Endovideosurgery Potential in the Treatment of Liver Cysts
- Authors: Sigua B.V.1, Zemlyanoy V.P.1, Gurzhii D.V.1, Syomin D.S.1, Ivanyukova M.A.1, Zakharov E.A.1
-
Affiliations:
- North-Western state medical university named after I.I. Mechnikov
- Issue: Vol 15, No 2 (2022)
- Pages: 154-157
- Section: Experience
- URL: https://vestnik-surgery.com/journal/article/view/1548
- DOI: https://doi.org/10.18499/2070-478X-2022-15-2-154-157
- ID: 1548
Cite item
Full Text
Abstract
Non-parasitic cystic lesions of the liver are asymptomatic for a long time and appear to be an accidental diagnostic finding. It should also be noted that when choosing a treatment strategy, it is necessary to carry out differential diagnostics with parasitic cysts in echinococcosis and opisthorchiasis, as well as decay areas in alveococcosis and liver cancer. The paper describes a clinical case of successful management of a patient with a liver cyst. Prior to admission, the patient was examined outpatiently: ultrasound examination, spiral computed tomography of the abdominal organs detected a liquid formation in the projection of liver segments II–III measuring 89x79x88 mm. In addition, immunological studies were carried out to differentiate the origin of cystic formation. The presence of IgG antibodies to Toxocara was confirmed, the fact allowing for the parasitic origin of the cyst. The patient was admitted to the Surgical Clinic named after I.I. Grekov, North-Western State Medical University named after I.I. Mechnikov, for planned surgical treatment - en bloc resection of liver segments II-III and cholecystectomy, due to concomitant cholelithiasis. The resected edge of the liver and the gallbladder bed were processed using argon plasma coagulation. The postoperative period appeared unremarkable. The histopathological examination finding was a solitary cyst of the bile duct, with chronic active inflammation in the surrounding liver tissue. The patient was discharged in a satisfactory condition on the eleventh day after the operation under the supervision of a surgeon, therapist and infectious disease specialist. Thus, an interdisciplinary approach is a key in the treatment of patients with liver cysts and allows choosing the optimal treatment tactics.
Endovideosurgical technologies allow conducting radical surgical interventions for liver cysts, even in cases when their parasitic origin cannot be excluded.
Full Text
Кистозные поражения печени представляют собой гетерогенную группу заболеваний, которые, несмотря на различную морфологию, пато- и морфогенез в современных классификациях часто объединяют в одну группу [1]. Непаразитарные простые кисты печени являются довольно распространенным доброкачественным заболеванием печени, встречающимся примерно у 1–5% людей в общей популяции [2-4].
В большинстве случаев простым кистам печени свойственно асимптомное течение и лечение не требуется [5]. Однако в некоторых случаях несмотря на длительное бессимптомное течение, они могут провоцировать острые абдоминальные ситуации вследствие обструктивной желтухи и других клинических проявлений – перекрутов кист на ножке, странгуляций, кровотечений при разрывах кист, требующие хирургического лечения [1].
Также следует отметить важность проведения дифференциальной диагностики с паразитарными кистыми при эхинококкозе и описторхозе, а также зонами распада при альвеококкозе и гепатоцеллюлярном раке. В данных случаях большое значение имеют методики визуализации и специфическая лабораторная диагностика [6].
Выбор метода лечения во многом зависит от размера кисты, топографического расположения в печени, природы происхождения, а также от возраста пациента, наличия у него сопутствующих заболеваний. Примерно в 74% случаев кисты печени сочетаются с желчнокаменной болезнью [7].
Помимо традиционных методов лечения непаразитарных кист в виде резекции пораженной части печени или иссечения кисты, существуют и малоинвазивные: пункция кисты с последующим склерозированием, фенестрация, марсупиализация. Кроме названных методов существуют методы деэпитализации стенок кисты. В качестве склерозирующего агента используют 96% этанол. [7, 8] Однако названные методы не радикальны и не гарантируют отсутствие рецидивов в послеоперационном периоде, в отличие от резекции печени[9].
