Effectiveness of Magnetic Resonance Imaging and Ultrasound Examination in Visualizing Anal Fistulas
- Authors: Ilkanich A.Y.1,2, Zubailov K.Z.1,2, Kabanov A.A.2, Devyatkina T.V.2
-
Affiliations:
- Surgut State University
- Surgut Regional Clinical Hospital
- Issue: Vol 17, No 3 (2024)
- Pages: 102-111
- Section: Original articles
- URL: https://vestnik-surgery.com/journal/article/view/1821
- DOI: https://doi.org/10.18499/2070-478X-2024-17-3-102-111
- ID: 1821
Cite item
Full Text
Abstract
Introduction. Chronic paraproctitis is one of the most common proctological diseases with prevalence equal 8 - 23 cases per 100,000 population. Ultrasound examination (US) and magnetic resonance imaging (MRI) allow studying in detail the fistula topography, presence or absence of purulent leaks and cavities in the perirectal space and fistula relations to the closure apparatus of the rectum. The relevance of choosing an effective option to diagnose rectal fistulas is associated with the potential preoperative determination of the optimal surgical treatment option.
The aim of the study was to evaluate the effectiveness of magnetic resonance imaging and ultrasound in the visualization of anal fistulas of cryptoglandular origin.
Materials and methods. The study included 88 (100%) patients with anal fistulas of cryptoglandular origin treated in the proctology department of the Surgut District Clinical Hospital in 2023. The authors analysed results of patients’ examinations. Both general clinical and instrumental investigations were involved: collection of complaints and anamnesis of the disease, inspection and palpation of the perianal area, digital anorectal examination, probing of the fistula tract, dye test, anoscopy, rectoscopy or videocolonoscopy, ultrasound examination of the pelvis and magnetic resonance imaging of the perineum. All patients in the analysed group were found to have complex anal fistulas: cases of transsphincteric fistulas involving more than 30% of the sphincter and cases of extrasphincteric fistulas. Magnetic resonance imaging of the perineum and ultrasound examination of the pelvis were performed to visualise the fistulas. All patients were divided into two groups; the first group included 76 (86.4%) patients who underwent MRI of the perineum, the second group included 12 (13.6%) patients who underwent ultrasound examination of the pelvis. The data obtained during ultrasound and MRI examinations were compared with the intraoperative findings. Statistical analysis was performed using the StatTech v. 3.1.8 program (developer OOO Stattech, Russia) based on the created database in Microsoft Excel software with the determined sensitivity and accuracy of each diagnostic option.
Results. The topography of the fistula passage, indicating localization of the internal fistula opening, was determined in 76 (86.4%) patients during MRI and in 12 (13.6%) patients during pelvic ultrasound examination. During surgical intervention, the discrepancy between the MRI data and the topography of the fistula was revealed in 2 (2.3%) cases, according to ultrasound data - in 3 (3.4%).
Conclusions. The analysis demonstrated 100% sensitivity of magnetic resonance imaging and ultrasound examination in diagnosing anal fistulas, with an MRI accuracy equal 97.4%, ultrasound accuracy equal 75.1%, respectively.
Full Text
Свищ заднего прохода – хронический воспалительный процесс в параректальной клетчатке, межсфинктерном пространстве и анальной крипте с наличием сформированного свищевого хода, где пораженная анальная крипта является внутренним отверстием свища [1].
Распространенность свищей заднего прохода колеблется от 8 до 23 случаев на 100000 населения. При этом удельный вес сложных свищей составляет от 25 до 30% [2]. Считается, что до 95% свищей заднего прохода приходится на криптогенное происхождение и на болезнь Крона, лишь в 5% свищи заднего прохода имеют другую этиологию: инфекции, травмы, рак и врожденные пороки развития анального канала и прямой кишки [3]. Отмечено, что средняя ежегодная заболеваемость анальными свищами в Италии достигает 2,32, в Германии – 2,02 на 10000 населения в год. Ежегодно в США регистрируется от 20000 до 25000 новых подтвержденных случаев свищей прямой кишки [4]. Мужчины болеют чаще женщин, соотношение варьирует от 2:1 до 5:1 [5]. Наиболее часто страдает взрослое население от 30 до 50 лет, что обусловливает, помимо прочего, социальную значимость данного заболевания [6].
Диагностика свищей прямой кишки криптогландулярного происхождения регламентируется клиническими рекомендациями Ассоциации колопроктологов Российской Федерации (2022 г.).
Фистулография ранее являлась наиболее распространенным методом диагностики свищей заднего прохода. Диагностическая точность фистулографии низкая, поскольку она не позволяет визуализировать анальный сфинктер или установить его связь со свищевым ходом [7, 8]. Чувствительность фистулографии при диагностике первичного свищевого хода составляет 89%, а при диагностике добавочных ходов, гнойных полостей чувствительность не превышает 56% [9].
Ультразвуковое исследование (УЗИ) свищевого хода в мировой практике по праву занимает одно из ведущих мест в диагностике свищей заднего прохода [10-14]. В настоящее время трехмерное эндоанальное УЗИ (ЭУЗИ) стало признанным методом визуализации прямой кишки и анального канала для получения изображений сложной анатомии наружного, внутреннего сфинктера и анального канала с высоким разрешением [15-17]. По данным систематического обзора и метаанализа. опубликованного в 2021 году, ЭУЗИ имеет высокую диагностическую ценность для классификации анальных свищей с общей точностью 91%. Однако данный метод имеет низкую диагностическую точность при экстра-сфинктерных свищах [18].
