Pharmacological Regulation of the Inflammatory Response under Mesh Implant Prosthetics in the Treatment of Patients with External Abdominal Hernias
- Authors: Lukoyanychev E.E.1, Izmajlov S.G.1, Evsyukov D.A.1, Leontev A.E.1, Nikolskij V.O.1, Mironov A.A.2, Panyushkin A.V.1, Firsova A.O.3
-
Affiliations:
- State Public Health Institution Nizhny Novgorod region «City Clinical Hospital № 7 named after E.L. Berezova»
- Federal State Budgetary Educational Institution of Higher Education «Privolzhsky Research Medical University» of the Ministry of Health of the Russian Federation
- Kazan State Medical University
- Issue: Vol 15, No 2 (2022)
- Pages: 122-130
- Section: Original articles
- URL: https://vestnik-surgery.com/journal/article/view/1562
- DOI: https://doi.org/10.18499/2070-478X-2022-15-2-122-130
- ID: 1562
Cite item
Full Text
Abstract
Introduction. Seromas and hematomas of the implantation area are among the most common complications in prosthetic repair of a hernia defect with a mesh implant. The adequate tissue inflammation response to prosthesis implantation is achieved by the local protective role of pro-inflammatory cytokines. With suppression of the body's immune system combined with existing comorbidities, mesh implants result in even greater suppression of the immune system, which is manifested by an inadequate inflammatory response, both local and systemic, leading to the development of complications.
Previously, the authors studied the effect of pyrimidine preparation "Xymedon" (INN - hydroxyethyldimethyldihydropyrimidine) on the systemic inflammatory process after prosthetic repair of anterior abdominal wall hernias. Based on the results of the interim study, it was hypothised: “Regulation of the inflammation response to prosthesis implantation in hernioplasty manifested by changes in cytokine concentration in the blood can reduce postoperative complications”.
The aim of the study was to reduce the number of postoperative complications in prosthetic hernioplasty by regulating inflammatory reactions that occur after mesh implants.
Materials and methods. Experimental part of the study. The experiment involved 66 rats, both sexes, pure line, which were implanted with mesh prostheses. Animals in group I (n=33) – the control one - received 1 ml of 0,9% sodium chloride solution, i.e. received no specific treatment. Animals in group II (n=33) - the main one - received "Ximedon" 21 mg/day as pharmacological support. Blood sampling to determine inflammation markers was performed on the 5th day after the intervention. Animals were withdrawn from the experiment and the implantation site was taken for histological and histomorphometric investigations on the 5th day of the study. The study was carried out in the SPF vivarium at the laboratory of the Center for Genetic Collections of Laboratory Animals, Lobachevsky State University of Nizhny Novgorod. The study consisted of 4 series of experiments (2018-2021).
Clinical part of the study. Prospectively (2018 - February 2022), we analyzed clinical outcomes of 101 patients with prosthetic repair (by Liechtenstein, TAPP, eTAR, "sublay") of an aponeurosis hernia defect of the anterior abdominal wall who received treatment in the City Clinical Hospital №7 named after E.L. Berezow. Patients of the "control" group (n=33) received only conventional treatment; patients of the "Ximedon" group (n=68) received 0.5 mg of ximedon 3 times a day for 10 days orally from the first day after the operation. Blood sampling was carried out on the 5th day after surgery. The data obtained were processed and structured using Microsoft Excel 2019 (64 bit), and statistical values were calculated in StatSoft Statistica 12,5 (64 bit).
Results. Xymedon has a significant effect on the increase in the area of the vessels of the implantation area in the experiment. Its use is associated with a lower level of C-reactive protein and blood IL-6 on day 5 in the experimental group compared to the control group. In the clinical study ximedon has a significant effect on the cytokine concentration in the blood: C-reactive protein, TNF-a, interleukins 6, 8 and 10. In the experimental study the dynamic of C-reactive protein, blood interleukins 6 and 10 does not significantly differ from the clinical one. In the clinical study, xymedon intake was associated with fewer postoperative complications.
Conclusion. The studies performed allow us to consider "ximedon" as a means of pharmacological support for prosthetic repair in external abdominal hernias due to a significant reduction in postoperative complications provided by the ability to regulate inflammation reactions and stimulate reparative regeneration.
