Solitary Fibrous Tumor of the Liver Disguised as Hepatocellular Cancer
- Authors: Ruzavin V.S.1, Gorlenko C.L.1, Shirokov V.S.1, Kalinin D.V.1, Goncharov A.B.1, Kovalenko Y.A.1, Stepanova Y.A.1, Gurmikov B.N.1
-
Affiliations:
- A.V. Vishnevsky National Medical Research Center of Surgery
- Issue: Vol 17, No 1 (2024)
- Pages: 31-40
- Section: Cases from practice
- URL: https://vestnik-surgery.com/journal/article/view/1757
- DOI: https://doi.org/10.18499/2070-478X-2024-17-1-31-40
- ID: 1757
Cite item
Full Text
Abstract
Solitary fibrous tumor (SFT) is a rare neoplasm of mesenchymal origin characterised by NAB2 and STAT6 genes fusion. SFT occurs in one of 300.000 patients who seek medical attention. Incidence rate of liver SFT is unavailable due to a minor number of existing observations. In most cases, diagnosis of SFT is incidental. Yet, in 5% of cases, it manifests as paraneoplastic syndromes. Differential diagnosis using CT and MRI is complicated due to unspecific pattern of the neoplasm. This paper presents a clinical case of a 58-year-old patient who applied for a consultation at A.V. Vishnevsky National Medical Research Center of Surgery. Due to non-specificity, the laboratory and instrumental examination findings did not allow making a correct diagnosis at the preoperative stage. Histological examination findings helped to finally diagnose solitary fibrous tumor. Based on the data obtained, we can draw a conclusion about the imperfection of existing diagnostic options and the need to identify specific criteria for solitary fibrous tumor diagnosis.
Full Text
Солитарная фиброзная опухоль СФО относится к группе редко метастазирующих новообразований мезенхимального происхождения различной локализации, характеризующихся слиянием генов NAB2 и STAT6 [1–4]. Ранее данное состояние описывалось терминами гемангиоперицитома, доброкачественная мезотелиома, плевральная фиброма [1–4].
Впервые солитарная фиброзная опухоль (solitary fibrous tumor) была описана в 1942 г. [1], однако окончательно термин СФО был принят лишь с появлением иммуногистохимического исследования (ИГХ), позволившего объединить перечисленные образования в единую нозологическую форму [1].
Согласно современными эпидемиологическим данным, СФО встречается у 1 из 300 тысяч обратившихся пациентов [5]. Несмотря на то, что солитарная фиброзная опухоль считается преимущественно опухолью плевральной локализации (СФО составляет примерно 5% от всех опухолей плевры) [6], показано, что на долю новообразований органов грудной полости приходится лишь около 30% случаев. Еще 30% СФО формируются в брюшной полости, забрюшинном пространстве и глубоких мягких тканях. Описаны случаи локализации СФО в различных висцеральных органах, оболочках головного мозга и коже. Популяционная статистика встречаемости СФО в печени недоступна, в связи с малым числом наблюдений [7].
Патогномоничная симптоматика для СФО не выявлена (отчасти в силу малого числа наблюдений). Как правило, жалобы пациента связаны непосредственно с наличием новообразования, а не его природой: так, при формировании СФО в органах грудной клетки пациента может беспокоить кашель и одышка, а при наличии объемного образования в брюшной полости оно может определяться при пальпации. Зачастую СФО является случайной находкой [4, 8].
Крайне редко (менее, чем в 5% случаев) СФО может сопровождаться развитием паранеопластических синдромов. Синдром Доже-Поттера формируется при секреции опухолевыми клетками инсулиноподобного фактора роста 2 (ИФР-2), который вызывает рефрактерную гипогликемию. Было показано, что размер опухоли является наиболее [9] значимым фактором риска формирования данного состояния. Другим паранеопластическим синдромом, характерным для СФО, является более известный синдром Пьер-Мари-Бамбергера, проявляющийся появлением “барабанных палочек” и “часовых стекол” за счет периостита концевых фаланг пальцев [10]. Механизм развития данного синдрома достоверно неизвестен.
Основным инструментом, позволяющим заподозрить у пациента солитарную фиброзную опухоль, является лучевая диагностика. И хотя патогномоничных признаков СФО как для МСКТ, так и для МРТ не существует, ряд свойств новообразования помогает предположить диагноз. Так, при компьютерной томографии СФО, как правило, выглядит как округлое образование с четкими контурами, иногда имеющее дольчатое строение. Часто образование выглядит гомогенным, однако, на снимках могут присутствовать кальцинаты, очаги миксоидной дегенерации или очаги некроза/ишемии, а также геморрагические фокусы [11, 12].