Об использовании магнитно-резонансной томографии (МРТ) при анальных свищах впервые сообщалось в начале 1990-х годов [19]. В последнее время МРТ считается «золотым стандартом» предоперационной оценки анальной фистулы [20-23]. По данным ретроспективного исследования, опубликованного в 2019 году, чувствительность МРТ при определении внутреннего отверстия свища составляет 96,6%, специфичность 92,6%, точность 96,4 %. При определении вторичных гнойных затеков чувствительность МРТ достигает 96,7%, специфичность 99,2% и точность 98,5% [24].
Хирургическое вмешательство, проводимое только под контролем клинического обследования, имеет более высокий риск рецидива из-за необнаруженных свищевых ходов [25]. Успешное лечение свищей заднего прохода зависит от точной оценки анатомии свища, особенно при сложных свищах. Проведение детальной диагностики с уточнением топографии расположения свищевого хода по отношению к замыкательному аппарату, выявление добавочных ходов, гнойных полостей является необходимым условием обследования и требует применения современных инструментальных методов диагностики с высокой чувствительностью и точностью при определении анатомии свищевого хода [26]. В связи с этим поиск наиболее информативных методов лучевой диагностики является актуальной темой научного исследования.
Цель
Оценка эффективности магнитно-резонансной томографии и ультразвукового исследования в визуализации свищей заднего прохода криптогландулярного происхождения.
Материалы и методы
Исследование основано на анализе результатов обследования 88 (100%) больных со свищами заднего прохода криптогландулярного происхождения, находившихся на лечении в отделении колопроктологии Сургутской окружной клинической больницы в 2023 году.
В исследование включены пациенты со сложными свищами заднего прохода: транс-сфинктерными свищами, захватывающий более 30% сфинктера и экстрасфинктерными свищами, которым выполнена магнитно-резонансная томография промежности (МРТ) и ультразвуковое исследование малого таза (УЗИ). Из исследования исключены пациенты с интрасфинктерными свищами заднего прохода, с транссфинктерными свищами заднего прохода, захватывающими менее 30% сфинктера и пациенты с неполным наружным или внутренним свищевым ходом.
В 2020 году в БУ Ханты-Мансийского автономного округа – Югры «Сургутская окружная клиническая больница» разработан протокол МРТ-исследования свищей прямой кишки. При проведении МРТ у больных со свищами прямой кишки следует учитывать, что анальный канал располагается приблизительно под углом наклона 45 градусов относительно вертикальной оси в сагиттальной плоскости. Поэтому применение стандартной аксиальной и коронарной проекции при МРТ исследовании не позволяют достоверно оценить свищевой ход. Разработанный протокол отличается использованием при МРТ исследовании косо-аксиальной и косо-корональной плоскостей, которые ориентированы перпендикулярно и параллельно оси анального канала в сагиттальной плоскости, что не предполагается при проведении исследования по стандартному протоколу МРТ-исследования, применяемого рутинно при исследовании пациентов со свищами заднего прохода [27].
Пациенты, включенные в исследование, были разделены на первую и вторую группы. Больным первой группы выполнена МРТ промежности – 76 (86,4%) пациентов. УЗИ малого таза проведено больным второй группы – 12 (13,6%) человек.
В первой группе отмечено преобладание лиц мужского пола: мужчин было 58 (65,9%), женщин – 18 (20,5%). Во второй группе: мужчин – 4 (4,5%), женщин – 8 (9,1%). Средний возраст в первой группе среди мужчин составил 47,5 ± 8,4 лет, среди женщин 43,3 ± 6,5 года, во второй группе среди мужчин 51,5 ± 9,0 год, среди женщин 37,1 ± 4,1 лет.
При изучении анамнеза заболевания установлено, что формирование свищей заднего прохода связано с острым парапроктитом. В первой группе самопроизвольное вскрытие абсцесса отмечено у 31 (35,2%) больного, операция вскрытия и дренирования острого парапроктита выполнена у 45 (51,1%) пациентов. Во второй группе острый парапроктит вскрылся самостоятельно у 2 (2,3%) больных, хирургическое вмешательство выполнено у 10 (11,4%) пациентов (табл. 1).
Таблица 1. Основные сведения о пациентах анализируемых групп
Table 1. Basic information about the patients of the analyzed groups
Показатель / Indicator | Первая группа / the first group | Вторая группа / the second group | ||
Абс. число / absolute number | % | Абс. число / absolute number | % | |
Количество пациентов / number of patients | 76 | 86,4 | 12 | 13,6 |
Пол муж. / жен. / male and female | 58/18 | 65,9/20,5 | 4/8 | 4,5/9,1 |
Средний возраст муж. / жен. / average age male and female | 47,5 ± 8,4 / 43,3 ± 6,5 | 51,5 ± 9,0 /37,1 ± 4,1 | ||
Самопроизвольное вскрытие острого парапроктита / Spontaneous opening of acute paraproctitis | 31 | 35,2 | 2 | 2,3 |
Вскрытие и дренирование острого парапроктита / Autopsy and drainage of acute paraproctitis | 45 | 51,1 | 10 | 11,4 |
Для первичной диагностики свищей прямой кишки проводятся различные методы исследования: сбор жалоб и анамнеза заболевания, включая осмотр перианальной области и пальпацию, пальцевое исследование анального канала, зондирование свищевого хода, пробу с красителем, аноскопию, а также, по показаниям, ректороманоскопию или видеоколоноскопию. Это как правило помогает врачу получить полное представление о состоянии пациента и оценить расположение свищевого хода по отношению к анальному каналу, прямой кишке, степень вовлеченности мышечных структур сфинктера и наличие полостей, затеков по ходу свища.
В последние годы, в своей практике мы не применяем фистулографию свищей прямой кишки в связи с низкой чувствительностью и точностью. В нашей клинике стандартом диагностики свищей заднего прохода является МРТ промежности или околопрямокишечной области. При наличии противопоказаний к МРТ проводится УЗИ малого таза.
