Successful Management of a Patient with an Aneurysm of the Inferior Pancreaticoduodenal Artery Complicated by Severe Bleeding
- Authors: Sigua B.V.1,2, Kochanov I.N.1, Lataria E.L.1, Glushkov M.V.2, Asaturov A.V.2, Zertsalova E.N.2, Zakharov E.A.1,2, Globin A.V.2, Zemlyanoi V.P.1
-
Affiliations:
- North-Western State Medical University named after I.I. Mechnikov
- Adamant Medical Clinic and Hospital
- Issue: Vol 17, No 2 (2024)
- Pages: 72-77
- Section: Cases from practice
- URL: https://vestnik-surgery.com/journal/article/view/1766
- DOI: https://doi.org/10.18499/2070-478X-2024-17-2-72-77
- ID: 1766
Cite item
Full Text
Abstract
Retroperitoneal bleeding is a rare and life-threatening condition for which early diagnosis and proper treatment are of paramount importance. Currently, there are sparse literature data on this issue that provide limited info on the management of such patients. The paper presents a case of successful management of a patient with an aneurysm of the inferior pancreaticoduodenal artery, complicated by recurrent bleeding into the retroperitoneal space with severe blood loss.
Full Text
Ретроперитонеальные, или забрюшинные, гематомы являются редким и жизнеугрожающим состоянием. Наиболее частыми причинами забрюшинных гематом являются травмы живота или поясничной области, почечно-клеточная карцинома, ангиомиолипомы забрюшинного пространства, осложнения акушерских манипуляций или разрыв аневризмы аорты и ее ветвей [1, 2]. На долю диссекции аневризм аорты и ее ветвей в структуре эпидемиологии забрюшинных гематом, по данным патологоанатомов, приходится до 10,4% случаев [1].
Аневризматическая трансформация висцеральных ветвей аорты встречается довольно редко, составляя 0,02% в общей популяции [3-5]. Около 60% этих изменений приходится на аневризмы селезеночной артерии, 20% - печеночной артерии, 5,5% - на аневризмы верхней брыжеечной артерии и только в 2% случаев встречаются аневризмы панкреатодуоденальных артерий, а аневризмы нижней панкреатодуоденальной артерии являются наиболее редко описанным подтипом данной нозологии [6-8].
Стоит отметить, что аневризмы гастродуоденальной и панкреатодуоденальных артерий сопровождаются очень высоким риском диссекции, порядка 64%, и массивного забрюшинного кровотечения [9]. До внедрения в практику эндоваскулярных методов хирургического лечения, изменения подходов к коррекции кровопотери и гиповолемии, показатели летальности при открытых оперативных вмешательствах приближались к 26%, а летальность при консервативной терапии пациентов с ретроперитонеальными кровотечениями на фоне диссекции аневризмы панкреатодуоденальной артерии, составляли порядка 80% [9-11]. К сожалению, причины возникновения забрюшинных гематом зачастую невозможно установить клинически. Однако развитие и широкое распространение неинвазивных, высокоточных методов диагностики позволило в этом вопросе продвинуться вперед. Так, выполнение МСКТ – ангиографии аорты и ее ветвей помогает четко установить причину возникновения кровотечения и локализовать аневризму [1, 11].
Клинический случай
Приводим клиническое наблюдение из собственной практики. Пациент П., 55 лет, поступил в клинику ФГБОУ ВО СЗГМУ им. И.И. Мечникова Минздрава России 11.10.2021 г. в плановом порядке с диагнозом: «Аневризма нижней панкреатодуоденальной артерии. Состояние после забрюшинного кровоизлияния из аневризмы нижней панкреатодуоденальной артерии от июля 2021 г.».
Из анамнеза известно, что в июле 2021 г. пациент отметил появление головокружения, слабости, пресинкопального состояния. В анамнезе гипертоническая болезнь, нарушение толерантности к глюкозе, хронический гастрит, вне обострения. Постоянный прием препаратов из класса антикоагулянтов, дезагрегантов – отрицает. Бригадой скорой медицинской помощи был доставлен в дежурный хирургический стационар, где по результатам мультиспиральной компьютерной томографии органов брюшной полости и забрюшинного пространства без в/в контрастирования выявлена забрюшинная гематома 125х30х45 мм, прилегающая к нисходящей части двенадцатиперстной кишки. Также пациенту была выполнена видеоэзофагогастродуоденоскопия – данных за кровотечение из верхних отделов желудочно-кишечного тракта, наличие эрозивно-язвенного или неопластического поражения пищевода, желудка, двенадцатиперстной кишки не получено. Пациент получал консервативную терапию, на фоне которой рецидивов кровотечения не отмечено, был выписан.