Окончательный диагноз может быть установлен только после верификации. На сегодняшний день основным методом верификации СФО является гистологическое исследование. При этом полноценная диагностика возможна только после оперативного лечения - тонкоигольная биопсия не позволяет получить необходимое количество материала, для верификации диагноза, а кор-биопсия, хотя и позволяет провести непосредственную верификацию, не обеспечивает адекватную оценку агрессивности опухоли. В полном соответствии с радиологической картиной, макроскопический вид опухоли в случае СФО представляет собой округлое образование, размерами вплоть до 40 см. Оно окружено плотной, хорошо выраженной капсулой, имеет белый, белесоватый или желтоватый цвет на разрезе, может иметь питающую ножку, в которой проходят сосуды, иметь очаги некроза или геморрагические фокусы [13]. СФО имеет несколько гистологических вариантов: липоматозный, миксоидный, богатый гигантскими клетками и анапластический. Последний считается наиболее злокачественным [14].
На момент написания данного литературного обзора, наиболее специфичным и чувствительным методом диагностики солитарных фиброзных опухолей является иммуногистохимическое исследование. Данный метод позволяет достоверно дифференцировать СФО от других новообразований, в частности мезотелиом и различных типов сарком. ИГХ в случае СФО основано на обнаружении в ядрах клеток таких маркеров, как CD34, bcl-2 и CD99 [15, 16]. Однако, использование лишь этих маркеров не обладает достаточной специфичностью. В связи с этим, в практику входит исследование экспрессии STAT6. Сам по себе маркер позволяет отличить СФО от большинства других злокачественных новообразований, однако не позволяет отличить СФО от липосаркомы, так как клетки этой опухоли в небольшом проценте случаев также способны к гиперэкспрессии STAT6. В данном случае возможна оценка экспрессии MDM2 и CDK4, не экспрессируемых в клетках СФО, но экспрессируемых в клетках липосарком [17]. Таким образом, только разработка маркерных панелей позволит достичь необходимой чувствительности и специфичности при диагностике солитарных фиброзных опухолей.
Пока не внедрен в широкую практику многообещающий метод молекулярной диагностики СФО, основанный на обнаружении продукта слияния двух генов - NAB2-STAT6. Данное исследование может быть осуществлено несколькими способами - ПЦР в реальном времени (чувствительность может снижаться из-за генных полиморфизмов), FISH и РНК-секвенирование (не позволяет обнаружить фузию на уровне интронов). Данный метод диагностики лишь внедряется в повседневную практику, ведутся активные исследования, нацеленные на выделение генетических подтипов СФО для более объективной оценки таких параметров, как риск метастазирования, рецидивирования, агрессивность опухоли и так далее, однако пока провести четкую грань между условно злокачественными и условно доброкачественными СФО не представляется возможным [18].
Что касается лечения, то при отсутствии метастатического поражения основным методом лечения является оперативное вмешательство. При успешном проведении R0-резекции, применение лучевой и химиотерапии в адъювантном режиме не показано. При R1/2-резекциях рекомендуется проведение послеоперационной лучевой терапии. Вопрос о назначении неоадъювантной лучевой терапии решается в каждом случае индивидуально. К сожалению, в отношении пациентов с местнораспространенным и метастатическим процессом сложно выделить достоверно эффективные методы консервативной терапии, в силу отсутствия доказательной базы. Рекомендуются по индивидуальным показаниям химиотерапевтические средства (например, доксорубицин в сочетании с дакарбазином) и таргетная терапия ингибиторами ангиогенеза (пазопаниб/бевацизумаб в сочетании с темозоломидом) [19–21].
Для стратификации риска рецидива и метастазирования необходимо изучение операционного материала и определение факторов риска: размер опухоли, число митозов, некроз опухоли. Дополнительным фактором риска является возраст - более 55 лет [22] (табл. 1).
Таблица 1. Модифицированная четырех-факторная модель оценки риска метастазирования солитарных фиброзных опухолей [23]
Table 1. Modified four-factor model for assessing the risk of metastasis of solitary fibrous tumors [23]
Фактор риска / The risk factor | Балл / Рoint | |
Возраст / Age | менее 55 / less than 55 | 0 |
55 и более / 55 or more | 1 | |
Размер опухоли (см) / Tumor size (cm) | менее 5 / less than 5 | 0 |
5-10 | 1 | |
10-15 | 2 | |
более 15 / more than 15 | 3 | |
Количество митозов в 10 полях зрения / The number of mitoses in 10 visual fields | 0 | 0 |
1-3 | 1 | |
4 и более / 4 or more | 2 | |
Объем некроза / The volume of necrosis | менее 10% / less than 10% | 0 |
10% и более / 10% or more | 1 | |
Степень риска / The degree of risk | Низкий / Low | 0-3 |
Промежуточный/ Intermediate | 4-5 | |
Высокий / High | 6-7 | |
После успешного лечения СФО пациент подлежит наблюдению. Пациенты низкого риска рецидива в первые три года проходят МСКТ органов брюшной полости с контрастированием каждые полгода, затем 1 раз в год до 5 лет. Пациентам среднего и высокого риска рецидива показано МСКТ органов брюшной полости каждые 3-4 месяца первые два года и затем раз в год до 5 лет. Дальнейшее рутинное выполнение МСКТ не показано [24].