Full Text
Проблемы оперативного лечения грыж передней брюшной стенки по-прежнему остаются не решёнными. Связаны они, в первую очередь, с большим количеством раневых осложнений, которые при данной патологии варьируют в диапазоне 8-28 % в зависимости от локализации грыжи и варианта открытого оперативного пособия. При лапароскопических операциях частота раневых осложнений достигает 4-12% [1-3].
Охват факторов, приводящих к данным негативным результатам, очень многогранен. В первую очередь они ассоциированы с наличием различной сопутствующей терапевтической и хирургической патологии, которая встречается у 69,4-91 % пациентов с грыжами передней брюшной стенки. При этом сумма и тяжесть патологий увеличивают степень операционного риска, что прямопропорционально повышает количество послеоперационных осложнений и частоту рецидивов [4].
Одними из наиболее часто встречающихся осложнений при протезирующей пластике грыжевого дефекта сетчатым имплантом являются серомы и гематомы области имплантации. Экссудативная реакция, как ответ организма на механическое повреждение и на наличие инородного тела – неминуема. Поэтому некоторыми авторами развитие сером рассматривается не как осложнение, а как естественный процесс при пластике передней брюшной стенки [5]. Адекватность реакции воспаления в тканях на имплантацию протеза достигается локальной защитной ролью провоспалительных цитокинов, обеспечивающих накопление в очаге воспаления дополнительных протекторных клеток (нейтрофилов, макрофагов), стимулирующих фагоцитарную, бактерицидную активность этих клеток, и запускающих антигенспецифический иммунный ответ [6-11].
Учитывая угнетение иммунной системы организма на фоне имеющихся сопутствующих заболеваний, имплантация сетчатого протеза приводит к еще большему её угнетению, что проявляется неадекватной воспалительной реакцией как местного, так и системного характера, приводящей к развитию осложнений [12, 13]. В связи с этим, их профилактика, особенно у пациентов с большими послеоперационными и вентральными грыжами, с сопутствующей патологией и ожирением — стратегический вопрос комплексного хирургического лечения. Особую актуальность придаёт тот факт, что 47-80 % больных – лица трудоспособного возраста 21-60 лет [14, 15]. Решение проблем возникновения послеоперационных осложнений имеет значительный потенциал повышения трудоспособности населения и снижения финансовых затрат на здравоохранение, улучшения качества жизни пациента и косметического эффекта [16].
Ранее авторами изучено влияние препарата пиримидинового ряда(МНН – гидроксиэтилдиметилдигидропиримидин) «Ксимедон»на системный воспалительный процесс после протезирующей пластики грыж передней брюшной стенки [17, 18]. По результатам промежуточного исследования сформулирована гипотеза: «Регулирование реакции воспаления на имплантацию протеза при герниопластике, проявляющееся в изменении концентрации цитокинов крови, позволяет снижать послеоперационные осложнения».
Цель исследования – снизить количество послеоперационных раневых осложнений путём регуляции реакций воспаления, возникающих после имплантации сетчатого протеза при протезирующей герниопластике.
Экспериментальная часть исследования. Эксперимент выполнен на 66 конвенциональных животных – разнополых крысах чистой линии Wistar массой (М±δ) 512,1±91,6 г.Формирование 2 групп проведено рандомизацией. Исследование проводилось в SPF (specificpathogenfree) виварии на базе лаборатории центра генетических коллекций лабораторных животных Федерального государственного автономного образовательного учреждения высшего образования "Национальный исследовательский Нижегородский государственный университет им. Н.И. Лобачевского" (ННГУ). Исследование включало 4 серии эксперимента 2018-2021 гг.
Расчёт дозы препарата выполняли на среднюю массу крысы в исследовании от рекомендуемой суточной максимальной дозы на человека весом 70 кг, согласно актуальной официальной инструкции к препарату. При перерасчёте дозировки лекарственных препаратов на животное коэффициент метаболизма (5,89-5,89 для крысы) в расчёт не применяли по причине того, что различные вещества имеют различный коэффициент метаболизма [19], а исследований по коэффициенту метаболизма препаратов пиримидинового ряда, а также по цитокинам в литературе не установлено.
