin on the tenth day after autodermoplasty, taking into account the introduction of SVF. Picro-Mallory stain. Magnification x100. A – Without the introduction of SVF. B – Against the background of injection administration of SVF.
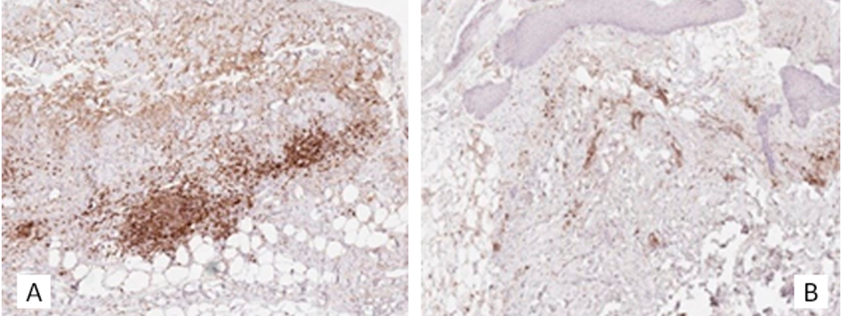
Для подтверждения клинических данных о степени активности воспалительной реакции в области ожоговых ран, на 3-и сутки нами было проведено иммуногистохимическое исследование биоптатов кожи с определением экспрессии общего лейкоцитарного антигена CD45+ [7], являющегося маркером воспалительной реакции (рис. 7).
Рис. 7. Экспрессия общего лейкоцитарного антигена на третьи сутки после аутодермопластики с учетом введения СВФ. Увеличение х100. А – Крупные очаги CD45+ клеток (более 60% площади). Б – мелкие очаги CD45+ клеток (менее 20% площади).
Fig. 7. Expression of common leukocyte antigen on the third day after autodermoplasty, taking into account the administration of SVF. Magnification x100. A – Large foci of CD45+ cells (more than 60% of the area). B – small foci of CD45+ cells (less than 20% of the area).
При подсчете содержания CD45+ клеток у пациентов группы сравнения, где проводилась только аутодермопластика без введения СВФ, на третьи сутки отмечались крупноочаговые скопления клеток и их диффузная инфильтрация (более 60% площади поверхности среза). В сравнении с этим, у пациентов, которым выполнялась аутодермопластика на фоне однократного инъекционного введения СВФ жировой ткани в этот же срок визуализировались более мелкие очаги, которые суммарно занимали до 20% от общей площади. Это подтверждает результаты клинического наблюдения, а так же данные цитологических и гистологических исследований, и позволяет заключить, что однократное инъекционное введение СВФ эффективно купирует воспалительную реакцию в области ожоговых ран.
Выводы
Однократное инъекционное введение стромально-васкулярной клеточной фракции жировой ткани при выполнении аутодермопластики свободным расщепленным перфорированным в соотношении 1:3 трансплантатом у больных с глубокими ожогами позволяет ускорить сроки начала эпителизации перфорантных ячеек на 28% (p<0,05) и сроки окончательного приживления трансплантата на 11% (p<0,05), а также уменьшить частоту лизиса и отторжения трансплантатов на 15% (p<0,05), и, соответственно, частоту инфекционных осложнений в послеоперационном периоде на 20% (p<0,05), за счет купирования воспалительной реакции в области ожоговых ран и ускорения регенераторной фазы раневого процесса.
Применение аутологичных клеток СВФ жировой ткани, полученных ферментативным методом у пациентов с обширными ожогами, позволило добиться аналогичных результатов в комбинации с широкоперфорированными кожными трансплантатами в соотношении 1:6 как по срокам их эпителизации, так и по возможным послеоперационным местным осложнениям.
Вместе с тем, одним из значимых моментов для выполнения аутодермопластики в комбинации с инъекционным введением аутологичной стромально-васкулярной клеточной фракции в лечении больных с глубокими ожогами является возможность выделения маломанипулированных клеток механическим способом непосредственно в условиях операционной во время хирургического вмешательства, что определяет перспективу дальнейшего совершенствования и применения этой технологии при оказании специализированной медицинской помощи в ожоговых отделениях/центрах.
Дополнительная информация
Конфликт интересов
Авторы декларируют отсутствие явных и потенциальных конфликтов интересов, связанных с публикацией настоящей статьи.
About the authors
Andrey A. Alekseev
A.V. Vishnevsky National Medical Research Center of Surgery
Author for correspondence.