Клинический случай
Пациентка К., 58 лет, поступила 12.12.2018 года в клинику факультетской хирургии им. И.И. Грекова СЗГМУ им. И. И. Мечникова в плановом порядке с диагнозом: «Киста левой доли печени» для хирургического лечения. На момент поступления пациентка жалоб активно не предъявляла, однако отмечала периодические боли в правом подреберье и тошноту.
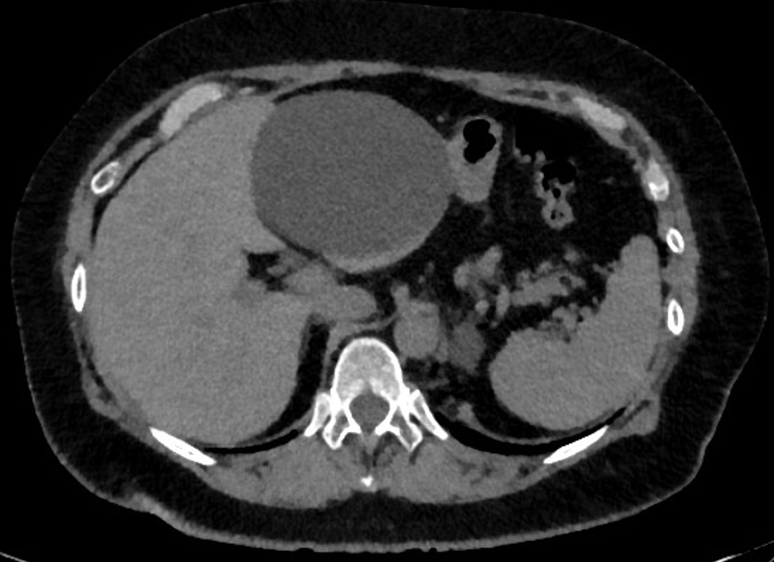
Дебютом своего заболевания считает июнь 2018 г, когда после употребления соленой рыбы почувствовала боль в правом подреберье, тошноту, появившуюся многократную рвоту. Из анамнеза известно о наличие у пациентки желчнокаменной болезни, хронического калькулезного холецистита. Данное состояние связывала с обострением имеющегося заболевания. После купирования болевого синдрома обратилась в поликлинику по месту жительства, где было выполнено УЗИ органов брюшной полости, при котором впервые было обнаружено анэхогенное включение размерами 10,0*8,7*7,6 мм с ровными контурами. Была заподозрена киста левой доли печени или головки поджелудочной железы. Для уточнения локализации образования было рекомендовано выполнение спиральной компьютерной томографии органов брюшной полости. При этом было выявлено крупное жидкостное образование в проекции III сегмента, с переходом на II сегмент, размерами 89х79х88мм (рис. 1.).
Рис. 1. Киста печени.
Fig. 1. Liver cyst.
Для уточнения природы данного образования пациентка консультирована инфекционистом. В иммунологических исследованиях было отмечено нарастание титра антител к антигенам токсокар за четыре месяца в два раза с 3,536 КП (1:400) до 6,045 (1:800).
Полученные результаты не позволяли исключить у пациентки паразитарный характер кисты. С диагнозом киста левой доли печени неясной этиологии, ЖКБ, хронический калькулезный холецистит пациентка была госпитализирована. Получив рекомендации инфекциониста, в течение пяти дней до операции пациентка принимала следующие препараты: альбендазол 400 мг в сутки, эссенциальные фосфолипиды 1 капсула в день, хлорпирамина гидрохлорид 25мг в день.
Результаты физикального, лабораторного и инструментального исследования
Объективно при осмотре живот был симметричным, мягким, безболезненным, не напряженным. Перкуторно размеры по Курлову: 12х8х8 см. Желчный пузырь не пальпировался.
При поступлении показатели клинического и биохимического анализов крови были в пределах референсных значений. В дополнительных методах исследования не было необходимости.