I группа получала исключительно 1 мл 0,9 % раствора натрия хлорида, то есть специфического фармакологического лечения не получала.
II группа (n=33) – основная, в качестве фармакологического сопровождения протезирующей пластики получала препарат гидроксиэтилдиметилдигидропиримидин (xymedon, АО "Татхимфармпрепараты", Россия) (далее – ксимедон) в дозировке 21 мг/кг/сут.
Приготовление растворов на основе 1 мл 0,9 % раствора натрия хлорида проводили extempore. Введение препарата выполняли внутрижелудочным зондом с оливой по традиционной методике.
Все животные, вводимые лекарственные средства, а также забираемая кровь имела специальную маркировку, известную только руководителям эксперимента для обеспечения слепого характера исследования. Инвазивные процедуры (забор крови, внутрижелудочное ведение препарата, операция и вывод из эксперимента) выполнялись только в условиях ингаляционного наркоза изофлюраном (Foran, AbbVie, США), на кислороде, ветеринарным вапоризатором VIP 3000 (Midmark, США) в наркозной камере и/или с применением наркозной маски. Забор крови выполняли в специализированную транспортную вакуумную пробирку Vacuette «Premium»без геля (GreinerBio-One, Австрия).
Транспортировка биоматериала осуществлялась в термоконтейнере при температуре +4-8 ºС сразу после эксперимента. Исследование на ИЛ-6 и ИЛ-10 выполнялось лабораторией Гемохелп (г.Нижний Новгород) на иммуноферментном анализаторе «Лазурит» (Dynex, США).
С целью исключения возможности выгрызть швы и сетчатый протез исследуемым животным имплантация выполнялась в область холки и спины, в слой между гиподермой и поверхностной фасцией (слой аналогичный передней брюшной стенке при методике onlay extraperitoneal).
Сетчатый протез 4х2 см, сложенный «гармошкой» устанавливали в подготовленный участок через рану, расправляли. Фиксировали протез двумя узловыми швами (рис. 1). В качестве шовного материала во всех случаях применяли нить капроновую кручёную 2-0 (Линтекс, Россия). Рану ушивали непрерывным швом.
Рис. 1. Этап имплантации – фиксация сетчатого протеза к тканям.
Fig. 1.The implantation stage is the fixation of the mesh prosthesis to the tissues.
На 5 сутки эксперимента, после наркотизации крысы, выполняли забор крови из хвостовой вены. Вывод животного из эксперимента производили декапитацией в отдельном, от других животных, помещении. Забор участка имплантации на гистологическое и гистоморфометрическое исследования включал интактные ткани глубиной до межрёберных мышц и 1 см латеральнее участка имплантации (дерма, гиподерма, протез, фасция, мышцы) (рис. 2). Материал забирали отсечением бритвенным лезвием «Спутник» (Россия).
Рис. 2. Подготовка препарата из забранного лоскута.
Fig. 2. Preparation of a specimen from a harvested flap.
Макроскопически в ряде препаратов в группе «Ксимедон» вокруг протеза отмечали петехии, однако формирования гематом, не происходило. Протез на 5 сутки во всех случаях плотно фиксировался к окружающим тканям.
По результатам гистоморфометрии (рис. 3), в группе животных, получавших ксимедон, площадь сосудов в опыте, превышала аналогичную в контроле почти в 6 раз (p=0,02; U-критерий). Площади экстравазаций (p=0,33; U-критерий) и жидкостных скоплений (p=0,41; U-критерий) значимых отличий, по сравнению с контролем, не имели, вероятно, по причине недостаточности материала.
Рис. 3. Гистоморфометрия препарата области имплантации, 5 сутки после операции, мeдиана площади, мкм2 (n=12) (гематоксилин-эозин, Leica DM 2500, увеличение х250).
Fig. 3. Histomorphometry of the preparation of the implantation area, 5 days after surgery, median area, μm2 (n = 12) (hematoxylin-eosin, Leica DM 2500, magnification x250).
