Effect of Programmed Sanitation on the Dynamics of Cytological Picture in the Surgical Treatment of Soft Tissue Phlegmon
- Authors: Sergeev V.A.1, Glukhov A.A.2, Ostroushko A.P.2, Aralova M.V.2
-
Affiliations:
- Orel State University named after I.S. Turgenev
- Voronezh State Medical University named after N.N. Burdenko
- Issue: Vol 17, No 1 (2024)
- Pages: 9-16
- Section: Original articles
- URL: https://vestnik-surgery.com/journal/article/view/1756
- DOI: https://doi.org/10.18499/2070-478X-2024-17-1-9-16
- ID: 1756
Cite item
Full Text
Abstract
The aim of the study was to investigate cytological features of healing processes in patients with soft tissue phlegmons using programmed sanitation technologies.
Materials and methods. The study involved 245 patients with purulent phlegmon of soft tissues of various localizations. The patients were randomized into two groups. The patients of the main group (n=127) were exposed to programmed sanitation with AMP-01 device in the postoperative period. After the phlegmon opening and surgical treatment, tubular drains were installed into the wound cavity, the wound was sutured tightly, and the drains were removed through separate incisions and connected to the device. The device was used to detect the parameters of sanitation (speed, time, volume during injection or aspiration). The patients of the comparison group (n=118) received conventional local treatment after surgery. The dynamics of the healing processes of purulent wounds was assessed by the cytological examination findings of the material taken during surface or puncture biopsy.
Results. A higher rate of cellular reactions was registered in patients of the main group. There was a statistically significant faster decrease in degenerative forms of neutrophils, higher values of the regenerative-degenerative index (p<0.001) indicating an acceleration of the relief of the inflammatory process. In addition, in patients of the main group, the appearance of macrophages and fibroblasts (p<0.001) was statistically significantly observed at an earlier time, which evidenced a higher rate of proliferative processes; on the 9th day of the postoperative period the cytological picture corresponded to the regenerative type of cytograms. In patients of the comparison group, a prolonged inflammation and regeneration phase was recorded.
Conclusion. Cytological examination of smears in patients with soft tissue phlegmons exposed to programmed sanitation revealed a higher rate of cellular reactions, which contributed to a reduced inflammation phase and accelerated wound reparative processes.
Full Text
Лечение гнойно-воспалительных заболеваний мягких тканей является одной из самых сложных и трудноразрешимых проблем практической хирургии [1, 2, 3]. По оценкам отечественных и зарубежных экспертов, актуальность данной проблемы в современных условиях связана не только с широким распространением случаев хирургической инфекции, но и с трудностями ее диагностики, вариабельностью и упорством клинического течения, сложностью лечения и непредсказуемостью прогноза [2, 4, 5, 6, 7]. Ежегодно в США инфекции кожи и мягких тканей становятся причиной обращения свыше 3 миллионов человек, более 500 000 больных из них нуждаются в госпитализации, на лечение которых тратят свыше 10 млрд долларов [8, 9, 10]. В последние десятилетия успехи молекулярно-клеточной биологии позволили глубже понять основные механизмы заживления ран. Доказано, что процесс заживления при любом ранении является генетически детерминированным, вначале всегда наступает фаза воспаления, которую сменяют фазы регенерации, реорганизации рубца и эпителизации [11, 12, 13].
Все более актуальным на современном этапе становится решение проблем по прогнозированию течения процессов репарации измененных тканей и разработке методов оценки динамики заживления раневых дефектов [14, 15, 16]. Цитологическое исследование остается быстрым и объективным методом, позволяющим достоверно оценить эффективность проводимого лечения и оптимизировать лечебную тактику [17, 4, 18, 19, 20]. Выделяют 6 типов цитологической картины по В.Ф. Камаеву (1954), соответствующих различным стадиям раневого процесса: дегенеративно-некротический, дегенеративно-воспалительный, воспалительный, воспалительно-регенераторный, регенераторно-воспалительный и регенераторный [4]. Для полной оценки картины заживления раны вычисляют по формуле регенераторно-дегенеративный индекс (РДИ) [4]. Значение РДИ меньше единицы свидетельствует о выраженном воспалительном процессе в ране, а если величина этого показателя становится больше единицы, то это означает переход процесса заживления в фазу регенерации. Цитологическая верификация клеточных реакций при традиционном лечении гнойных ран достаточно хорошо освещена в предшествующих исследованиях [21, 4, 7, 20]. Однако публикаций по цитологической оценке процессов заживления гнойных раневых дефектов при применении программируемых санаций нами не найдено, что и явилось предметом нашего исследования.