На амбулаторном этапе обратился в «Адамант Медицинская Клиника», где на протяжении последних лет проходит диспансерное наблюдение. Учитывая, что источник кровотечения не был установлен, было принято решение выполнить ангио-МСКТ брюшного отдела аорты и ее ветвей, что и выполнено 25.08.2021 г., по результатам которого выявлена аневризма нижней панкреатодуоденальной артерии. С целью уточнения диагноза рекомендовано выполнение ангиографии аорты и артерий брюшной полости, с последующим решением вопроса о необходимости оперативного лечения (эмболизации) (рис. 1, 2).
Рис. 1. МСКТ-ангиография брюшной аорты и ее ветвей.
Fig. 1. MSCT angiography of the abdominal aorta and its branches.
Рис. 2. 3D-реконструкция. МСКТ-ангиография брюшной аорты и ее ветвей.
Fig 2. 3D-reconstruction. MSCT angiography of the abdominal aorta and its branches.
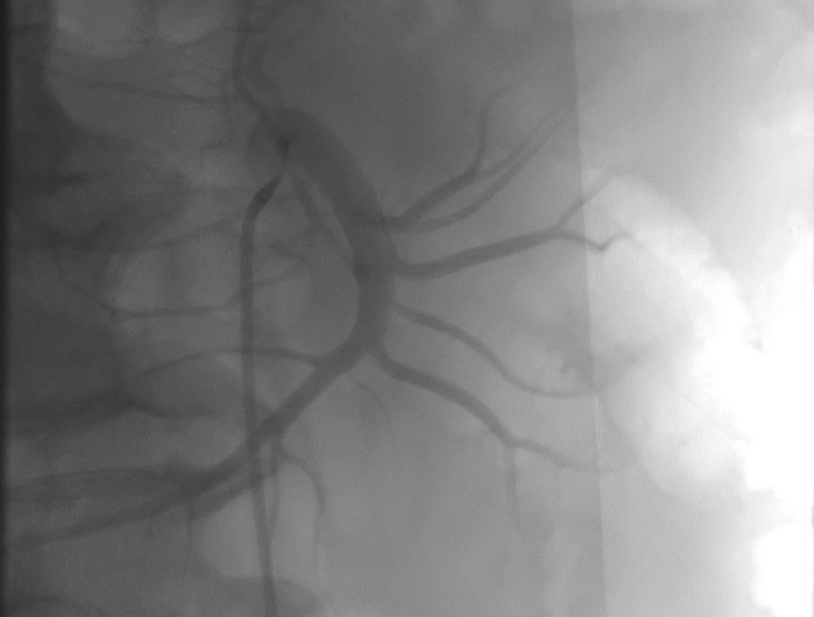
В данную госпитализацию, 12.10.2021 г., пациенту выполнена ангиография: определяется неровность контура средней трети ветви второго порядка нижней панкреатодуоденальной артерии с формированием мешотчатой аневризмы 3х5 мм (рис. 3). По результатам выполненной ангиографии, пациенту показано выполнение эмболизации ветви нижней панкреатодуоденальной артерии в плановом порядке.
Для выполнения планового оперативного лечения пациент повторно госпитализирован 22.11.2021 г. в клинику СЗГМУ им И.И. Мечникова. 25.11.2021 г. была предпринята попытка эмболизации второй ветви нижней панкреатодуоденальной артерии с аневризмой из лучевого доступа слева. В связи с изгибом верхней брыжеечной артерии в месте отхождения панкреатодуоденальной артерии, завести коронарный проводник технически было невозможно (рис. 3). Учитывая большой объем введенного контрастного вещества, длительность операции, принято решение выполнить эмболизацию нижней панкреатодуоденальной артерии.
Рис. 3. Ангиография верхней брыжеечной артерии.
Fig. 3. Angiography of the superior mesenteric artery.
26.11.202 г. из правого бедренного доступа выполнена катетеризация правой бедренной артерии с последующей катетеризацией и эмболизацией нижней панкреатодуоденальной артерии дистальнее и проксимальнее аневризмы.