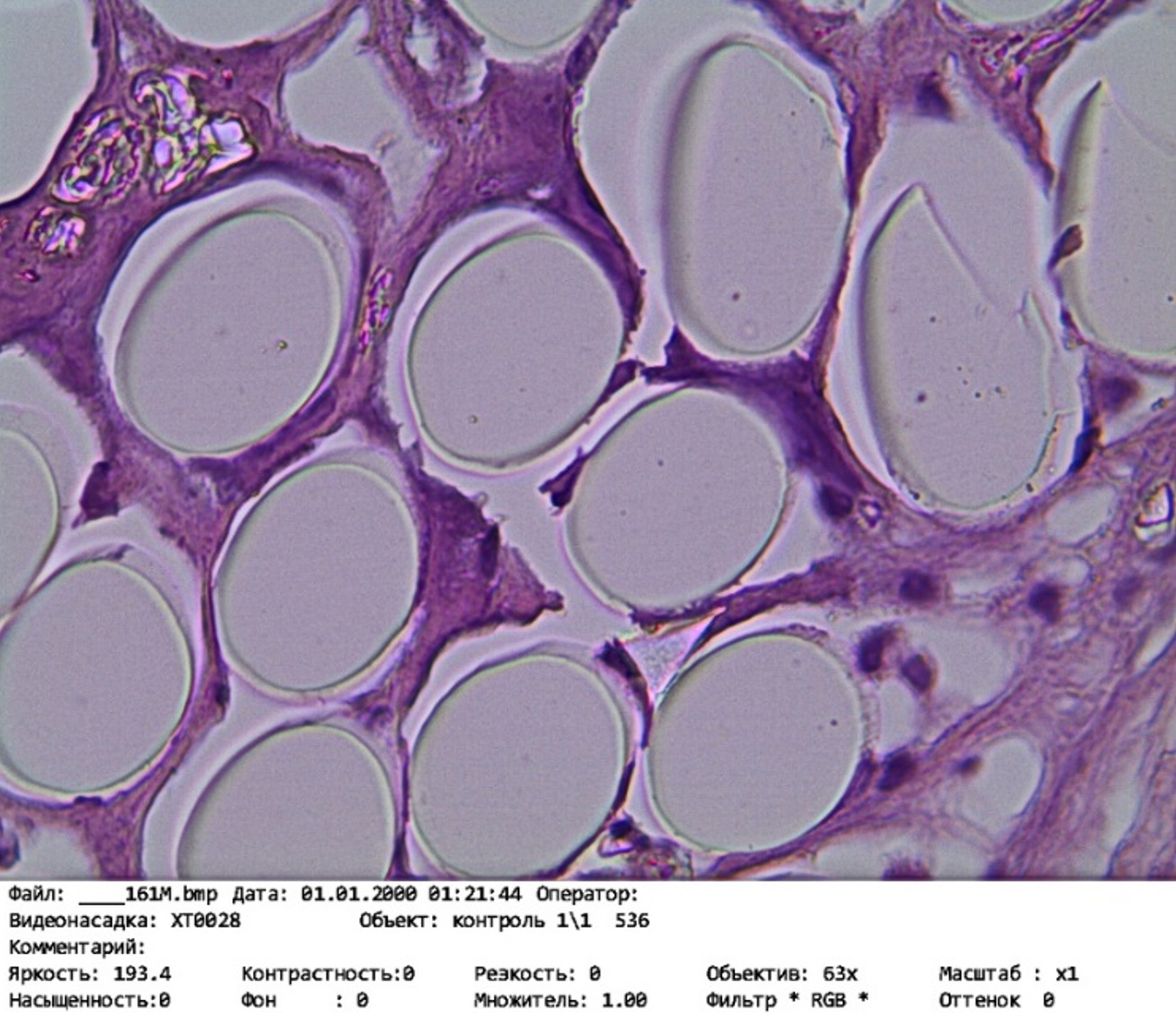
При морфологическом исследовании (рис. 4, 6-а) в контрольной группе животных отмечалась умеренная воспалительная лейкоцитарная инфильтрация в области протеза. Формирование ячеистых сером вокруг имплантата сопровождалось единичной экстравазацией эритроцитов. Вокруг протеза наблюдались слабовыраженные по объему грануляции.