Цель
Изучить результаты цитологического исследования процессов заживления при хирургическом лечении флегмон мягких тканей с применением программируемых санационных технологий.
Материал и методы
Анализированы результаты лечения 245 больных с гнойными флегмонами мягких тканей различных локализаций за период 2011-2021 годы. Данное исследование проводилось с обязательным оформлением информированного согласия пациентов и отвечало этическим принципам Хельсинкской декларации всемирной медицинской ассоциации (2013). Определены критерии включения: возраст больных старше 18 лет с наличием флегмон мягких тканей конечностей, туловища или шеи. Критерии исключения: обширные дефекты кожи в зоне операции, беременность, сахарный диабет, онкологическая патология, недостаточность органов кровообращения и дыхания III степени.
По способу санации гнойных ран в послеоперационном периоде больные были рандомизированы на две группы. В основной группе (n=127) пациентам после вскрытия флегмоны и хирургической обработки в раневую полость устанавливали дренажи, выводили их через отдельные разрезы, на рану накладывали глухие швы, дренажи подсоединяли к аспиратору АМП-01 (патент на изобретение № 176572 от 23.01.2018 г.), с помощью которого проводили программируемые санации. Параметры санации гнойной полости (скорость, время, объем используемых растворов при ирригации и аспирации) устанавливали в зависимости от индивидуальных особенностей конкретного клинического случая. Программируемую санацию осуществляли каждые 3 часа, чередуя ее с периодом вакуумирования - 1 час. Заданный уровень вакуума в гнойной полости (80-100 мм рт. ст.) поддерживали при помощи встроенного датчика давления. Пациенты группы сравнения (n=127) в послеоперационном периоде получали традиционное местное лечение с применением растворов йодофоров, мазей на водорастворимой основе. Базисная терапия в группах исследования была одинаковой.
В основной группе средний возраст больных (М±σ) составлял 59 ± 14 лет, в группе сравнения – 60 ± 15 лет. В основной группе было 68 мужчин и 59 женщин, в группе сравнения - 62 и 56, соответственно. Таким образом, статистически значимые различия между группами исследования по полу и возрасту отсутствовали, что позволило судить об однородности групп (p = 0,845 и p = 0,875, соответственно). Распределение пациентов с флегмонами мягких тканей в исследуемых группах, в зависимости от их локализации, представлено в таблице 1.
Таблица 1. Распределение пациентов по нозологическим формам в группах исследования
Table 1. Distribution of patients by nosological form in the study groups
Нозологическая форма / Nosological form | Основная группа / Main group n (%) | Группа сравнения / Comparison Group n (%) | Всего / Total n (%) |
Флегмона туловища / Trunk phlegmon | 10 (7,9) | 8 (6,8) | 18 (7,3) |
Флегмона предплечья / Forearm phlegmon | 33 (25,9) | 29 (24,6) | 62 (25,3) |
Флегмона плеча / Shoulder phlegmon | 11 (8,7) | 13 (11,1) | 24 (9,8) |
Флегмона стопы / Phlegmon of the foot | 13 (10,2) | 15 (12,7) | 28 (11,4) |
Флегмона голени / Lower leg phlegmon | 38 (29,9) | 29 (24,6) | 67 (27,3) |
Флегмона бедра / Phlegmon of the thigh | 13 (10,2) | 13 (11,1) | 26 (10,6) |
Флегмона шеи / Neck phlegmon | 9 (7,1) | 8 (6,8) | 17 (6,9) |
Всего / Total | 127 (100,0) | 118 (100,0) | 245 (100,0) |
Согласно независимому критерию χ2-Пирсона (p = 0,953), зависимость распределения пациентов по нозологической форме в группах исследования не обнаружена.