Лечение. По рекомендации инфекциониста, в течение пяти дней до операции пациентка принимала следующие препараты: альбендазол 400 мг в сутки, эссенциальные фосфолипиды 1 капсула в день, хлорпирамина гидрохлорид 25мг в день.
В виду невозможности исключения паразитарного генеза кисты, было принято решение о выборе радикального метода лечения - резекции сегментов печени с кистой в пределах здоровой ткани, без вскрытия капсулы кисты.
Операция. Под комбинированной анестезией параумбиликально был установлен оптический троакар. Инсуффляция диоксида углерода до 12 мм рт ст. Установлены дополнительные троакары в эпигастрии 12 мм, правом подреберье 12 мм и правом мезогастрии 5 мм, левом мезогастрии 12 мм. При обзорной лапароскопии: в брюшной полости выпота нет, в проекции II−III сегментов печени определяется киста размерами 10x8x8 см с прозрачным содержимым (рис. 2). При этом ткань печени левой доли заметно истончена и атрофирована. Мобилизация левой доли печени производилась аппаратами Harmonic и LigaSure начиная с пересечений круглой, серповидной, левой венечной и треугольной связок. Рассечение ткани печени так же производилось с использованием аппарата LigaSure и Harmonic. Левая печеночная артерия и вена, левая портальная вена выделены раздельно, прошиты двумя раздельными аппаратами ECHELON. Во время операции определялась повышенная кровоточивость тканей резекционного края печени. В связи с этим края резецированной печеночной ткани для надежного гемостаза были обработаны аргоноплазменной коагуляцией (рис. 3).
Рис. 2. Интраоперационное фото кисты печени.
Fig. 2. Intraoperative photo of a liver cyst.
Рис. 3. Частично резецированный край печени.
Fig. 3. Partially resected liver edge.
Следующим этапом операции стала холецистэктомия: желчный пузырь был мобилизован от шейки, с последовательным выделением и клипированием пузырной артерии и пузырного протока. Была выполнена коагуляция ложа желчного пузыря аргоноппазменной коагуляцией. Желчный пузырь и резецированные сегменты печени с кистами удалены в раздельных контейнерах через минилапаротомию в эпигастральной области.
Завершающим этапом операции стало установление двух дренажей в брюшную полость к ложу желчного пузыря и резецированному краю печени.
По ходу операции осуществлялся контроль гемостаза, холестаза, а также контроль инородных тел. После десуффляции произвели послойное ушивание ран. Асептические повязки на раны.
Послеоперационный период. В раннем послеоперационном периоде пациентка отмечала общую слабость, боль в области послеоперационных ран. В первые сутки по дренажам отмечено 80−100 мл серозно-геморрагического отделяемого. В течение недели объем экссудата снизился до 10−20мл, после чего дренажи были удалены из брюшной полости.
В целом послеоперационный период протекал без осложнений, раны зажили первичным натяжением. Швы были сняты на десятые сутки.
Исход и результаты последующего наблюдения. На 11-е сутки после оперативного вмешательства пациентка была выписана в удовлетворительном состоянии с рекомендациями по дальнейшему лечению.