Рис. 4. Микрофото области имплантации в контрольной группе, 5 сутки после операции (гематоксилин-эозин, μVizo-103) увеличение х630.
Fig. 4. Microphoto of the implantation area in the control group, 5 days after surgery (hematoxylin-eosin, μVizo-103, x630 magnification).
В группе «Ксимедон» воспалительная лейкоцитарная инфильтрация по сравнению с контролем менее выражена (рис. 5, 6-б). В отличие от контроля (рис. 6) четко прослеживалось полнокровие сосудов в области хорошо развитой грануляционной ткани с большим количеством новообразованных сосудистых петель в зоне расположения протеза. Жидкостные скопления, по сравнению с контролем, минимальны.
Рис. 5. Микрофото области имплантации в основной группе, 5 сутки после операции (гематоксилин-эозин, μVizo-103, увеличение х630).
Fig. 5. Microphoto of the implantation area in the main group, 5 days after surgery (hematoxylin-eosin, μVizo-103, x630 magnification).
Рис. 6. Сравнение микрокартины области имплантации в контрольной (а) и основной (б) группе, микрофото на 5 сутки после операции (гематоксилин-эозин, μVizo-103, увеличение х 50).
Fig. 6. Comparison of the microimage of the implantation area in the control (a) and the main (b) group, microphoto on the 5th day after the operation (hematoxylin-eosin, μVizo-103, magnification x 50).
Динамика цитокинового профиляв эксперименте (рис. 7) была представлена значимым снижением С-РБ (p=0,033; U-критерий) и ИЛ-6 (p=0,047; U-критерий). Стоит отметить стабильность ФНО-а на 5 сутки у крыс, в том числе и по сравнению с исходными значениями до операции,Δ = 0,0.
Рис. 7. Meдиана цитокинов на 5 сутки в экспериментальной части исследования (n=66).
Fig. 7. Median of cytokines on the 5th day in the experimental part of the study (n = 66).
Клиническая часть исследования.
Проспективно (2018 г. – настоящее время) проведён анализ лечения 101 пациента на базе ГБУЗ НО «ГКБ № 7 имени Е.Л. Березова г. Нижнего Новгорода».
Критерии включения:возраст от 18–80 лет, включительно;неущемлённая грыжа передней брюшной стенки;пластика грыжевого дефекта передней брюшной стенки сетчатым полипропиленовым имплантатом.
Критерии не включения: злокачественное новообразование;ВИЧ-инфекция;гиперчувствительность к препарату ксимедон;лейкоз острый или хронический;эритремия;период беременности или лактации;отсутствие готовности к сотрудничеству со стороны пациента.
Забор крови выполняли в специализированную транспортную вакуумную пробирку Vacuette «Premium» с гелем (GreinerBio-One, Австрия). Центрифугирование выполняли через 30 минут после забора крови в течении 15 минут при скорости 1500 об/мин, после чего сразу препараты замораживали до –21°С. Исследование крови на цитокины выполнялось лабораторией Гемохелп (Нижний Новгород) на иммуноферментном анализаторе «Лазурит» (Dynex, США).
Пластика грыжевого дефекта выполнялась любым общепринятым стандартным способом согласно Российским клиническим рекомендациям. Распределение по группам производилось путём простой рандомизации.
Пациенты группы научного контроля (33 пациента) получали только общепринятое лечение, а в группе «Ксимедон» (68 пациентов) – к общепринятому лечению с первого дня после операции принимали ксимедон peros 0.5 3 р/д 10 дней.
Изучение цитокинового профиля выполнено у 66 пациентов: из группы «Контроль» вошло 48 пациентов, а группы «Ксимедон» – 18 пациентов. По исходным показателям группы сопоставимы: возрасту (р=0,82; U-критерий), полу (p=0,83; χ2), сопутствующей патологии (по 3 бальной оценке по 7 системам, p=0,38;χ2), ИМТ (р=0,24; U-критерий), вариантам операций (p=0,81;χ2), общим показателям крови до операции (лейкоциты, лимфоциты, тромбоциты; p=0,275; критерий Краскала-Уоллиса), цитокинам крови до операции (p=0,117; критерий Краскала-Уоллиса).