Таким образом, в связи с определенными трудностями диагностики, несовершенными методами оценки и прогнозирования поведения опухоли, неразвитыми схемами консервативного лечения продвинутых стадий, СФО, хоть и является довольно редко встречающейся патологией, заслуживает внимания.
Представляем собственное наблюдение успешного лечения солитарной фиброзной опухоли VI, VII сегментов печени.
Клиническое наблюдение
В поликлинику НМИЦ хирургии им. А.В. Вишневского Минздрава России обратился пациент 58 лет с жалобами на “неприятные ощущения” в правом подреберье. Впервые с данной проблемой он обратился в поликлинику по месту жительства за несколько месяцев до этого.
Амбулаторная консультация МСКТ-исследования. Печень пропорциональная, не увеличена, краниокаудальный размер правой доли 14 см. Контуры печени ровные, нечеткие, плотность паренхимы в нативную фазу 50 ед H (рис. 1а). В S VI, VII сегментах печени субкапсулярно визуализируется округлое образование размерами 100х80х85 мм с четкими ровными контурами (рис. 1б), гетерогенно накапливающее контрастный препарат до 115 ед. H в венозную фазу сканирования (рис. 1в). Отмечается нерезкая ретракция капсулы. Внутрипеченочные желчные протоки не расширены. Лимфатические узлы ГДС мелкие. В отсроченную фазу образование практически полностью теряет контрастное вещество (рис. 1г).
Рис. 1. МСКТ-изображения органов брюшной полости с внутривенным болюсным контрастированием: а – нативная фаза, б – артериальная фаза, в – венозная фаза, г - отсроченная фаза исследования.
Fig. 1. Enhanced Multispiral CT of the abdomen: a – unenhanced phase; b – arterial phase; c – venous phase; d – delayed phase.
Заключение. Гиперваскулярное образование S VI, VII печени может соответствовать гепатоцеллюлярной карциноме.
Магнитно-резонансная томография. В VI, VII сегментах печени определяется округлое образование с четкими ровными контурами неоднородной структуры, размерами 89х70 мм, в центре определяются участки некроза (рис. 2а). При контрастировании (рис. 2 б-г) отмечается неоднородное выраженное контрастирование в артериальную фазу (рис. 2б), максимальное накопление КС отмечается в паренхиматозную. В центре образования гиперинтенсивные на Т2ВИ участки (вероятно, участки некроза) (рис. 2д).
Рис. 2. МРТ-изображения органов брюшной полости с внутривенным болюсным контрастированием (гедоксетовой кислотой); а – нативная фаза, б – артериальная фаза, в – венозная фаза г – отсроченная фаза, д – Т2-взвешенное изображение.
Fig. 2. Enhanced (Gadoxetic acid) MRI of the abdomen: a – unenhanced phase; b – arterial phase; c – venous phase; d – delayed phase; e - T2WI.
Через месяц после обращения пациент был госпитализирован в НМИЦ хирургии им. А.В. Вишневского Минздрава России для дообследования и хирургического лечения.
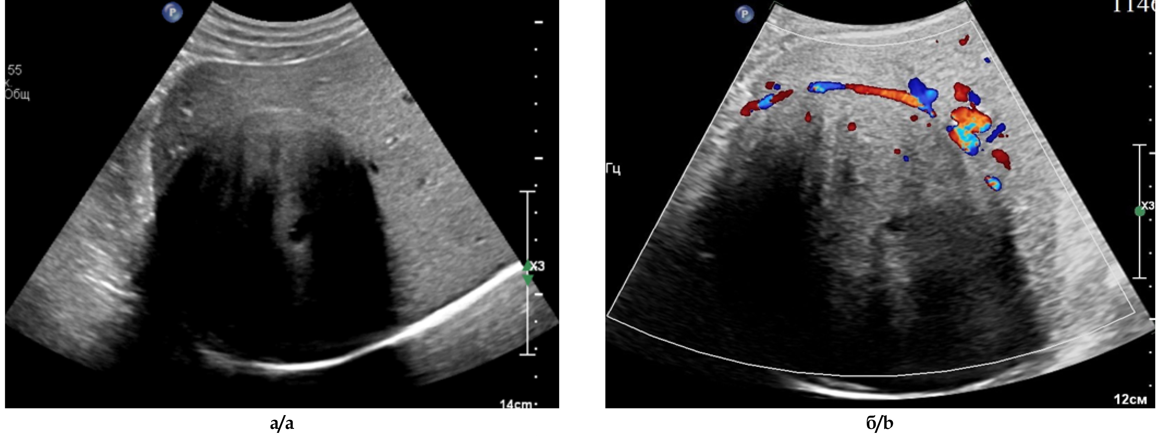
Ультразвуковое исследование брюшной полости и почек. Печень в размерах увеличена: передне-задний размер правой доли – 172,0 мм, левой доли – 70,3 мм, контуры чёткие ровные, паренхима повышенной эхогенности, отмечается незначительное затухание эхосигнала к периферии. В правой доле печени, в проекции VI-VII сегментов, визуализируется образование, размерами 94,9х79,9х95,3 мм, с четкими, ровными контурами, выраженным количеством акустических теней и, на этом фоне, значительным затуханием эхосигнала к дистальной части опухоли (рис. 3а). Структура образования солидая неоднородная, с наличием в центральном сегменте нескольких мелких кистозных полостей. Образование кровоснабжается из сегментарных ветвей правой ветви собственной печёночной артерии и воротной вены. Кровоток в структуре образования смешанного неравномерного типа, лоцируется только по переднему контуру, что обусловлено наличием слившихся акустических теней в задней части опухоли (рис. 3б).