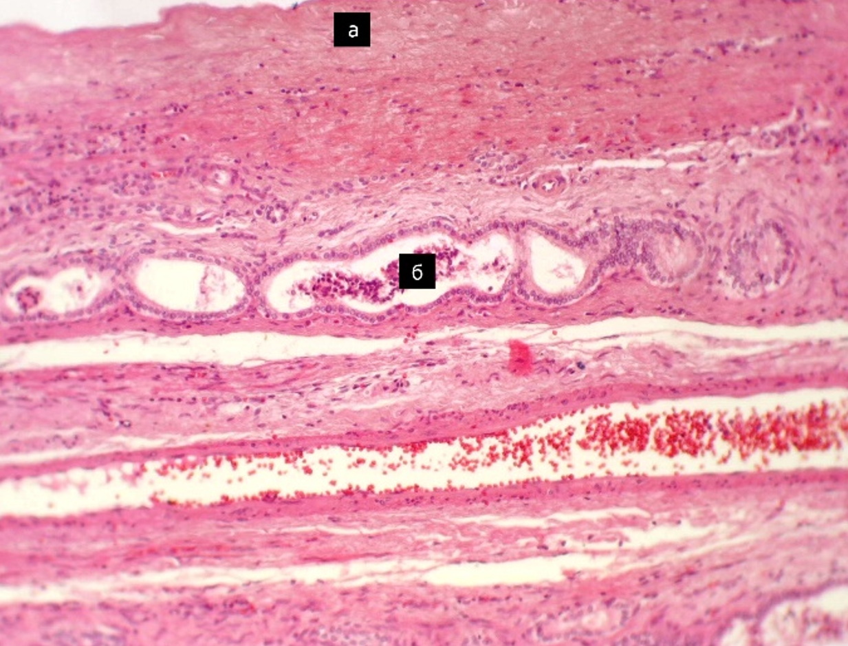
Результат патогистологического исследования: Солитарная киста желчного протока, с хроническим активным воспалением в окружающей ткани печени (рис. 4). Получив данные результаты, был сделан вывод, что токсокароз является сопутствующим заболеванием – рекомендовано наблюдение и лечение у инфекциониста.
Рис. 4. Стенка кисты с участком печени; а – фиброзная стенка кисты без эпителиальной выстилки, б – пролиферирующие расширенные желчные протоки (окр. гематоксилином и эозином, ув. Х100).
Fig. 4. The wall of the cyst with a portion of the liver; a - fibrous cyst wall without epithelial lining, b - proliferating dilated bile ducts (environs with hematoxylin and eosin, magnification X100).
В дальнейшем пациентка в течение двух лет наблюдалась сотрудниками клиники факультетской хирургии имени И.И. Грекова, рецидивов болевого синдрома не отмечалось.
ОБСУЖДЕНИЕ
Мини-инвазивные технологии (лапароскопические,пункционные) в настоящее время широко используются при выполнении оперативных вмешательств на печени, постепенно вытесняя традиционные операции. Выбор миниинвазивного вмешательства зависит от этиологии кистозных образований, ихлокализации, толщины стенок, осложнений,спаечного процесса в брюшной полости, сопутствующих заболеваний. Лапароскопическая фенестрация непаразитарных солитарных и доминантных кист при поликистозе сопровождаетсялучшими ближайшими и отдаленными результатами и может быть выполнена при их локализации как в передних, так и в задних сегментах.Учитывая невозможность исключить у пациентки паразитарную этиологию кисты, было принято решение о выполнении лапароскопической резекции печени.
Следует отметить, что малотравматичныевмешательства не могут быть применены во всехклинических ситуациях. Кисты, осложненныенагноением, перифокальным воспалениеми кровотечением в их просвет, гигантские кисты,а также подозрение на цистаденому по-прежнемутребуют открытых хирургических вмешательств.
Заключение
Междисциплинарный подход является ключевым при лечении пациентов с кистами печени и позволяет выбрать оптимальную лечебную тактику.
Эндовидеохирургические технологии позволяют осуществлять радикальные оперативные вмешательства при кистах печени даже в тех случаях, когда нельзя исключить их паразитарный характер.