Для оценки процесса заживления гнойных ран после хирургической санации флегмон мягких тканей использовали цитологический метод исследования. В основной группе исследования забор клеточно-тканевых элементов производили методом пункционной биопсии (Каем Р.И., Карлов В.А., 1977; Сергель О.С., Гончарова З.Н., 1990). В группе сравнения применяли методику поверхностной биопсии по М.П. Покровской и М.С. Макарову (1942) в модификации М.Ф. Камаева (1954), когда забор материал осуществляли шпателем или ручкой хирургического скальпеля, путем легкого соскоба с поверхности гнойной раны. Материал затем наносили на предметное стекло и окрашивали по способу Романовского-Гимзе. С одного и того же участка раны последовательно брали 4-5 мазков. Цитологическое исследование мазков с поверхности ран осуществляли в первые сутки и, далее, на 3, 5, 7, 9-е сутки. Мазки изучали при микроскопии с объективом ×40, при этом подсчитывали форменные элементы и выводили средний показатель по 10 полям зрения. Полученное значение выражали в виде процентов на 100 сосчитанных клеток. Использовали световой микроскоп Axio A1 (Zeiss, Германия) c набором принадлежностей.
Работа выполнена в дизайне проспективного одноцентрового рандомизированного контролируемого исследования. Статистическая обработка полученных данных проводилась с использованием программы SPSS Statistics 25 (IBM). Для исследования взаимосвязи между качественными признаками строили таблицы сопряженности и рассчитывали критерий χ2-Пирсона, или точный критерий Фишера. Оценка изменения динамики количественных показателей проводилась с применением дисперсионного анализа, с повторными измерениями, заданием фактора времени и группы. Статистически значимыми считались различия при значении вероятности меньшей 0,05, при двухсторонней критической области.
Результаты
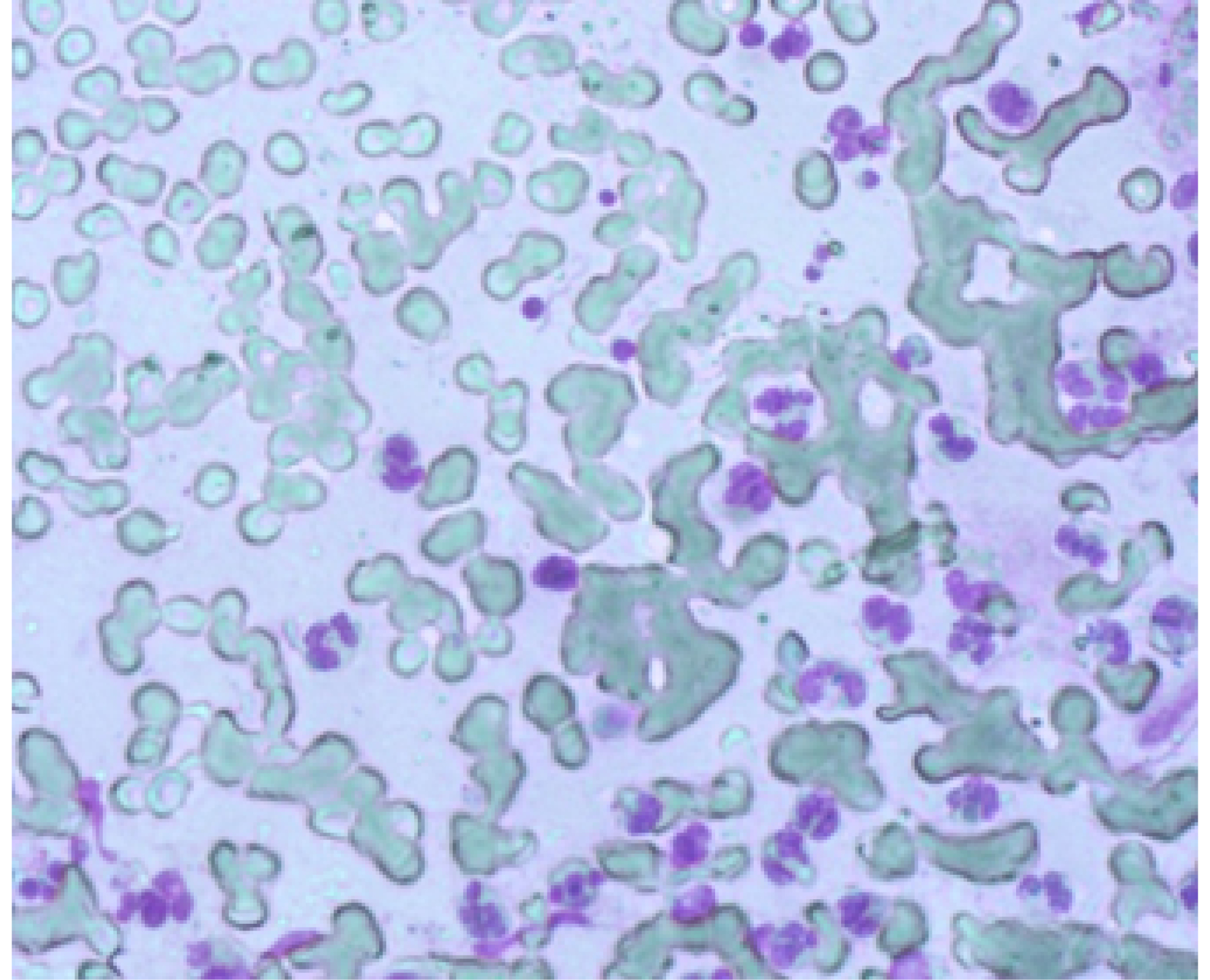
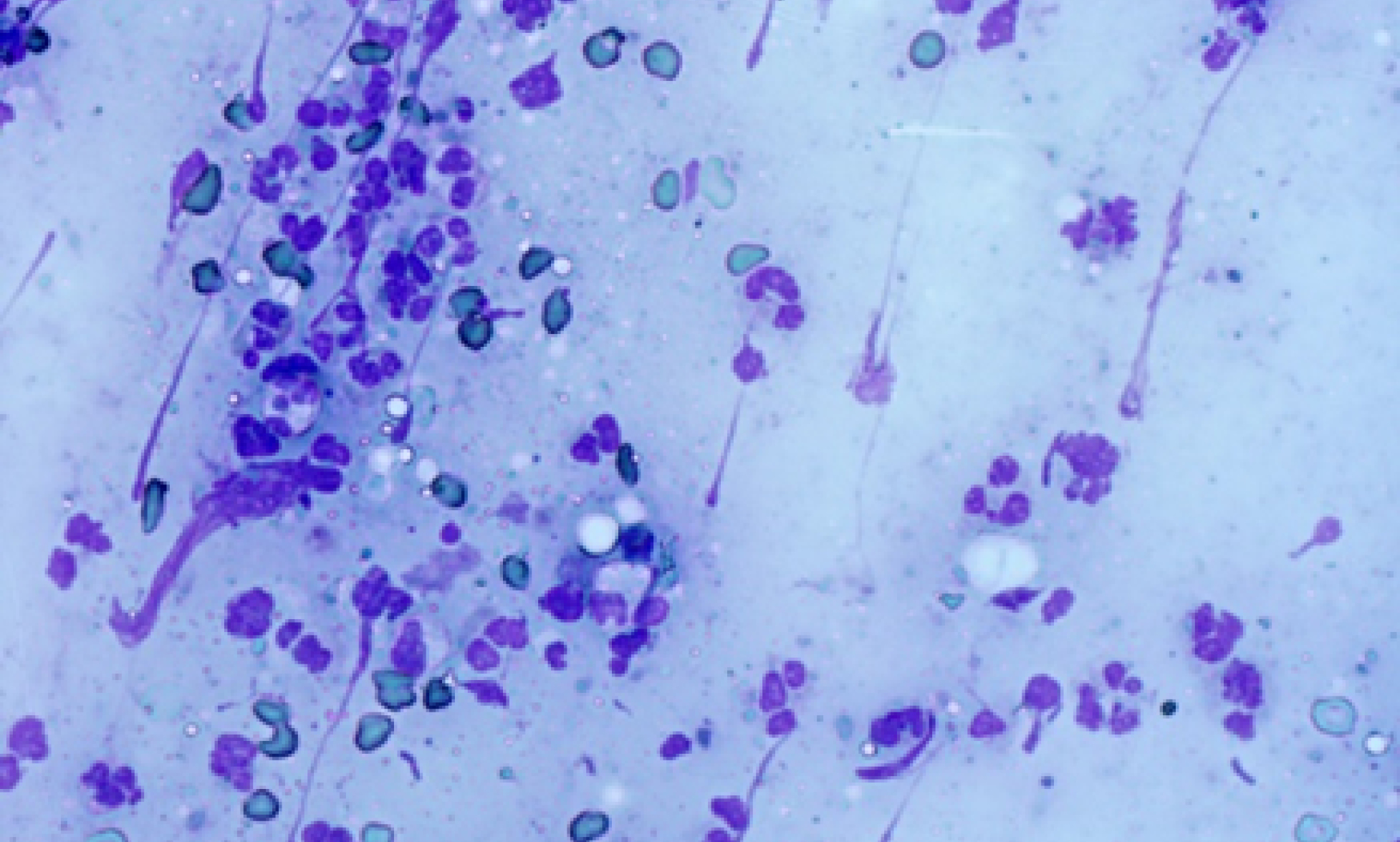
На момент рандомизации в обеих группах исследования у пациентов с флегмонами мягких тканей цитологическая картина характеризовалась дегенеративным типом клеточной реакции. При этом преобладали разрушенные нейтрофилы (ДН), имели место молодые формы нейтрофилов. Значения регенеративно-дегенеративного индекса (РДИ) были значительно ниже единицы. В мазках наблюдали в большом количестве микрофлору, элементы некротической ткани, промежуточное белковое вещество, имеющее зернистый вид. На рисунке 1 представлен фрагмент цитологического мазка с поверхности раны у пациентов с флегмонами мягких тканей на момент рандомизации в 1-е сутки исследования.
Рис. 1. Фрагмент цитограммы мазка с поверхности раны у пациента с флегмоной мягких тканей на 1-е сутки. Преобладают дегенеративные полиморфноядерные лейкоциты, наблюдается в большом количестве микрофлора, элементы некротической ткани, промежуточное белковое вещество, имеющее зернистый вид. Окраска по Романовскому-Гимзе. Увеличение × 400.
Fig. 1. Fragment of a cytogram of a smear from the wound surface in patients with soft tissue phlegmon on day 1. Degenerative polymorphonuclear leukocytes predominate, microflora, elements of necrotic tissue, an intermediate protein substance having a granular appearance is observed in a large number. Coloring according to Romanovsky-Gimse. Magnification × 400.
Цитологическая картина у пациентов с флегмонами мягких тканей в группах исследования на момент рандомизации представлена в таблице 2.