При изучении цитокинового профиля пациентов (рис. 8) установлено, что в группе «Ксимедон» отмечается значимое снижение концентрации С-РБ (p<0,01; U-критерий), ФНО-а (p<0,01; U-критерий), ИЛ-6 (p=0,05; U-критерий), ИЛ-10 (p=0,04; U-критерий) и значимое повышение ИЛ-8 (p=0,02; U-критерий).
Рис. 8. Медиана цитокинов на 5 сутки после операции в клинической части исследования (n=66).
Fig. 8. Median of cytokines on the 5th day after the operation in the clinical part of the study (n = 66).
При сравнении динамики цитокинового профиля в экспериментальной и клинической частях исследования (рис. 9), с исключением ФНО-а (по причине его стабильности у крыс), установлено, что показатели С-РБ, 6 и 10 интерлейкинов на 5 сутки статистически значимых различий не имеют (p=0,40; χ2), что подтверждает возможность интерполяции результатов эксперимента и клинической части работы.
Рис. 9. Сопоставление Ме [Q1; Q3] на 5 сутки после операции в экспериментальной и клинической частях исследования (n=132).
Fig. 9. Comparison Ме [Q1; Q3] on the 5th day after surgery in the experimental and clinical parts of the study (n = 132).
Таблица 1. Сравнение осложнений в контрольной и основной группах по классификации Clavien-Dindo
Table. 1. Comparison of complications in the control and main groups according to the Clavien-Dindo classification
| Контроль / Control (n=33) | Ксимедон / Xymedon (n=68) | ||
абс. / abs. | % | абс. / abs. | % | |
1 – не требует коррекции / does not require correction | - | - | - | - |
2 – фармакологическое лечение / pharmacological treatment | 4 | 12,1 % | 1 | 1,5 % |
3 – инвазивное вмешательство / invasive intervention | ||||
3а – под местной анестезией / under local anesthesia | 4 | 12,1 % | 4 | 5,9 % |
3б – под общей анестезией / under general anesthesia | - | - | - | - |
4 – жизнеугрожающие осложнения / life-threatening complications | ||||
4а – моноорганная недостаточность / monoorgan insufficiency | - | - | - | - |
4б – полиорганная недостаточность / multiple organ failure | - | - | - | - |
5 – смерть / death | 1 | 3,0 % | - | - |
Всего / Total | 9 | 27,3 % | 5 | 7,4 % |
Обсуждение результатов. Ксимедон оказывает значимое влияние на увеличение площади сосудов области имплантации в эксперименте. Его применение ассоциировано с более низким показателем C-реактивного белка и ИЛ-6 крови на 5 сутки в эксперименте по сравнению с контролем. Ксимедон оказывает значимое влияние на концентрацию цитокинов крови в клиническом исследовании: C-реактивный белок, ФНО-а, интерлейкины 6, 8 и 10. Динамика C-реактивного белка, 6 и 10 интерлейкинов крови в экспериментальном исследовании значимо не отличается от клинического. В клиническом исследовании приём ксимедона ассоциирован с меньшим количеством послеоперационных осложнений.
Заключение. Проведенные исследования позволяют рассматривать препарат ксимедон в качестве средства фармакологического сопровождения протезирующей пластики при наружных грыжах живота по причине значимого снижения послеоперационных осложнений благодаря способности регулировать реакции воспаления и стимулировать репаративную регенерацию.