Среди пациентов 2 группы наблюдались – 1 (1,1%) пациент с кардиостимулятором, 1 (1,1%) пациент с металлическими осколками промежности и ягодичной области, 4 (4,5%) больных с ожирением 3 степени, вес которых превышал допустимые параметры магнитно-резонансного томографа и 6 (6,8%) пациентов с клаустрофобией. Ультразвуковое исследование (УЗИ) играет важную роль в предоперационной диагностике свищей прямой кишки. Одной из основных задач УЗИ является определение расположения свищевого хода относительно волокон наружного сфинктера и выявление гнойных затеков и полостей. Также с помощью УЗИ оценивали расположение внутреннего свищевого отверстия, протяженность свищевого хода и другие характеристики структуры и состояния свища.
Для выполнения ультразвукового исследования использовался цифровой диагностический ультразвуковой аппарат MyLab™Twice от компании Esaote (Италия) с конвексным датчиком частотой 1-8 МГц. Подготовка пациентов к проведению исследования включала очистительную микроклизму утром в день обследования, обеспечивающую оптимальные условия для проведения УЗИ.
Во время исследования пациент располагался лежа на левом боку с приведенными к животу коленями. Исследование проводилось в режиме серой шкалы транспромежностным доступом. Конвексный датчик устанавливался на перианальную область и полипозиционно исследовались стенки анального канала, подкожно-жировая клетчатка и мышцы промежности.
Применение магнитно-резонансной томографии (МРТ) при свищах прямой кишки действительно имеет заметные преимущества, которые делают этот метод предпочтительным для диагностики свищей прямой кишки. Это обусловлено такими несомненными достоинствами метода, как высокое мягкотканое разрешение, отсутствие ионизирующего излучения и неинвазивность. Высокое мягкотканое разрешение МРТ позволяет получать детальные изображения органов и тканей, а также выявлять патологии, включая свищи, с высокой точностью. Отсутствие ионизирующего излучения делает МРТ относительно безопасным методом для пациентов. Принцип построения изображения с использованием МРТ основан на изменении собственного магнитного поля тканей и органов под воздействием внешнего статического магнитного и переменного электромагнитного полей, и последующей обработке полученных данных с помощью компьютера. Использование статического магнитного поля и переменных электромагнитных полей позволяет получить подробное изображение внутренних структур органов, включая свищи прямой кишки. Томографы с напряженностью магнитного поля 1,5 Тесла являются одним из распространенных типов оборудования для МРТ и обладают рядом преимуществ, таких как увеличение соотношения сигнал/шум, что способствует повышению качества получаемых изображений. Это может сократить время исследования, улучшить пространственное разрешение и обеспечить более точную диагностику свищей и других патологий.
При подготовке пациентов к исследованию за 2-3 дня до проведения МРТ пациенты исключали из рациона продукты, усиливающие газообразование. Исследование проводилось натощак (последний прием пищи за 6 часов). Подготовка кишечника заключалась в естественном опорожнении утром в день исследования, при запорах выполнялась микроклизма вечером накануне исследования. Проводилась МРТ при среднем наполнении мочевого пузыря, так же за 30-40 минут до исследования пациенты принимали спазмолитик. Перед исследованием с пациентами проводился инструктаж о мерах безопасности при проведении процедуры.
Для магнитно-резонансной томографии свищей прямой кишки использовался МР-томограф Essenza от компании Siemens (Германия) и Optima MR450w GEM1.5T от GE (США) с мощностью магнитного поля 1,5 Тл. Исследование проводилось в положении лежа на спине с применением разработанного протокола. Для этого использовалась матричная 16-канальная приемно-передающая катушка для тела, что позволяло достичь более точной и качественной диагностики свищей заднего прохода.
При исследовании выполнялись импульсные последовательности с использованием малой толщины среза (3 мм) и уменьшенного поля обзора (FOV), в косо-аксиальной и косо-корональной плоскостях, что позволило улучшить визуализацию архитектоники свищей по отношению к замыкательному аппарату прямой кишки.
Протокол МРТ для исследования свищей прямой кишки, применяемый в нашей клинике состоит из следующих последовательностей:
- 3 сканирования в Т2 последовательности с высоким пространственным разрешением (FOV – 22 см, толщина среза- 3 мм, шаг сканирования – 3 мм, матрица 256*256) в сагиттальной, косо-аксиальной и косо-корональной плоскостях.
- 2 сканирования в Т1 последовательности с подавлением сигнала от жировой ткани FatSat с высоким пространственным разрешением (FOV – 22 см, толщина среза- 3 мм, шаг сканирования – 3 мм, матрица 256*256) в косо-аксиальной и косо-корональной плоскостях.
- 1 сканирование в DWI последовательности с использованием факторов диффузии b=50 и b=800 в косо-аксиальной плоскости с геометрическими параметрами, соответствующими косо-аксиальному Т2 сканированию, с построением карты измеренного коэффициента диффузии.
- В случае применения контрастного усиления выполняется повторное сканирование в Т1 последовательности с подавлением сигнала от жировой ткани FatSat с высоким пространственным разрешением в косо-аксиальной и косо-корональной плоскостях.