Рис. 4. Контрольная ангиография (визуализирована эмболизированная нижняя панкреатодуоденальная артерия).
Fig. 4. Control angiography (the embolized inferior pancreaticoduodenal artery is visualized).
При контрольной ангиографии — антеградного кровотока нет (рис. 4). В удовлетворительном состоянии пациент выписан 29.11.2021 г. на амбулаторное лечение. Спустя 1 год пациент полностью компенсирован по витальным функциям, периодически посещает врача терапевта с целью диспансерного наблюдения. 01.11.2022 г. пациент госпитализирован в «Адамант Медицинская Клиника» для выполнения плановой холецистэктомии по поводу хронического калькулезного холецистита. При расширенном предоперационном обследовании других отклонений от нормы, кроме холелитиаза, не было выявлено. При контрольной МСКТ органов брюшной полости визуализирована эмболизированная аневризма нижней панкреатодуоденальной артерии без признаков рецидива (рис. 5).
Рис. 5. Контрольная МСКТ органов брюшной полости через 1 год.
Fig. 5. Control MSCT of the abdominal organs after 1 year.
При лапароскопии признаков ранее перенесённого кровотечения в забрюшинное пространство (спаечный процесс, нарушение синтопии органов) не выявлено.
Обсуждение
Наиболее часто аневризмы панкреатодуоденальных артерий выявляются при развитии связанных с ними осложнений – разрывов, тромбозов и эмболий [12].
Наиболее частой причиной развития аневризм данной локализации являются врожденные заболевания (фибромышечная дисплазия) и воспалительные процессы в панкреатобилиарной зоне, приводящие к некрозу стенки сосуда. Более редкой причиной развития аневризм является травма или васкулит [12-14].
Клинические проявления аневризм данной локализации крайне неспецифичны. Наиболее часто возникают боли в животе, тошнота, рвота. При развитии разрыва аневризмы преобладает клиника кровотечения в забрюшинное пространство, желудочно-кишечный тракт, гемобилии [15, 16]. Следует отметить, что вероятность развития разрыва аневризмы панкреатодуоденальной артерии не зависит от ее диаметра [17].
Большинство пациентов с аневризмами панкреатодуоденальных артерий оперируют в экстренном порядке с диагнозом забрюшинной гематомы, что свидетельствует о трудностях дооперационной диагностики. Применение КТ-ангиографии существенно расширило возможности диагностики аневризм данной локализации. Данный метод позволяет получить наиболее полную информацию об аневризме, дифференцировать ее от других новообразований указанной локализации [18].
Необходимость хирургического лечения аневризм панкреатодуоденальных артерий не вызывает сомнений. При естественном течении заболевания разрыв аневризмы наблюдается в 75% наблюдений, а летальность при этом составляет 20%. Хирургические методы включают в себя резекцию, эндоаневризморрафию и лигирование [19].
Развитие методов рентгенэндоваскулярной хирургии обеспечило возможность малоинвазивной обтурации приводящей и отводящей артерий аневризмы. Эмболизация спиралями показала хорошие отдаленные результаты. В дополнении к спиралям можно использовать тромбин, цианоакрилат. Однако, извитость нижней панкреатодуоденальной артерии создает определенные трудности в выполнении данного вмешательства [19].
Заключение
Приведенный клинический случай позволяет продемонстрировать современные возможности диагностики редкого заболевания, а также приоритетность рентгенэндоваскулярной эмболизации в лечении пациентов с аневризмами панкреатодуоденальных артерий.
Дополнительная информация
Конфликт интересов
Авторы декларируют отсутствие явных и потенциальных конфликтов интересов, связанных с публикацией настоящей статьи.
Согласие пациента
Пациент добровольно подписал информированное согласие на публикацию персональной медицинской информации в обезличенной форме.
About the authors
Badri V. Sigua
North-Western State Medical University named after I.I. Mechnikov; Adamant Medical Clinic and Hospital
Author for correspondence.