Рис. 3. УЗ-изображения опухоли печени: а - в В-режиме, б - в режиме цветового допплеровского картирования.
Fig. 3. US of the tumor: a – B-mode, b – Doppler mode.
Патологических изменений в желчевыводящей системе, поджелудочной железе и селезёнке не выявлено. Лоцируются мелкие ангиомиолипомы обеих почек.
Заключение. Объемное образование правой доли печени (гепатоцеллюлярный рак?), однако, обращает на себя внимание наличие сливающихся акустических теней по периферии опухоли. Увеличение размеров и диффузные изменения паренхимы печени по типу жирового гепатоза. Мелкие ангиомиолипомы обеих почек.
Магнитно-резонансная томография (оценка динамики через три месяца). В VI, VII сегментах печени определяется округлое образование с четкими ровными контурами, неоднородной структуры, размерами 92х101 мм (увеличение размеров при сравнении с данными предыдущего исследованиям). В центре образования гиперинтенсивные на Т2ВИ участки (вероятно, участки некроза). На DWI в структуре солидного компонента образования отмечается умеренное ограничение диффузии (рис. 4а), ИКД несколько снижен в солидных участках новообразования (рис. 4б). Признаков инвазивного роста образования нет. Других образований в структуре печени не определяется.
Рис. 4. Результаты МРТ в режимах DWI (а) и ИКД (б).
Fig. 4. MRI in DWI (a) and ADC (b).
ЛУ в воротах печени, а также парааортальные не изменены. Патологических изменений в желчевыводящей системе, поджелудочной железе и селезёнке не выявлено.
Заключение. Образование правой доли печени, наиболее вероятно гепатоцеллюлярный рак (воспалительная псевдоопухоль?), увеличение размеров при сравнении с предыдущим исследованием.
На основе всех проведенных методов исследования пациенту был выставлен диагноз C22.0 Гепатоцеллюлярный рак VI, VII сегментов печени сТ3N0M0. По результатам онкологического и абдоминального консилиумов принято решение о выполнении вмешательства в объеме робот-ассистированной анатомической резекции VI сегмента печени, атипичной резекции VII сегмента печени с опухолью, холецистэктомии.
Выполнено оперативное вмешательство: роботассистированная анатомическая резекция VI сегмента печени, атипичная резекция VII сегмента печени с опухолью, холецистэктомия, дренирование брюшной полости. При ревизии брюшной полости определяются сращения между желчным пузырем и большим сальником. В VI-VII сегментах печени определяется опухоль, размерами 10*12 см, багрово-коричневого цвета, внепаренхиматозная часть белесовато-желтого цвета с пуповидным втяжением. Печень изменена по типу гепатоза. В ходе оперативного вмешательства границы резекции печени установлены при помощи интраоперационного ультразвукового исследования. Резецированы VI и VII сегменты печени. Брюшная полость дренирована. Полученный биоматериал отправлен на гистологическое исследование.
Ранний послеоперационный период протекал гладко. На 7-е сутки после операции у пациента была выявлена гематома поддиафрагмального пространства, ликвидированная минимально инвазивно пункцией под УЗ-контролем.