После проведения МРТ-исследования степень сложности свищей прямой кишки оценивалась в соответствии с классификацией, разработанной в университетском госпитале Сент-Джеймса (St. James Univsity Hospital). Классификация была предложена радиологами на основании результатов визуализации и не является хирургической классификацией. Эта классификация проста в применении, поскольку в ней используются анатомические ориентиры в аксиальной плоскости, знакомые радиологам. Кроме того, при оценке свищей прямой кишки данная классификация учитывает первичный свищевой ход, а также вторичные затеки и абсцессы. Основная роль рентгенологов в оценке свищей прямой кишки заключается в том, чтобы составлять описательные и точные отчеты в протоколе исследования, поскольку детали будут иметь важное значение при выборе метода хирургического лечения. Согласно данной классификации свищи делятся на пять групп: 1 степень – простые линейные межсфинктерные свищи; 2 степень – межсфинктерный свищ с абсцессом или вторичным ходом; 3 степень – простые линейные транссфинктерные свищи; 4 степень – транссфинктерный свищ с абсцессом или вторичным ходом в ишиоректальной или ишиоанальной клетчатке; 5 степень – надлеваторный или транслеваторный свищ [27, 28].
Для определения эффективности методов визуализации свищей заднего прохода проводилось сравнение данных, полученных при УЗИ и МРТ с интраоперационной находкой. Статистический анализ выполнен с использованием программы StatTech v. 3.1.8 (разработчик ООО «Статтех», Россия) на основе созданной базы данных в программном обеспечении Microsoft Excel и включал определение чувствительности, точности каждого из методов диагностики, по следующим формулам:
N - количество результатов /number of results, ИП - истинно положительные результаты / truly positive results, ЛП - ложноположительные / truly positive results, ИО - истинно отрицательные / false positive, ЛО - ложноотрицательные / falsely negative.
Результаты
Для диагностики свищей прямой кишки криптогландулярного происхождения важно провести всестороннее исследование, которое позволяет определить различные характеристики свища. Это включает в себя определение локализации внутреннего отверстия свища прямой кишки, топографию свищевого хода, наличие или отсутствие гнойных затеков и полостей в околопрямокишечном пространстве, отношение свищевого хода к замыкательному аппарату и прямой кишке, наличие и степень выраженности рубцового и/или воспалительного процесса. Этим требованиям соответствовали данные, полученные при магнитно-резонансной томографии.
В первой группе, по данным МРТ, транссфинктерные свищи заднего прохода с захватом более 30% сфинктера визуализированы у 61 (69,3%) пациента, экстрасфинктерные свищи - у 15 (17,0%) больных (табл. 2).
Таблица 2. Тип свища заднего прохода по данным МРТ промежности
Table 2. Type of anus fistula according to perineal MRI
Тип свищевого хода / type of anal fistula | МРТ свища заднего прохода n=76 (86,4%) / MRI of the anus fistula, number of patients =76 (86,4%) | |
Абс. число / absolute number | % | |
Транссфинктерный свищ заднего прохода, захватывающий более 30% сфинктера / Transsphincter fistula of the anus, covering more than 30% of the sphincter | 61 | 69,3 |
Экстрасфинктерный свищ заднего прохода / Extrasphincter fistula of the anus | 15 | 17,0 |
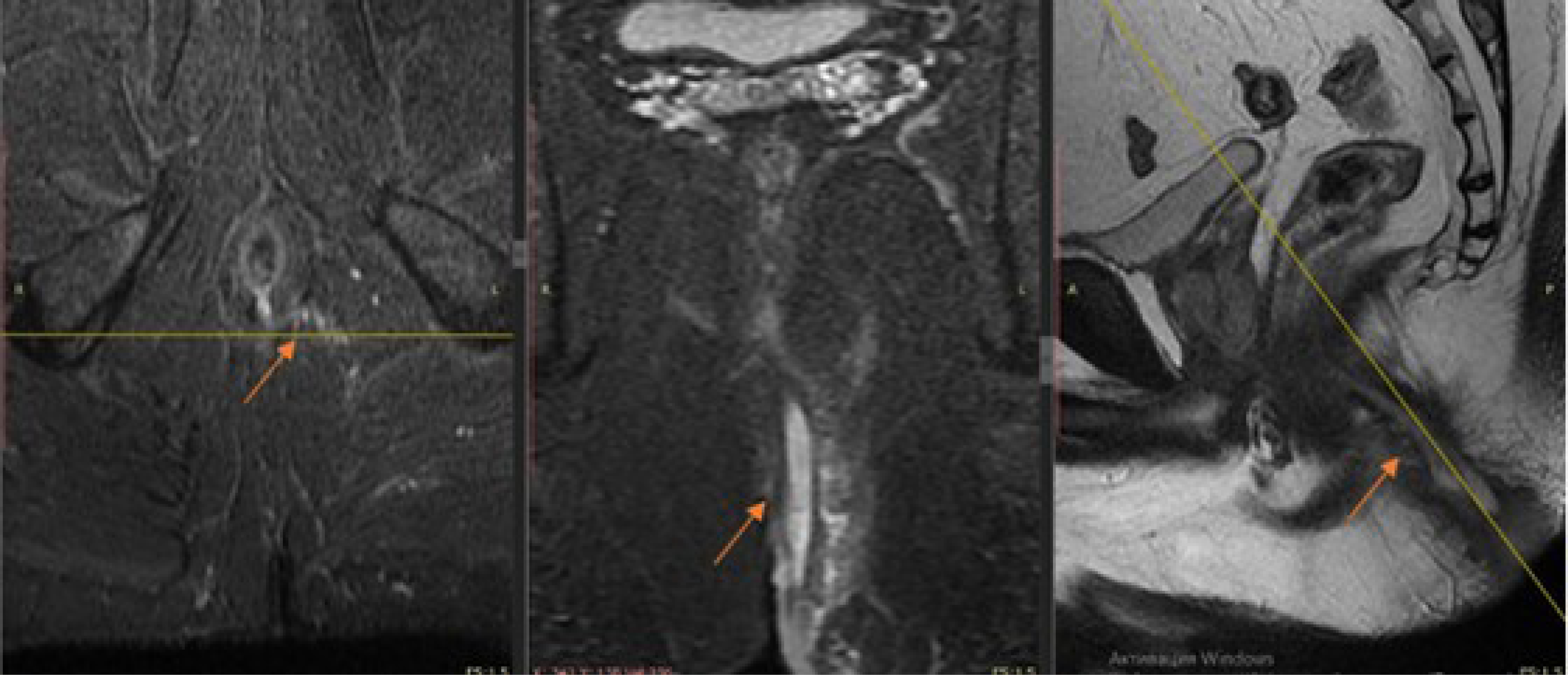
При МРТ исследовании во всех случаях внутреннее свищевое отверстие визуализировалось в виде дефекта слизистой анального канала, от которого начинается свищевой ход. Свищевой ход визуализировался в виде гиперинтенсивного сигнала в T1 FS импульсной последовательности от гнойного содержимого в просвете свищевого хода (рис. 1).