About the authors
Egor Evgenevich Lukoyanychev
State Public Health Institution Nizhny Novgorod region «City Clinical Hospital № 7 named after E.L. Berezova»
Email: egor-lukoyanychev@yandex.ru
ORCID iD: 0000-0001-6392-2692
SPIN-code: 7896-4581
Scopus Author ID: 625639
Candidate of Medical Sciences, Associate Professor, consultant
Russian Federation, 66a Oktyabrskaya revolyutsii str., Nizhny Novgorod, RussiaSergej Gennadevich Izmajlov
State Public Health Institution Nizhny Novgorod region «City Clinical Hospital № 7 named after E.L. Berezova»
Email: izi28082009@yandex.ru
ORCID iD: 0000-0001-7998-9277
SPIN-code: 3984-2070
Scopus Author ID: 755363
Doctor of Medical Sciences, Professor, Consultant Professor
Russian Federation, 66a Oktyabrskaya revolyutsii str., Nizhny Novgorod, RussiaDmitriy Alekseevich Evsyukov
State Public Health Institution Nizhny Novgorod region «City Clinical Hospital № 7 named after E.L. Berezova»
Email: d.a.evs@mail.ru
ORCID iD: 0000-0002-7910-8510
Surgeon
Russian Federation, 66a Oktyabrskaya revolyutsii str., Nizhny Novgorod, RussiaAndrey Evgenevich Leontev
State Public Health Institution Nizhny Novgorod region «City Clinical Hospital № 7 named after E.L. Berezova»
Email: leontjeff@mail.ru
ORCID iD: 0000-0001-6510-3391
SPIN-code: 3253-6406
Candidate of Medical Sciences, Associate Professor, consultant
Russian Federation, 66a Oktyabrskaya revolyutsii str., Nizhny Novgorod, RussiaVictor Olegovich Nikolskij
State Public Health Institution Nizhny Novgorod region «City Clinical Hospital № 7 named after E.L. Berezova»
Email: viktor22031@yandex.ru
Doctor of Medical Sciences, Associate Professor, consultant
Russian Federation, 66a Oktyabrskaya revolyutsii str., Nizhny Novgorod, RussiaAndrey Alexandrovich Mironov
Federal State Budgetary Educational Institution of Higher Education «Privolzhsky Research Medical University» of the Ministry of Health of the Russian Federation
Email: andronnn@inbox.ru
ORCID iD: 0000-0001-7387-2860
Candidate of Biological Sciences, Candidate of Biological Sciences, Associate Professor of the Department of Neurotechnology of IBM UNN, Associate Professor of the Department of Normal Physiology
Russian Federation, 603000, Russia, Nizhny Novgorod, Minin and Pozharsky Square, 10/1Aleksey Vyacheslavovich Panyushkin
State Public Health Institution Nizhny Novgorod region «City Clinical Hospital № 7 named after E.L. Berezova»
Email: panalex1008@gmail.com
Surgeon, Head of the Department of Surgery
66a Oktyabrskaya revolyutsii str., Nizhny Novgorod, RussiaAnna Olegovna Firsova
Kazan State Medical University
Author for correspondence.
Email: Hanna.shon@mail.ru
ORCID iD: 0000-0002-2026-7269
Student
420012, Republic of Tatarstan, Kazan, 49 Butlerova str.References
- Timerbulatov MV, Timerbulatov ShV, Gataullina EZ, Valitova ER. Postoperative ventral hernias: current state of the art. Meditsinskii vestnik Bashkortostana. 2013; 5(8):101-107. (in Russ.)
- Brooks DC, Michael Rosen WC. Clinical features, diagnosis, and prevention of incisional hernias. UpToDate. 2018:1-16.
- Mikhin IV, Kukhtenko YuV, Panchishkin AS. Large and giant incisional ventral hernias: possibilities of surgical treatment. Vestnik Volgogradskogo gosudarstvennogo meditsinskogo universiteta. 2014; 2(50):8-16. (in Russ.)
- Pushkin SYu, Belokonev VI, Reshetov AP, Aksenova EV, Dolgikh ES. Assessment of patients with hernias depending on the degree of operational risk and the severity of the injury. Tol'yattinskii meditsinskii konsilium. 2011;3(4):154-157. (in Russ.)
- Nelyubin PS, Galota EA, Timoshin AD. Surgical treatment of patients with postoperative and recurrent ventral hernias. Khirurgiya. 2007; 4:69-74. (in Russ.)
- Belokonev VI, Ponomareva YV, Pushkin SY, Melentyeva ON, Gulyaev MG. Possible predictors and morphological aspects of the development of seroma after plastic surgery of a hernia of the anterior abdominal wall. Novosti khirurgii. 2014; 22 (6): 665-670. (in Russ.)