Email: dr.sigua@gmail.com
ORCID iD: 0000-0002-4556-4913
SPIN-code: 5571-8893
M.D., Professor, Professor of the Department of Faculty Surgery named after I.I. Grekov, Deputy Chief Physician for Surgery
Russian Federation, Saint Petersburg; Saint PetersburgIgor N. Kochanov
North-Western State Medical University named after I.I. Mechnikov
Email: igor.kochanov@szgmu.ru
ORCID iD: 0000-0002-3499-1792
SPIN-code: 5944-6425
Ph.D., Associate Professor, Head of the Department of X-ray Endovascular Methods of Diagnosis and Treatment
Russian Federation, Saint PetersburgElguja L. Lataria
North-Western State Medical University named after I.I. Mechnikov
Email: Elgudzha.Latariya@szgmu.ru
ORCID iD: 0000-0002-9569-8485
SPIN-code: 7376-9672
Ph.D., Associate Professor, Vice-rector for Clinical Work, Chief Physician of the clinics
Russian Federation, Saint PetersburgMaxim V. Glushkov
Adamant Medical Clinic and Hospital
Email: maximglushkov09@gmail.com
ORCID iD: 0009-0005-4692-6321
surgeon, Adamant Medical Clinic
Russian Federation, Saint PetersburgArtyom V. Asaturov
Adamant Medical Clinic and Hospital
Email: asaturov@bk.ru
ORCID iD: 0000-0002-6220-1241
SPIN-code: 8285-0410
Head of the Surgical Department, Adamant Medical Clinic
Russian Federation, Saint PetersburgElena N. Zertsalova
Adamant Medical Clinic and Hospital
Email: zertsalova@rambler.ru
ORCID iD: 0009-0007-0510-9696
general practitioner, Adamant Medical Clinic
Russian Federation, Saint PetersburgEvgeny A. Zakharov
North-Western State Medical University named after I.I. Mechnikov; Adamant Medical Clinic and Hospital
Email: dr.zakharovea@gmail.com
ORCID iD: 0000-0002-2070-7420
SPIN-code: 2649-1050
Ph.D., Surgeon of the Surgical Department №2
Russian Federation, Saint Petersburg; Saint PetersburgAnton V. Globin
Adamant Medical Clinic and Hospital
Email: antonglobin@gmail.com
ORCID iD: 0009-0005-5314-8708
Ph.D., Chief Physician, Adamant Medical Clinic
Russian Federation, Saint PetersburgVyacheslav P. Zemlyanoi
North-Western State Medical University named after I.I. Mechnikov
Email: zeml.spb@mail.ru
ORCID iD: 0000-0003-2329-0023
M.D., Professor, Head of the Department of Faculty Surgery named after I.I. Grekov, Dean of the Surgical Faculty
Russian Federation, Saint PetersburgReferences
- Daliakopoulos SI. Spontaneous Retroperitoneal Hematoma: A Rare Devastating Clinical Entity of a Pleiada of Less Common Origins. Journal Surg Tech Case Report. 2011; 3: 1: 8–9. doi: 10.4103/2006-8808.78462
- Morgentaler A, Belville JS, Tumeh SS, Richie JP, Loughlin KR. Rational approach to evaluation and management of spontaneous perirenal hemorrhage. Surg Gynecol Obstet. 1990; 170: 2: 121–125.
- Vandy FC, Sell KA, Eliason JL, Coleman DM, Rectenwald JE, Stanley JC. Pancreaticoduodenal and gastroduodenal artery aneurysms associated with celiac artery occlusive disease. Ann Vasc Surg. 2017; 41: 32-40. doi: 10.1016/j.avsg.2016.09.018.
- Jacobs CR, Crawford JD, Fatima J. Hybrid management approach for superior mesenteric artery and branch aneurysms. J Vasc Surg Cases Innov Tech. 2019; 5: 4: 521-524. doi: 10.1016/j.jvscit.2019.10.002.
- Bonardelli S, Spampinato B, Ravanelli M, Cuomo R, Zanotti C, Paro B, Nodari F, Barbetta I, Portolani N. The role of emergency presentation and revascularization in aneurysms of the peripancreatic arteries secondary to celiac trunk or superior mesenteric artery occlusion. J Vasc Surg. 2020; 72: 1: 46S-55S. doi: 10.1016/j.jvs.2019.11.051.