Рис. 1. МРТ пациента А., 36 лет. Транссфинктерный свищ заднего прохода, захватывающий более 30% сфинктера (стрелка).
Fig. 1. MRI of patient A., 36 years old. Complex transsphincter fistula (arrow).
Свищевой ход с указанием внутреннего свищевого отверстия при предоперационной МРТ был визуализирован у всех 76 (86,4%) пациентов. Наличие самого свищевого хода подтверждено у 76 (86,4%) больных.
По данным МРТ транссфинктерный свищ заднего прохода с захватом более 30% сфинктера выявлен -у 61 (69,3%) пациента. Интраоперационно такой тип свища обнаружен - у 63 (71,6%) больных. Экстрасфинктерные свищи по данным магнитно-резонансной томографии выявлены у 15 (17,0%) пациентов и подтверждены при проведении операции – у 13 (14,8%) больных.
Таким образом, при МРТ описании топографии свищевого хода и интраоперационной находке имелись расхождения в 2 (2,3%) случаях - транссфинктерный свищ, захватывающий более 30% сфинктера, был ошибочно принят за экстрасфинктерный свищ. Ошибка в описании, при ретроспективном анализе, могла быть связана с близким расположением свищевого хода и глубокой порцией наружного сфинктера.
При сравнении диагностической информативности МРТ с интраоперационной визуализацией свищевого хода не было выявлено статистически значимых различий (табл. 3).
Таблица 3. Тип свища заднего прохода у пациентов первой группы по данным предоперационной МРТ промежности и интраоперационной визуализации
Table 3. Type of anal fistula in patients of the first group according to preoperative MRI of the perineum and intraoperative imaging
Тип свищевого хода / type of anal fistula | Данные, полученные при предоперационной МРТ свища заднего прохода n=76 (86,4%) / Data obtained during preoperative MRI of the anus fistula, number of patients =76 (86.4%) | Данные полученные интраоперационно n=76 (86,4%) / Data obtained intraoperatively, number of patients =76 (86.4%) | P* | ||
Абс. число / absolute number | % | Абс. число / absolute number | % t | ||
Транссфинктерный свищ заднего прохода, захватывающий более 30% сфинктера / Transsphincter fistula of the anus, covering more than 30% of the sphincter | 61 | 69,3 | 63 | 71,6 | 0,787 |
Транссфинктерный свищ заднего прохода, захватывающий менее 30% сфинктера / Transsphincter fistula of the anus, involving less than 30% of the sphincter | 0 | 0 | 2 | 2,3 | ** |
Экстрасфинктерный свищ заднего прохода / Extrasphincter fistula of the anus | 15 | 17,0 | 13 | 14,8 | 0,586 |
Примечания / Note: * критерий Манна-Уитни / the Mann-Whitney criterion, **Сравнение не проводилась / no comparison was made
Во второй группе, по данным УЗИ, транссфинктерные свищи заднего прохода с за-хватыватом более 30% сфинктера обнаружены у 8 (9,1%) пациентов, экстрасфинктерные свищи - у 4 (4,5%) больных (табл. 4).
Таблица 4. Тип свища заднего прохода по данным УЗИ малого таза
Table 4. Type of anus fistula according to pelvic ultrasound
Тип свищевого хода / type of anal fistula | УЗИ свища заднего прохода n=12 (13,6%) / Ultrasound of the anus fistula, number of patients =12 (13,6%) | |
Абс. число / absolute number | % | |
Транссфинктерный свищ заднего прохода, захватывающий более 30% сфинктера / Transsphincter fistula of the anus, covering more than 30% of the sphincter | 8 | 9,1 |
Экстрасфинктерный свищ заднего прохода / Extrasphincter fistula of the anus | 4 | 4,5 |
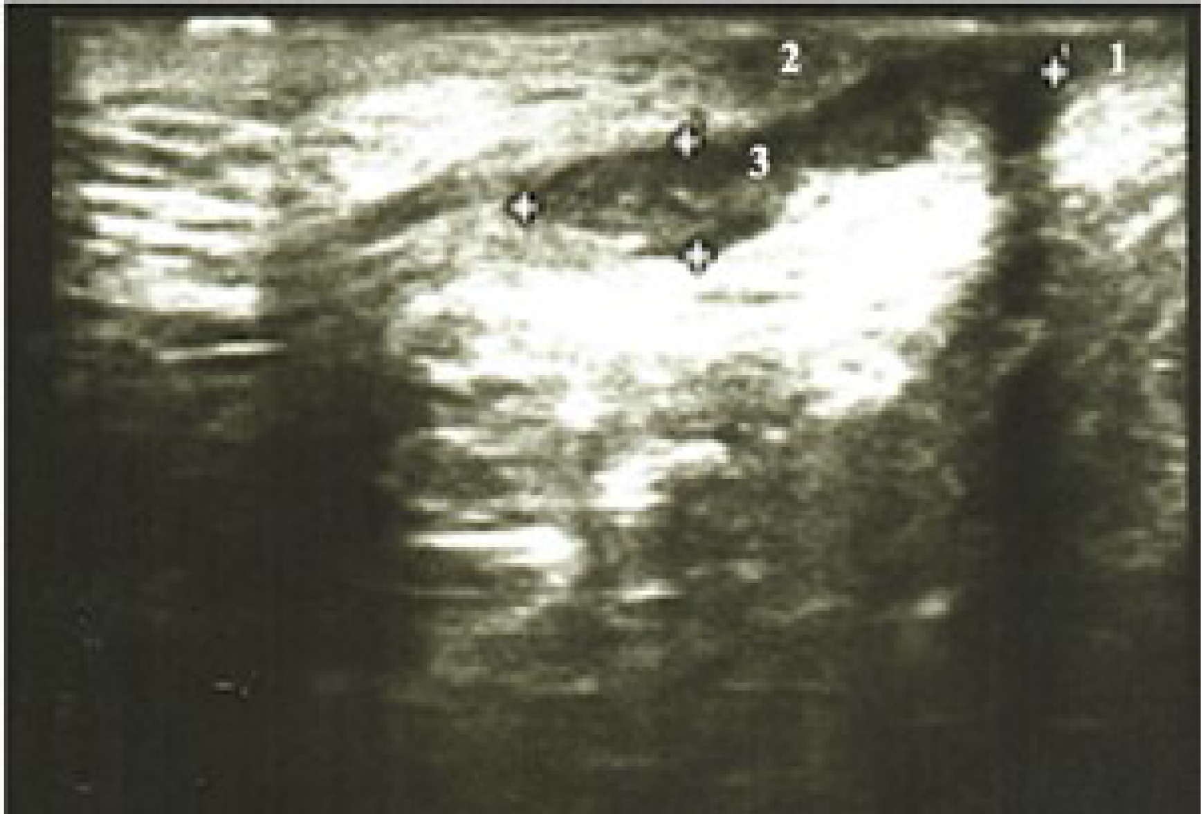