Таблица 2. Цитологическая картина у пациентов с флегмонами мягких тканей в группах исследования на момент рандомизации, в % на 100 клеток
Table 2. Cytological picture in patients with soft tissue phlegmon in the study groups at the time of randomization, in % per 100 cells
Тип клеток / Cell Types | Основная группа / Main group | Группа сравнения / Comparison Grou | p-значение t-критерия / p-value t-criteria | ||
M±σ, в % на 100 клеток / M±σ, in % per 100 cells | Me[Q1;Q3] | M±σ, в % на 100 клеток / M±σ, in % per 100 cells | Me[Q1;Q3] | ||
ПЯН / RN | 1.8±0.2 | 1.82 [1.77;1.87] | 1.7±0.2 | 1.74 [1.64;1.81] | 0,682 |
СЯН / SN | 15.2±0.6 | 15.19[15.07;15.32] | 16.2±0.4 | 16.16[16.07;16.25] | 0,646 |
ДН / DN | 64.5±9.3 | 65.88[63.65;68.13] | 62.2±6.2 | 68.82[67.57;70.09] | 0,022 |
РДИ / RDI | 0.2±0.1 | 0.18 [0.16;0.21] | 0.2±0.1 | 0.18 [0.16;0.21] | 0,976 |
Л / L | 0.4±0.2 | 0.39 [0.35;0.43] | 0.2±0.1 | 0.17 [0.15;0.19] | 0,000 |
Примечание / Note: ПЯН - палочкоядерные нейтрофилы, СЯН - сегментоядерные нейтрофилы, ДН - дегенеративные нейтрофилы, РДИ - регенераторно-дегенеративный индекс, Л - лимфоциты / RN - rod-shaped neutrophils, SN - segmented neutrophils, DN - degenerative neutrophils, RDI - regenerative-degenerative index, L - lymphocytes
Параметры статистической оценки клеточного состава цитологических мазков в 1-е сутки после операции в группах исследования были близки по значениям (p>0,05), что свидетельствовало об однородности групп. Однако у показателей ДН и Л не была статистически доказана однородность, что объяснялось малой выборкой исследования.
По результатам расчета дисперсионного анализа с повторными измерениями для обеих групп были доказаны статистически значимые изменения клеточного состава в цитограммах на 1-е и 9-е сутки послеоперационного периода. В основной группе наблюдали более быстрое снижение количества ДН, которые на 9-е сутки составили 3,8 ± 0,3%, в отличие от группы сравнения - 12,5 ± 0,4%. Также отмечали более быстрое повышение РДИ в основной группе - на 9-е сутки значения РДИ составили 8,2 ± 0,1, в отличии от группы сравнения (2,4 ± 0,1). Такая динамика клеточных реакций свидетельствовала о более интенсивных процессах очищения гнойной полости и более активном фагоцитозе у больных основной группы. Динамика средних значений дегенеративных нейтрофилов и значений РДИ в цитологических мазках у больных с флегмонами мягких тканей, в группах исследования представлены на рисунках 2, 3.
Рис. 2. Динамика средних значений дегенеративных нейтрофилов в цитограммах обеих групп исследования у пациентов с флегмонами мягких тканей.
Fig. 2. Dynamics of average values of degenerative neutrophils in cytograms of both study groups in patients with soft tissue phlegmon.
Рис. 3. Динамика средних значений регенеративно-дегенеративного индекса в цитограммах обеих групп исследования у пациентов с флегмонами мягких тканей.
Fig. 3. Dynamics of the average values of the regenerative-degenerative index in cytograms of both study groups in patients with soft tissue phlegmon.
Для оценки репаративного потенциала гнойных ран проведена цитологическая оценка количественного состава лимфоцитов, макрофагов и фибробластов в группах исследования на 1-е и 9-е сутки послеоперационного периода. Результаты расчета дисперсионного анализа с повторными измерениями показали, что для этих переменных отклонены все три нулевые гипотезы, по всем трем гипотезам p<0,05. Различие между группами для данных переменных статистически значимо в целом за весь период наблюдений. В основной группе, где использовались программируемые санационные технологии, количество лимфоцитов, макрофагов и фибробластов всегда было больше. Также для этих переменных обнаружено наличие значимого взаимодействия между фактором времени и группой. Это свидетельствовало об активных регенераторных процессах в ранах в основной группы пациентов, а структура цитограмм в цитологических мазках в основной группе характеризовалась регенеративным типом. Динамика средних значений макрофагов и фибробластов в цитологических мазках у пациентов с флегмонами мягких тканей в группах исследования представлена на рисунках 4, 5.
Рис. 4. Динамика средних значений макрофагов в цитограммах групп исследования у пациентов с флегмонами мягких тканей.
Fig. 4. Dynamics of average values of macrophages in cytograms in study groups in patients with soft tissue phlegmon.