Email: alexseev@ixv.ru
ORCID iD: 0000-0001-6675-4794
SPIN-code: 4803-3939
M.D., Professor Deputy Director
Russian Federation, MoscowEvgeniy V. Zinoviev
I.I. Dzhanelidze Saint-Petersburg Research Institute of Emergency Medicine
Email: evz@list.ru
ORCID iD: 0000-0003-2812-6839
SPIN-code: 4069-2346
M.D., Professor, head of the department
Russian Federation, Saint-PetersburgDenis V. Kostyakov
I.I. Dzhanelidze Saint-Petersburg Research Institute of Emergency Medicine
Email: kosdv@list.ru
ORCID iD: 0000-0001-5687-7168
SPIN-code: 5687-7168
Ph.D., leading researcher in the department
Russian Federation, Saint-PetersburgVadim A. Manukovskii
I.I. Dzhanelidze Saint-Petersburg Research Institute of Emergency Medicine
Email: vadim@neuro.spb.ru
ORCID iD: 0000-0003-0319-814X
SPIN-code: 4323-4555
M.D., Professor, director
Russian Federation, Saint-PetersburgKonstantin A. Filimonov
A.V. Vishnevsky National Medical Research Center of Surgery
Email: doctor-fil@yandex.ru
ORCID iD: 0000-0002-6019-341X
SPIN-code: 6085-8320
Ph.D., Senior Researcher
Russian Federation, MoscowTatyana A. Astrelina
State Research Center – Burnasyan Federal Medical Biophysical Center of Federal Medical Biological Agency
Email: t_astrelina@mail.ru
ORCID iD: 0000-0003-3629-0372
SPIN-code: 3415-8023
M.D., Associate Professor, Head of the Center
Russian Federation, MoscowIrina V. Kobzeva
State Research Center – Burnasyan Federal Medical Biophysical Center of Federal Medical Biological Agency
Email: irina-kobzeva@yandex.ru
ORCID iD: 0000-0002-1499-8954
SPIN-code: 6651-6128
Ph.D., head of the cryobank
Russian Federation, MoscowSvetlana S. Hromnia
A.V. Vishnevsky National Medical Research Center of Surgery
Email: hrominas@mail.ru
ORCID iD: 0000-0002-9717-1118
graduate student of the Department
Russian Federation, MoscowEduar K. Derii
I.I. Dzhanelidze Saint-Petersburg Research Institute of Emergency Medicine
Email: derii.eduard@gmail.com
ORCID iD: 0000-0002-2493-5498
SPIN-code: 6127-4630
surgeon department of thermal injuries
Russian Federation, Saint-PetersburgReferences
- Veremeev AV., Bolgarin RN., Petkova MA., Kats N, Nesterenko VG. Stromal-vascular fraction of adipose tissue as an alternative source of cellular material for regenerative tissue. Geny i kletki. 2016;11(1):35-42. (in Russ.)
- Francis E, Kearney L, Clover J. The effects of stem cells on burn wounds: a review. International journal burns and trauma. 2019;9(1):1-12.
- Han Y, Li X, Zhang Y, Han Y, Chang F, Ding J. Mesenchymal stem cells for regenerative medicine. Cells. 2019;8(8):886. doi: 10.3390/cells8080886
- Johal KS, Lees VC, Reid AJ. Adipose-derived stem cells: selecting for translational success. Regen. Med. 2015;10(1):79-96. doi: 10.2217/rme.14.72
- Mizuno H, Tobita M, Uysal AC. Concise review: Adiposederived stem cells as a novel tool for future regenerative medicine. Stem Cells. 2012;30(5):804-810. doi: 10.1002/stem.1076
- Huang SJ, Fu RH, Shyu WC, Liu SP, Jong GP, Chiu YW, Wu HS, Tsou YA, Cheng CW, Lin SZ. Adipose-derived stem cells: isolation, characterization, and differentiation potential. Cell Transplant. 2013;22(4):701-709. doi: 10.3727/096368912X655127
- Nasti A, Sakai Y, Seki A, Buffa GB, Komura T, Mochida H, Yamato M, Yoshida K, Ho TB, Takamura M, Usui S, Wada T, Honda M, Kaneko S. The CD45+ fraction in murine adipose tissue derived stromal cells harbors immune‐inhibitory inflammatory cells. European Journal of Immunology. 2017; 47(12):2163-2174. doi: 10.1002/eji.201646835
Supplementary files


