При ультразвуковом исследовании свищ заднего прохода визуализировался как ги-поэхогенная структура линейной формы. Основной свищевой ход обычно имел плотную фиброзную стенку и жидкостное содержимое в просвете свищевого хода, характерное для данного состояния. Еще одним важным моментом является то, что жидкостное содержимое свищевого хода обычно анэхогенно по отношению к окружающим тканям. На стадии воспалительного процесса можно наблюдать изменение эхогенности, в зависимости от состава жидкости и других факторов (рис. 2). Наличие свища заднего прохода подтверждено УЗИ у 12 (13,6%) больных второй группы. При диагностике типа свищевого хода отмечено расхождение данных, полученных при проведении УЗИ и интраоперационной находки в 3 наблюдениях (3,4%).
Рис. 2. Пациент В., 43 лет. Эхограмма заднего транссфинктерного свища заднего прохода, захватывающего более 30% сфинктера. 1 – внутренний сфинктер, 2 – наружный сфинктер, 3 – свищевой ход.
Fig. 2. Patient V., 43 years old. An echogram of the posterior complex transsphincteric fistula. 1 – musculus sphincter ani internus, 2 – musculus sphincter ani externus, 3 – fistula.
По данным УЗИ транссфинктерный свищ заднего прохода с захватом более 30% сфинктера был выявлен у 8 (9,1%) больных, экстрасфинктерный свищ – у 4 (4,5%) пациентов. При проведении оперативного вмешательства и ревизии установлено, что транссфинктерный свищ заднего прохода, захватывающий более 30% сфинктера, обнаружен у 5 (5,4%) пациентов, экстрасфинктерный свищ – у 7 (8,0%) больных.
Транссфинктерный свищ с захватом более 30% замыкательного аппарата прямой кишки был расценен как экстрасфинктерный свищ в 3 (3,4%) наблюдениях.
Статистически значимых различий при сравнении диагностической информативности ультразвукового исследования с интраоперационной ревизией свищевого хода не выявлено (табл. 5).
Таблица 5. Распределения больных второй группы по типу свища по данным предоперационного УЗИ малого таза и интраоперационной картины
Table 5. Distribution of patients of the second group by type of fistula according to preoperative ultrasound of the pelvis and intraoperative picture
Тип свищевого хода / type of anal fistula | Данные, полученные при предоперационном УЗИ свища заднего прохода n=12 (13,6%) / Data obtained during preoperative ultrasound of the anus fistula, number of patients =12 (13.6%) | Данные, полученные интраоперационно n=12 (13,6%) / Data obtained intraoperatively, number of patients =12 (13.6%) | P* | ||
Абс. число / absolute number | % | Абс. число / absolute number | % | ||
Транссфинктерный свищ заднего прохода, захватывающий более 30% сфинктера / Transsphincter fistula of the anus, covering more than 30% of the sphincter | 8 | 9,1 | 5,4 | 5,4 | 0,576 |
Экстрасфинктерный свищ заднего прохода / Extrasphincter fistula of the anus | 4 | 4,5 | 8 | 8,2 | 0,561 |
Примечания / Note: * критерий Манна-Уитни / the Mann-Whitney criterion
Полученные данные подтверждают, что метод магнитно-резонансной томографии (МРТ) обладает высокой диагностической эффективностью в визуализации свищевого хода. Чувствительность и точность МРТ в диагностике свищей заднего прохода составляет 100% и 97,4% соответственно. Исходя из исследования, диагностическая эффективность УЗИ в визуализации свища заднего прохода показывает более скромные результаты: чувствительность 100%, точность 75,1% (табл. 6).