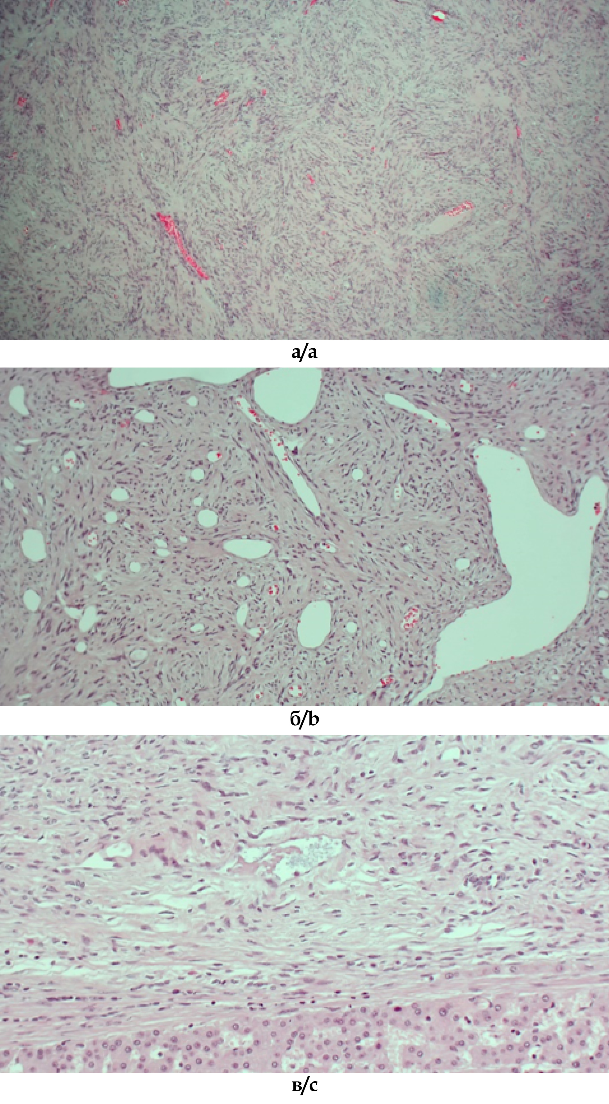
Гистологическое исследование. Опухоль представляет собой неэпителиальную веретеноклеточную структуру (рис. 5а) из беспорядочно расположенных клеток с овальными и вытянутыми некрупными мономорфными ядрами и скудной цитоплазмой, наличием многочисленных разнокалиберных сосудов (рис. 5б), местами петлистого вида, полнокровием. В опухоли чередуются гиперклеточные участки и участки с невысокой клеточностью, скоплениями коллагена. В центральной части узла имеется крупный очаг отека с наличием кистозно-расширенных сосудов. Фокусы некроза на всем протяжении отсутствуют, митозов клеток на 2 мм2 площади опухоли не обнаружено. Узел без сформированной псевдокапсулы, с участками врастания в капсулу печени (рис. 5в). В ткани печени вне опухоли – полнокровие синусоидов, слабовыраженная лимфоцитарная инфильтрация вокруг портальных трактов. По линии резекции печени элементы опухоли отсутствуют.
Рис. 5. Микропрепараты, окраска гематоксилином и эозином: а - пучковая структура опухоли, увеличение х50; б - участок опухоли с большим количеством сосудов, увеличение х100; в - граница опухоли и ткани печени, увеличение х200.
Fig. 5. Microscopy, hematoxillin & eosin: a – bundle structure of the tumor, x50; b – hypervascularized part of the tumor, x100; c – borderline of tumor and liver parenchyma, x200.
Заключение. Солитарная фиброзная опухоль VI, VII сегментов печени с низким риском прогрессирования и метастазирования (3 балла по модифицированной четырехфакторной модели оценки риска метастазирования солитарных фиброзных опухолей: пациент старше 55 лет (1 балл); количество митозов 0 в 2 мм кв. (0 баллов); размер опухоли более 10 см (2 балла); отсутствие участков некроза (0 баллов). Край резекции печени без опухолевых элементов).
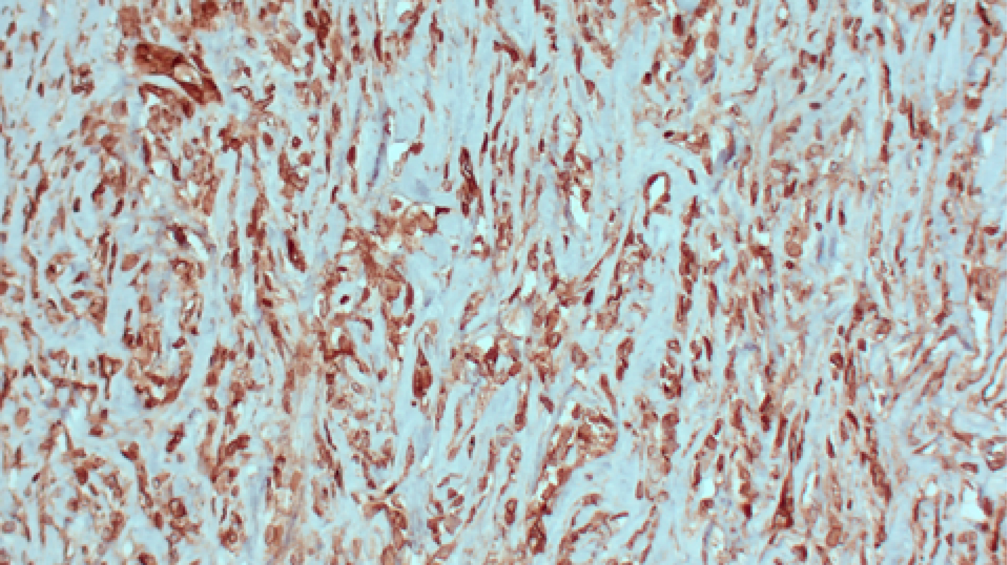
Иммуногистохимическое исследование. Диффузная цитоплазматическая экспрессия CD34, цитоплазматическая экспрессия aSMA в единичных клетках. Клетки опухоли негативны к Beta-Catenin, HMB-45, CD31, DOG1, EMA, S100 (рис. 6).