- Corey MR, Ergul EA, Cambria RP, Patel VI, Lancaster RT, Kwolek CJ, Conrad MF. The presentation and management of aneurysms of the pancreaticoduodenal arcade. J Vasc Surg. 2016; 64: 6: 1734-1740. doi: 10.1016/j.jvs.2016.05.067
- Paty PS, Cordero JA, Darling RC, Chang BB, Shah DM, Leather RP. Aneurysms of the pancreaticoduodenal artery. J Vasc Surg. 1996; 23: 4: 710-713. doi: 10.1016/s0741-5214(96)80054-1
- Kitaoka T, Deguchi J, Kamiya C, Suzuki J, Sato O. Pancreaticoduodenal artery aneurysm formation with superior mesenteric artery stenosis. Ann Vasc Dis. 2014; 7: 3: 312-315. doi: 10.3400/avd.cr.14-00040.
- Murata S, Tajima H, Fukunaga T, Abe Y, Niggemann P, Onozawa S, Kumazaki T, Kuramochi M, Kuramoto K. Management of pancreaticoduodenal artery aneurysms: results of superselective transcatheter embolization. AJR Am J Roentgenol. 2006; 187: 3: 290-298. doi: 10.2214/AJR.04.1726.
- Iyomasa S, Matsuzaki Y, Hiei K, Sakaguchi H, Matsunaga H, Yamaguchi Y. Pancreaticoduodenal artery aneurysm: a case report and review of the literature. J Vasc Surg. 1995; 22: 2: 161-166. doi: 10.1016/s0741-5214(95)70111-7.
- Coll DP, Ierardi R, Kerstein MD, Yost S, Wilson A, Matsumoto T. Aneurysms of the pancreaticoduodenal arteries: a change in management. Ann Vasc Surg. 1998; 12: 3: 286-291. doi: 10.1007/s100169900155.
- Stanley JC, Wakefield TW, Graham LM, Whitehouse WM, Zelenock GB, Lindenaure SM. Clinical importance and management of splanchnic artery aneurysms. J Vasc Surg. 1986; 3: 836-840. doi: 10.1016/0741-5214(86)90059-5
- Tori M, Nakahara M, Akamatsu H, Ueshima S, Shimizu M, Nakao K. Significance of intraoperative monitoring of arterial blood flow velocity and hepatic venous oxygen saturation for performing minimally invasive surgery in a patient with multiple calcified pancreaticoduodenal aneurysms with celiac artery occlusion. J Hepatobiliary Pancreat Surg. 2006; 13: 5: 472-476. doi: 10.1007/s00534-006-1105-5 – EDN MBOZJN.
- Takeuchi H, Isobe Y, Hayashi M, Matsui T, Kinoshita T, Shimada A, Miyazawa M, Oishi T, Ikeuchi S, Kubochi K, Shima S. Ruptured pancreaticoduodenal artery aneurysm with acute gangrenous cholecystitis: a case report and review of the literature. Hepatogastroenterology. 2004; 51: 56: 368-371.
- Neschis DG, Safford SD, Golden MA. Management of pancreaticoduodenal artery aneurysms presenting as catastrophic intraabdominal bleeding. Surgery. 1998; 123: 1: 8-12.
- Chiesa R, Astore D, Guzzo G, Frigerio S, Tshomba Y, Castellano R, de Moura MR, Melissano G. Visceral artery aneurysms. Ann Vasc Surg. 2005; 19: 1: 42-48. doi: 10.1007/s10016-004-0150-2
- Ducasse E, Roy F, Chevalier J, Massouille D, Smith M, Speziale F, Fiorani P, Puppinck P. Aneurysm of the pancreaticoduodenal arteries with a celiac trunk lesion: current management. J Vasc Surg. 2004; 39: 4: 906-911. doi: 10.1016/j.jvs.2003.09.049.
- De Moya MA, Reisner AT, LaMuraglia GM, Kalva SP. Case records of the Massachusetts General Hospital. Case 1-2008. A 45-year-old man with sudden onset of abdominal pain and hypotension. N Engl J Med. 2008; 10; 358: 2: 178-186. doi: 10.1056/NEJMcpc0707327.
- Parfenov IP, Shubin AA, Vardanyan AV, Dolidze DD, Kovantsev SD. Experience of successful surgical treatment of pancreatoduodenal artery aneurysm in combination with abdominal trunk occlusion. Zhurnal im. N.I. Pirogova. 2021; 4: 64-69. (in Russ.) doi: 10.17116/hirurgia202104164
Supplementary files
