Таблица 6. Общая диагностическая эффективность свищей заднего прохода при проведении МРТ промежности и УЗИ малого таза
Table 6. General diagnostic efficacy of anal fistulas during perineal MRI and pelvic ultrasound
Показатель / Indicator | N / number of patients | ИП / truly positive | ЛП / false positive | ИО / truly negative | ЛО / false negative | Чувств. / sensitivity | Точность / accuracy |
МРТ / MRI | 76 | 74 | 2 | 0 | 0 | 100% | 97,4% |
УЗИ / Ultrasound | 12 | 9 | 3 | 0 | 0 | 100% | 75,1% |
Примечания / Note: ИП – истинно положительные результаты / truly positive results, ЛП – ложноположительные / truly positive results, ИО – истинно отрицательные / false positive, ЛО – ложноотрицательные / falsely negative
Выводы
Полученные в ходе исследования данные показывают, что чувствительность магнитно-резонанснсной томографии и ультразвукового исследования в диагностике свищей заднего прохода достигает 100%. МРТ по сравнению с УЗИ имеет преимущество в определении типа свищевого хода, локализации внутреннего свищевого отверстия и оценке вовлечения отдельных сфинктеров с точностью при МРТ до 97,4%, в сравнении с УЗИ – до 75,1%, соответственно.
МРТ является высокоинформативным неинвазивным методом при диагностике свищей заднего прохода с высоким мягкотканым разрешением и отсутствием ионизирующего излучения.
Дополнительная информация
Конфликт интересов
Авторы декларируют отсутствие явных и потенциальных конфликтов интересов, связанных с публикацией настоящей статьи.
About the authors
Andrey Y. Ilkanich
Surgut State University; Surgut Regional Clinical Hospital
Author for correspondence.
Email: ailkanich@yandex.ru
ORCID iD: 0000-0003-2293-136X
M.D., Professor of the Department, Head of the Department of Coloproctology
Russian Federation, Surgut; SurgutKazimagomed Z. Zubailov
Surgut State University; Surgut Regional Clinical Hospital
Email: zkazim@mail.ru
ORCID iD: 0009-0001-5477-8657
coloproctologist, Surgut District Clinical Hospital; Postgraduate student of the Department of Surgical Diseases
Russian Federation, Surgut; SurgutAlexey A. Kabanov
Surgut Regional Clinical Hospital
Email: kaa.xray@gmail.com
ORCID iD: 0000-0002-8242-1073
Radiologist
Russian Federation, SurgutTatyana V. Devyatkina
Surgut Regional Clinical Hospital
Email: tanyadeva@yandex.ru
ORCID iD: 0009-0009-8871-9864
Head of the Ultrasound Diagnostics Department
Russian Federation, SurgutReferences
- SHelygin YUA, Vasil'ev SV, Veselov AV, Groshilin VS, Kashnikov VN, Korolik VYU, Kostarev IV, Kuz'minov AM, Moskalev AI, Mudrov AA, Frolov SA, Titov AYU. Fistula of the anus. Koloproktologiya. 2020;19(3):10-25. doi org/10.33878/2073-7556-2020-19-3-10-25 (in Russ.)
- Ajsaev AYU, Turkmenov AA, Turdaliev SI, CHoj ED. Etiology of complex rectal fistulas. Ural'skij medicinskij zhurnal. 2020;3(186):159-163. doi: 10.25694/URMJ.2020.03.31 (in Russ.)
- García-Olmo D, Van Assche G, Tagarro I, Diez MC, Richard MP, Khalid JM, van Dijk M, Bennett D, Hokkanen SRK, Panés J. Prevalence of Anal Fistulas in Europe: Systematic Literature Reviews and Population-Based Database Analysis. Advances in Therapy. 2019;36(12):3503-3518. doi: 10.1007/s12325-019-01117-y
- Zanotti C, Martinez-Puente C, Pascual I., Pascual M, Herreros D, García-Olmo D. An assess- ment of the incidence of fistula-in-ano in four coun- tries of the European Union. International Journal of Colorectal Disease. 2007;22(12):1459–1462. doi: 10.1007/s00384-007- 0334-7
- Yamana T. Japanese practice guidelines for anal disorders II. Anal fistula. J. Anus Rectum Colon. 2018;2(3):103–109. doi: 10.23922/jarc.2018-009
- Hokkanen SR, Boxall N, Khalid JM, Ben- nett D, Patel H. Prevalence of anal fistula in the United Kingdom. World Journal of Clinical Cases. 2019;7(14):1795–1804. doi: 10.12998/wjcc.v7.i14.1795
- Ren J, Bai W, Gu L, Li X, Peng X, Li W. Three-dimensional pelvic ultrasound is a practical tool for the assessment of anal fistula. BMC Gastroenterol. 2023;25;23(1):134. doi: 10.1186/s12876-023-02715-5
- Liang C, Lu Y, Zhao B, Du Y, Wang C, Jiang W. Imaging of anal fistulas: comparison of computed tomographic fistulography and magnetic resonance imaging. Korean J Radiology. 2014;15(6):712-23. doi: 10.3348/kjr.2014.15.6.712
- Bhatt S, Jain BK, Singh VK. Multi Detector Computed Tomography Fistulography In Patients of Fistula-in-Ano: An Imaging Collage. Polish Journal of Radiology. 2017;15;82:516-523. doi: 10.12659/PJR.901523
- Lavazza A, Maconi G. Transperineal ultrasound for assessment of fistulas and abscesses: a pictorial essay. Journal of Ultrasound. 2019;22(2):241-249. doi: 10.1007/s40477-019-00381-6
- Kachare M, Khan A. Role of ultrasonography in evaluation of perianal fistula-A study of 200 cases. Journal of Clinical Ultrasound. 2023;51(3):536-542. doi: 10.1002/jcu.23396
- Lin T, Ye Z, Hu J, Yin H. A comparison of trans-fistula contrast-enhanced endoanal ultrasound and MRI in the diagnosis of anal fistula. Annals of Palliative Medicine. 2021;10(8):9165-9173. doi: 10.21037/apm-21-1624
- Kiselev DO, Orlova LP, Zarodnyuk IV, Anosov IS. 3D endorectal ultrasound diagnostics of rectal fistulas of cryptogenic origin with absent or obliterated external fistula opening. Rossijskij elektronnyj zhurnal luchevoj diagnostiki. 2021;11(2):83-198. doi: 10.21569/2222-7415-2021-11-1-125-136 (in Russ.)