Рис. 6. Микропрепарат: диффузная цитоплазматическая экспрессия CD34, цитоплазматическая экспрессия aSMA в единичных клетках.
Fig. 6. Microscopy: diffuse cytoplasmic expression of CD34, cytoplasmic expression of aSMA in single cells.
Заключение: иммуногистохимическая картина наиболее соответствует солитарной фиброзной опухоли печени.
На двенадцатые сутки после оперативного вмешательства пациент был выписан в удовлетворительном состоянии для дальнейшего амбулаторного наблюдения и лечения у онколога и хирурга по месту жительства.
При динамическом наблюдении в течении десяти месяцев после оперативного вмешательства состояние пациента удовлетворительное, рецидива заболевания не выявлено. Прогноз для трудоспособности и жизни благоприятный.
Для постановки диагноза пациенту были выполнены исследования, в соответствии с существующими стандартами диагностики. При ультразвуковом исследовании характер кровотока солидной неоднородной опухоли печени соответствовал гепатоцеллюлярному раку. Однако, значительное количество акустических теней, с формированием выраженного затухания эхосигнала к дистальной части опухоли, не является типичным для этой морфологической формы. В качестве критериев лучевой диагностики были также выбраны следующие: наличие у образования гиперваскулярной структуры, а также активного кровоснабжения с фрагментарным ограничением диффузии по данным МСКТ и МРТ. Перечисленные признаки в наибольшей степени соответствуют гепатоцеллюлярной карциноме. Таким образом, отдельные описательные критерии данных ультразвуковой и лучевой диагностики «не укладывались» в типичную картину гепатоцеллюлярного рака. Однако, в связи с крайне низкой встречаемостью солитарной фиброзной опухоли печени в популяции, верная интерпретация полученных данных вызвала затруднения. Следует отметить, что молекулярно-генетического исследования на предмет обнаружения химерного гена NAB2-STAT6 в нашем учреждении не проводилось.
Заключение
Диагностика солитарной фиброзной опухоли печени представляет определенные технические трудности не только в связи с неспецифической клинической и радиологической картиной, но и с относительной редкостью данной локализации процесса. При этом верификация новообразования невозможна до выполнения оперативного лечения из-за недостатка биоматериала, что не позволяет адекватно оценить объем необходимого оперативного вмешательства, прогноз жизни пациента и тактику лечения в целом. Пациенту, в приведенном клиническом наблюдении, изначально был поставлен неверный диагноз, вызывавший сомнения. И несмотря на то, что это обстоятельство не повлияло на конечное решение об объеме оперативного лечения, тем не менее, увеличило время до операции, из-за необходимости переоценки выполненных исследований и проведения новых.
Представленная клиническая ситуация позволяет говорить о неполноценности существующих в литературе данных и клинических рекомендаций по диагностике и лечению солитарных фиброзных опухолей. Несмотря на то, что верификация окончательного диагноза на сегодняшний день остается за морфологическим исследованием, существует теоретическая возможность предположить диагноз, исходя из картины лучевых исследований. В связи с этим, необходима, в первую очередь, разработка критериев лучевой диагностики солитарных фиброзных опухолей, а также маркерных панелей, как основных методов неинвазивной предоперационной диагностики.
Дополнительная информация
Конфликт интересов
Авторы декларируют отсутствие явных и потенциальных конфликтов интересов, связанных с публикацией настоящей статьи.
About the authors
Vladimir S. Ruzavin
A.V. Vishnevsky National Medical Research Center of Surgery
Email: mfruzavin@yandex.ru
Ph.D., surgeon of Oncology Department of Surgical Treatment Methods
Russian Federation, MoscowCyrill L. Gorlenko
A.V. Vishnevsky National Medical Research Center of Surgery
Email: mr.gorlenko@mail.ru
resident in the specialty “Surgery”
Russian Federation, MoscowVadim S. Shirokov
A.V. Vishnevsky National Medical Research Center of Surgery
Email: vadimshirokov@yandex.ru
radiologist of Radiology and Magnetic Resonance Research Department
Russian Federation, MoscowDmitry V. Kalinin
A.V. Vishnevsky National Medical Research Center of Surgery
Email: dmitry.v.kalinin@gmail.com
Ph.D., Head of Pathological Anatomy Department
Russian Federation, MoscowAnton B. Goncharov
A.V. Vishnevsky National Medical Research Center of Surgery
Email: anton_goncharov@inbox.ru
Researcher of Oncology Department of Surgical Treatment Methods
Russian Federation, MoscowYuri A. Kovalenko
A.V. Vishnevsky National Medical Research Center of Surgery
Email: kovalenkoya@rambler.ru
M.D., Senior Researcher of Oncology Department of Surgical Treatment Methods
Russian Federation, MoscowYulia A. Stepanova
A.V. Vishnevsky National Medical Research Center of Surgery
Email: stepanovaua@mail.ru
M.D., Professor, Academic Secretary
Russian Federation, MoscowBeslan N. Gurmikov
A.V. Vishnevsky National Medical Research Center of Surgery
Author for correspondence.