About the authors
Badri Valerievich Sigua
North-Western state medical university named after I.I. Mechnikov
Email: dr.sigua@gmail.com
ORCID iD: 0000-0002-4556-4913
SPIN-code: 5571-8893
MD, PhD, professor of the Department of Faculty Surgery named after I.I. Grekov
Russian Federation, 195015, Russia,Saint Petersburg, 41 Kirochnaya streetVyacheslav Petrovich Zemlyanoy
North-Western state medical university named after I.I. Mechnikov
Email: zeml.spb@mail.ru
ORCID iD: 0000-0003-2329-0023
MD, PhD, professor, Head of the Department of Faculty Surgery named after I.I. Grekov
Russian Federation, 195015, Russia, Saint Petersburg, 41 Kirochnaya streetDmitrii Vitalievich Gurzhii
North-Western state medical university named after I.I. Mechnikov
Email: gurzhiydv@ro.ru
ORCID iD: 0000-0002-4005-0403
SPIN-code: 7344-3941
PhD, assistant of the Department of Faculty Surgery named after I.I. Grekov
Russian Federation, 195015, Russia, Saint Petersburg, 41 Kirochnaya streetDmitrii Sergeevich Syomin
North-Western state medical university named after I.I. Mechnikov
Email: cosmo@list.ru
SPIN-code: 9434-4321
PhD, surgeon of the surgical department №2
Russian Federation, 195015, Russia, Saint Petersburg, 41 Kirochnaya streetMaria Alexandrovna Ivanyukova
North-Western state medical university named after I.I. Mechnikov
Email: mashaivanyukova@gmail.com
Surgeon of the surgical department №2
Russian Federation, 195015, Russia, Saint Petersburg, 41 Kirochnaya streetEvgeny Alexeyevich Zakharov
North-Western state medical university named after I.I. Mechnikov
Author for correspondence.
Email: dr.zakharovea@gmail.com
ORCID iD: 0000-0002-2070-7420
SPIN-code: 2649-1050
Surgeon of the surgical department №2
Russian Federation, 195015, Russia, Saint Petersburg, 41 Kirochnaya streetReferences
- Freund GG, Zhivaeva EV. Morphogenetic variants of nonparasitic liver cysts. Experimental and clinical gastroenterology. 2018; 156(8): 94–98. doi: 10.31146/1682-8658-ecg-156-8-94-98 (in Russ.)
- Antonacci N, Ricci C, Taffurelli G, Casadei ., Minni F. Systematic review of laparoscopic versus open surgery in the treatment of non-parasitic liver cysts. Updates Surg. 2014; 66: 231–238. doi: 10.1007/s13304-014-0270-3
- Shimada S, Hara Y, Wada N, Nakahara K, Takayanagi D, Ishiyama Y, Maeda C, Mukai S, Sawada N, Yamaguchi N, Sato Y, Hidaka E, Ishida F, Kudo S.E. Spontaneously ruptured hepatic cyst treated with laparoscopic deroofing and cystobiliary communication closure: a case report. Asian J. Endosc. Surg. 2016; 9: 208–210. doi: 10.1111/ases.12284
- Marques A, Camarneiro R, Silva R, Rodrigues A, Dionísio I, Ferreira Á, Brito E, Melo M. Laparoscopic deroofing of a ruptured hepatic cyst presenting as an acute abdomen. J. Surg. Case Rep. 2019; 2: 1–3. doi: 10.1093/jscr/rjy347
- Gamlin TC, Holloway SL, Heckman JT. Laparoscopic resection of benign hepatic cysts: a new standard. J Am Coll Surg. 2008; 207(5): 731-736. doi: 10.1016/j.jamcollsurg.2008.07.009
- Heathcote E. Management of primary biliary cirrhosis. Hepatology. 2000; 31(4): 1005-1013. doi: 10.1053/he.2000.5984
- Tolstikov AP, Zakharova AV. Minimally invasive surgery in the treatment of patients with non-parasitic liver cysts. Meditsinskii al'manakh. 2010; 1: 10: 151-152. (in Russ.)
- Neijenhuis MK, Wijnands TFM, Kievit W, Ronot M, Gevers TJG, Drenth JPH. Symptom relief and not cyst reduction determines treatment success in aspiration sclerotherapy of hepatic cysts. Eur Radiol. 2019; 29: 6: 3062-3068. doi: 10.1007/s00330-018-5851-y.
- Martel G, Ismail S, Begin A, Vandenbroucke-Menu F, Lapointe R. Surgical management of symptomatic hydatid liver disease experience from a Western centre. Can. J. Surg. 2014; 57: 5: 320-326. doi: 10.1503/cjs.024613
Supplementary files