- Burdan F, Sudol-Szopinska I, Staroslawska E, Kolodziejczak M, Klepacz R, Mocarska A, Caban M, Zelazowska-Cieslinska I, Szumilo J. Magnetic resonance imaging and endorectal ultrasound for diagnosis of rectal lesions. European Journal of Medical Research. 2015;14;20(1):4. doi: 10.1186/s40001-014-0078-0
- Varsamis N, Kosmidis C, Chatzimavroudis G, Apostolidou Kiouti F, Efthymiadis C, Lalas V, Mystakidou CM, Sevva C, Papadopoulos K, Anthimidis G, Koulouris C, Karakousis AV, Sapalidis K, Kesisoglou I. Preoperative Assessment of Perianal Fistulas with Combined Magnetic Resonance and Tridimensional Endoanal Ultrasound: A Prospective Study. Diagnostics (Basel). 2023;3;13(17):2851. doi: 10.3390/diagnostics13172851
- Almeida IS, Jayarajah U, Wickramasinghe DP, Samarasekera DN. Value of three-dimensional endoanal ultrasound scan (3D-EAUS) in preoperative assessment of fistula-in-ano. BMC Research Notes. 2019;29;12(1):66. doi: 10.1186/s13104-019-4098-2
- Kiselev DO, Zarodnyuk IV, Trubacheva YUL, Eligulashvili RR, Matinyan AV, Ko-starev IV. The possibilities of methods of endorectal ultrasound with three-dimensional image reconstruction and magnetic resonance imaging in the diagnosis of cryptogenic rectal fistulas. Kubanskij nauchnyj medicinskij vestnik. 2020;27(6): 44-59. doi: 10.25207/1608-6228-2020-27-6-44-59 (in Russ.)
- Li J, Chen SN, Lin YY, Zhu ZM, Ye DL, Chen F, Qiu SD. Diagnostic Accuracy of Three-Dimensional Endoanal Ultrasound for Anal Fistula: A Systematic Review and Meta-analysis. Turkish Journal of Gastroenterology. 2021;32(11):913-922. doi: 10.5152/tjg.2021.20750
- Konan A, Onur MR, Özmen MN. The contribution of preoperative MRI to the surgical management of anal fistulas. Diagnostic And Interventional Radiology. 2018;24(6):321-327. doi: 10.5152/dir.2018.18340
- Balcı S, Onur MR, Karaosmanoğlu AD, Karçaaltıncaba M, Akata D, Konan A, Özmen MN. MRI evaluation of anal and perianal diseases. Diagnostic And Interventional Radiology. 2019;25(1):21-27. doi: 10.5152/dir.2018.17499
- Halligan S. Magnetic Resonance Imaging of Fistula-In-Ano. Magnetic Resonance Imaging Clinics of North America. 2020;28(1):141-151. doi: 10.1016/j.mric.2019.09.006
- Yang J, Han S, Xu J. Deep Learning-Based Magnetic Resonance Imaging Features in Diagnosis of Perianal Abscess and Fistula Formation. Contrast Media & Molecular Imaging. 2021; 2021:9066128. doi: 10.1155/2021/9066128
- Garg P, Kaur B, Yagnik VD, Dawka S. A New Anatomical Pathway of Spread of Pus/Sepsis in Anal Fistulas Discovered on MRI and Its Clinical Implications. Clinical and Experimental Gastroenterology. 2021;7;14:397-404. doi: 10.2147/CEG.S335703
- Vo D, Phan C, Nguyen L, Le H, Nguyen T, Pham H. The role of magnetic resonance imaging in the preoperative evaluation of anal fistulas. Scientific Reports. 2019;29;9(1):17947. doi: 10.1038/s41598-019-54441-2
- Varsamis N, Kosmidis C, Chatzimavroudis G, Sapalidis K, Efthymiadis C, Kiouti FA, Ioannidis A, Arnaoutoglou C, Zarogoulidis P, Kesisoglou I. Perianal fistulas: A review with emphasis on preoperative imaging. Journal Advances in Medical Sciences. 2022;67(1):114-122. doi: 10.1016/j.advms.2022.01.002
- Sudoł-Szopińska I, Santoro GA, Kołodziejczak M, Wiaczek A, Grossi U. Magnetic resonance imaging template to standardize reporting of anal fistulas. Techniques in Coloproctology. 2021;25(3):333-337. doi: 10.1007/s10151-020-02384-6
- Garg P. Assessing validity of existing fistula-in-ano classifications in a cohort of 848 operated and MRI-assessed anal fistula patients - Cohort study. Annals of Medicine and Surgery. 2020; 19(590:122-126. doi: 10.1016/j.amsu.2020.09.022
- Garg P. Comparing existing classifications of fistula-in-ano in 440 operated patients: Is it time for a new classification? A Retrospective Cohort Study. International Journal of Surgery. 2017;42:34-40. doi: 10.1016/j.ijsu.2017.04.019
Supplementary files