Email: gurmikov@mail.ru
M.D., Head of Oncology Department of Surgical Treatment Methods
Russian Federation, MoscowReferences
- De Perrot M, Fischer S, Bründler MA, Sekine Y, Keshavjee S. Solitary fibrous tumors of the pleura. Ann Thorac Surg. 2002; 74(1): 285-293. doi: 10.1016/s0003-4975(01)03374-4.
- Barthelmeß S, Geddert H, Boltze C, Moskalev EA, Bieg M, Sirbu H, Brors B, Wiemann S, Hartmann A, Agaimy A, Haller F. Solitary fibrous tumors/hemangiopericytomas with different variants of the NAB2-STAT6 gene fusion are characterized by specific histomorphology and distinct clinicopathological features. Am J Pathol. 2014; 184(4): 1209-1218. doi: 10.1016/j.ajpath.2013.12.016.
- Lebedev DP, Panchenkov DN, Ivanov YV, Astakhov DA, Zvezdkina EA. Radioembolization as a method for the treatment of unresectable primary and metastatic liver cancer (literature review). Journal of Experimental and Clinical Surgery 2020;13(1):61-69. doi: 10.18499/2070-478X-2020-13-1-61-69
- Chen Y, Xu Z, Liu M, Xu H. Recurrent solitary fibrous tumor of the spinal cord: A case report and literature review. Clin Neuropathol. 2020; 39(2): 86-91. doi: 10.5414/NP301192.
- Davanzo B, Emerson RE, Lisy M, Koniaris LG, Kays JK. Solitary fibrous tumor. Transl Gastroenterol Hepatol. 2018; 3: 94. doi: 10.21037/tgh.2018.11.02.
- Demicco EG, Wagner MJ, Maki RG, Gupta V, Iofin I, Lazar AJ, Wang WL. Risk assessment in solitary fibrous tumors: validation and refinement of a risk stratification model. Mod Pathol. 2017; 30(10): 1433-1442. doi: 10.1038/modpathol.2017.54.
- Doyle LA, Vivero M, Fletcher CD, Mertens F, Hornick JL. Nuclear expression of STAT6 distinguishes solitary fibrous tumor from histologic mimics. Mod Pathol. 2014; 27(3): 390-395. doi: 10.1038/modpathol.2013.164.
- Pletneva VYu, Kashtanova NYu, Karmazanovsky GG, Stepanova YuA, Kalinin DV. Solitary Fibrous Tumor of the Pancreas and Inorganic with the Secondary Invasion of the Pancreas (Clinical Cases and the Literature Review). Medical visualization. 2017; 21 (3): 96–104. doi: 10.24835/1607-0763-2017-3-96-104.– EDN ZCRQYF. (in Russ.)
- Doyle LA, Tao D, Mariño-Enríquez A. STAT6 is amplified in a subset of dedifferentiated liposarcoma. Mod Pathol. 2014; 27(9): 1231-1237. doi: 10.1038/modpathol.2013.247.
- England DM, Hochholzer L, McCarthy MJ. Localized benign and malignant fibrous tumors of the pleura. A clinicopathologic review of 223 cases. Am J Surg Pathol. 1989; 13(8): 640-658. doi: 10.1097/00000478-198908000-00003.
- Lee JC, Fletcher CD. Malignant fat-forming solitary fibrous tumor (so-called "lipomatous hemangiopericytoma"): clinicopathologic analysis of 14 cases. Am J Surg Pathol. 2011; 35(8): 1177-1185. doi: 10.1097/PAS.0b013e318219cd0b.
- Han G, Zhang Z, Shen X, Wang K, Zhao Y, He J, Gao Y, Shan X, Xin G, Li C, Liu X. Doege-Potter syndrome: A review of the literature including a new case report. Medicine (Baltimore). 2017; 96(27): e7417. doi: 10.1097/MD.0000000000007417.
- Lu C, Ji Y, Shan F, Guo W, Ding J, Ge D. Solitary fibrous tumor of the pleura: an analysis of 13 cases. World J Surg. 2008; 32(8): 1663-1668. doi: 10.1007/s00268-008-9604-y. – EDN MZZOYM.
- Magdeleinat P, Alifano M, Petino A, Le Rochais JP, Dulmet E, Galateau F, Icard P, Regnard JF. Solitary fibrous tumors of the pleura: clinical characteristics, surgical treatment and outcome. Eur J Cardiothorac Surg. 2002; 21(6): 1087-1093. doi: 10.1016/s1010-7940(02)00099-4.
- Magro G, Emmanuele C, Lopes M, Vallone G, Greco P. Solitary fibrous tumour of the kidney with sarcomatous overgrowth. Case report and review of the literature. APMIS. 2008; 116(11): 1020-1025. doi: 10.1111/j.1600-0463.2008.01012.x.