- Beschastnov VV, Ryabkov MG, Bagryantsev MV, Spiridonov AA, Tikhonova OA, Dezortsev IL. Features of oxygen homeostasis in the process of reparative regeneration in patients with diabetes mellitus (literature review). Voprosy rekonstruktivnoi i plasticheskoi khirurgii. 2017; 3(62):59-66. (in Russ.)
- Gorbunova EA. Purulent-inflammatory complications after ventroplasty. Issues of prevention and treatment. Izvestiya vysshikh uchebnykh zavedenii. Povolzhskii region. Meditsinskie nauki. 2011; 1(17):73-79. (in Russ.)
- Beschastnov VV, Izmailov SG, Lukoyanychev EE, Bagryantsev MV, Orlinskaya NY, Mironov AA. The activity of the processes of reparative regeneration in the conditions of local circulatory hypoxia of the near-cranium region. Novosti khirurgii. 2015; 23(6):612-618. (in Russ.) https://doi.org/10.18484/2305-0047.2015.6.612
- Mathes SJ, Steinwald PM, Foster RD, Hoffman WY, Anthony JP. Complex abdominal wall reconstruction: A comparison of flap and mesh closure. Ann. Surg. 2000; 232(4):586-682. https://doi.org/10.1097/00000658-200010000-00014
- Canakci E, Cihan M, Altinbas A, Cebeci Z, Gultekin A, Tas N. Efficacy of ultrasound-guided Transversus Abdominis Plane (TAP) block in inguinal hernia surgery and the immunomodulatory effects of proinflammatory cytokines: prospective, randomized, placebo-controlled study. Braz J Anesthesiol. 2021;71(5):538-544. https://doi.org/10.1016/j.bjane.2021.02.005
- Zhebrovskii VV, Puzako VV. Mikroflora bryushnoi polosti u bol'nykh s obshirnymi i gigantskimi posleoperatsionnymi gryzhami na fone spaechnoi bolezni. Sovremennye metody lecheniya posleoperatsionnykh gryzh i eventratsii: materialy nauchno-prakticheskoi konferentsii s mezhdunarodnym uchastiem. Alushta. 2006; 91-94. (in Russ.)
- Joseph S, Jeffrey L, Jacob C. Addition of platelet-rich plasma supports immune modulation and improved mechanical integrity in Alloderm mesh for ventral hernia repair in a rat model. J Tissue Eng Regen Med. 2021;15(1):3-13. https://doi.org/10.1002/term.3156
- Itani KM, Hur K, Kim LT, Anthony T, Berger DH, Reda D. Comparison of laparoscopic and open repair with mesh for the treatment of ventral incisional hernia: a randomized trial. Arch. Surg. 2010; 145(4):322-328. https://doi.org/10.1001/archsurg.2010.18
- Fedorov VD, Adamyan AA, Gogia BS. Treatment of large and giant postoperative ventral hernias. Khirurgiya. 2000; 1:11-14. (in Russ.)
- Vinnik YS, Chaykin AA, Nazaryants YA, Petrushko SI. A modern view of the problem of treating patients with postoperative ventral hernias. Sibirskoe meditsinskoe obozrenie. 2014; 6:5-13. (in Russ.)
- Kukosh M.V., Izmailov S.G., Lukoyanichev E.E., Evsyukov D.A. New technologies in the prevention of wound infection during prosthetic repair. Al'manakh Instituta Khirurgii im. A.V. Vishnevskogo. 2020; 1:375-376. (in Russ.)
- Lukoyanichev E.E., Izmailov S.G., Mironov A.A., Evsyukov D.A. Pharmacological stimulation of mesh implant engraftment after ventral hernia repair (clinical study). Kazanskii meditsinskii zhurnal. 2021; 1:6-11. (in Russ.)
- Edik MB, Kristopher DR, Bonnie VD, Zhuo IL, Glynis LK, Ping Y. Reconciled rat and human metabolic networks for comparative toxicogenomics and biomarker predictions. Nat Commun. 2017:8(1):14250. https://doi.org/10.1038/ncomms14250
Supplementary files




