- Martin-Broto J, Cruz J, Penel N, Le Cesne A, Hindi N, Luna P, Moura DS, Bernabeu D, de Alava E, Lopez-Guerrero JA, Dopazo J, Peña-Chilet M, Gutierrez A, Collini P, Karanian M, Redondo A, Lopez-Pousa A, Grignani G, Diaz-Martin J, Marcilla D, Fernandez-Serra A, Gonzalez-Aguilera C, Casali PG, Blay JY, Stacchiotti S. Pazopanib for treatment of typical solitary fibrous tumours: a multicentre, single-arm, phase 2 trial. Lancet Oncol. 2020; 21(3): 456-466. doi: 10.1016/S1470-2045(19)30826-5.
- Von Mehren M, Kane JM, Agulnik M, Bui MM, Carr-Ascher J, Choy E, Connelly M, Dry S, Ganjoo KN, Gonzalez RJ, Holder A, Homsi J, Keedy V, Kelly CM, Kim E, Liebner D, McCarter M, McGarry SV, Mesko NW, Meyer C, Pappo AS, Parkes AM, Petersen IA, Pollack SM, Poppe M, Riedel RF, Schuetze S, Shabason J, Sicklick JK, Spraker MB, Zimel M, Hang LE, Sundar H, Bergman MA. Soft Tissue Sarcoma, Version 2.2022, NCCN Clinical Practice Guidelines in Oncology. J Natl Compr Canc Netw. 2022; 20(7): 815-833. doi: 10.6004/jnccn.2022.0035.
- Park MS, Patel SR, Ludwig JA, Trent JC, Conrad CA, Lazar AJ, Wang WL, Boonsirikamchai P, Choi H, Wang X, Benjamin RS, Araujo D.M.. Activity of temozolomide and bevacizumab in the treatment of locally advanced, recurrent, and metastatic hemangiopericytoma and malignant solitary fibrous tumor. Cancer. 2011; 117(21): 4939-4947. doi: 10.1002/cncr.26098.
- Shanbhogue AK, Prasad SR, Takahashi N, Vikram R, Zaheer A, Sandrasegaran K. Somatic and visceral solitary fibrous tumors in the abdomen and pelvis: cross-sectional imaging spectrum. Radiographics. 2011; 31(2): 393-408. doi: 10.1148/rg.312105080.
- Reisenauer JS, Mneimneh W, Jenkins S, Mansfield AS, Aubry MC, Fritchie KJ, Allen MS, Blackmon SH, Cassivi SD, Nichols FC, Wigle DA, Shen KR, Boland JM. Comparison of Risk Stratification Models to Predict Recurrence and Survival in Pleuropulmonary Solitary Fibrous Tumor. J Thorac Oncol. 2018; 13(9): 1349-1362. doi: 10.1016/j.jtho.2018.05.040.
- De Pinieux G, Karanian M, Le Loarer F, Le Guellec S, Chabaud S, Terrier P, Bouvier C, Batistella M, Neuville A, Robin YM, Emile JF, Moreau A, Larousserie F, Leroux A, Stock N, Lae M, Collin F, Weinbreck N, Aubert S, Mishellany F, Charon-Barra C, Croce S, Doucet L, Quintin-Rouet I, Chateau MC, Bazille C, Valo I, Chetaille B, Ortonne N, Brouchet A, Rochaix P, Demuret A, Ghnassia JP, Mescam L, Macagno N, Birtwisle-Peyrottes I, Delfour C, Angot E, Pommepuy I, Ranchere D, Chemin-Airiau C, Jean-Denis M, Fayet Y, Courrèges JB, Mesli N, Berchoud J, Toulmonde M, Italiano A, Le Cesne A, Penel N, Ducimetiere F, Gouin F, Coindre JM, Blay JY. NetSarc/RePPS/ResSos and French Sarcoma Group- Groupe d’Etude des Tumeurs Osseuses (GSF-GETO) networks. Nationwide incidence of sarcomas and connective tissue tumors of intermediate malignancy over four years using an expert pathology review network. PLoS One. 2021; 16(2): e0246958. doi: 10.1371/journal.pone.0246958. – EDN ZWBGJS.
- Stout AP, Murray MR. Hemangiopericytoma: a vascular tumor featuring zimmermann's pericytes. Ann Surg. 1942; 116(1): 26-33. doi: 10.1097/00000658-194207000-00004.
- Tapias LF, Mercier O, Ghigna MR, Lahon B, Lee H, Mathisen DJ, Dartevelle P, Lanuti M. Validation of a scoring system to predict recurrence of resected solitary fibrous tumors of the pleura. Chest. 2015; 147(1): 216-223. doi: 10.1378/chest.14-1180.
- Versluis PJ, Lamers RJ. Localized pleural fibroma: radiological features. Eur J Radiol. 1994; 18(2): 124-125. doi: 10.1016/0720-048x(94)90278-x.
Supplementary files

