Рис. 5. Динамика средних значений фибробластов в цитограммах групп исследования у пациентов с флегмонами мягких тканей.
Fig. 5. Dynamics of mean values of fibroblasts in cytograms in study groups in patients with soft tissue phlegmon.
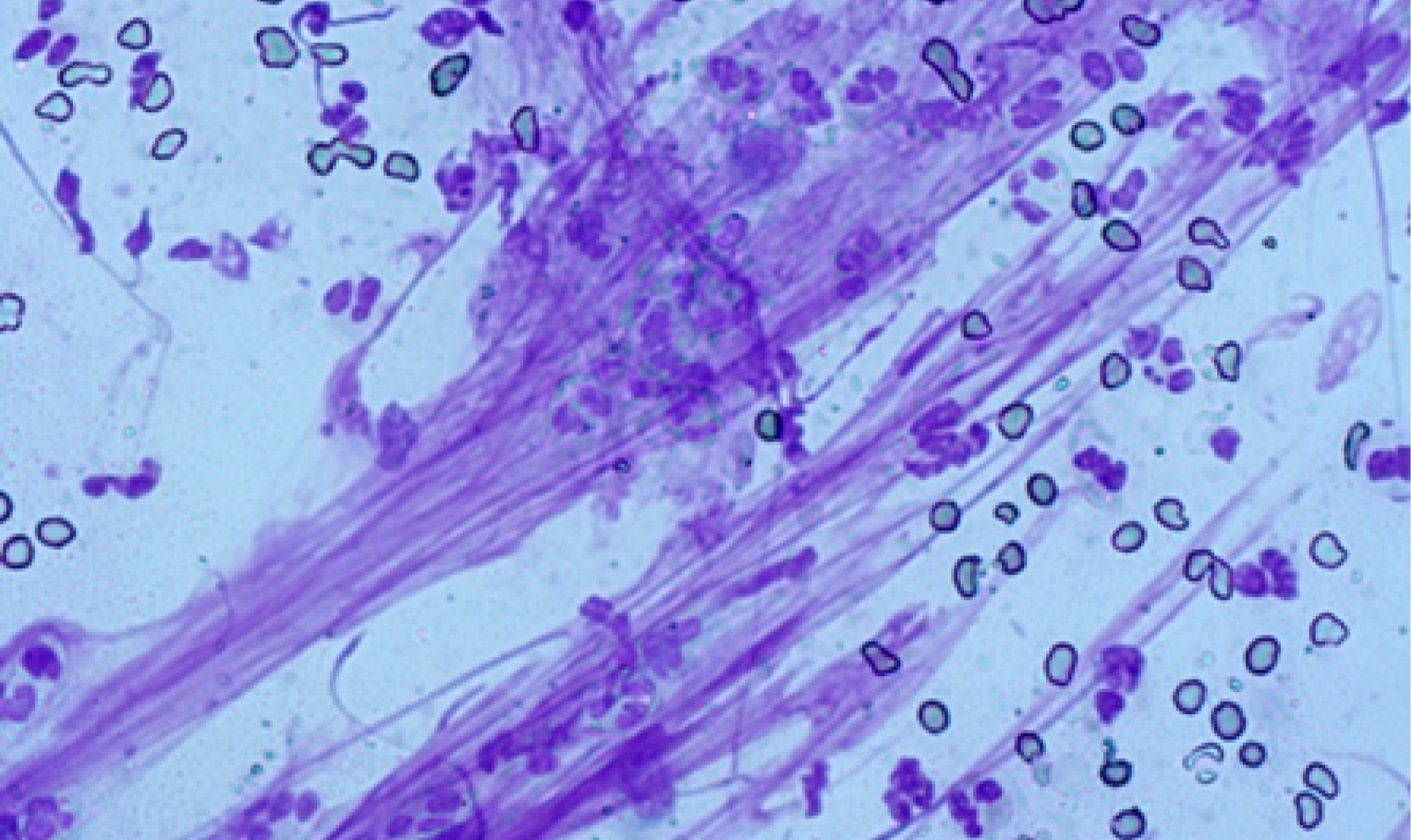
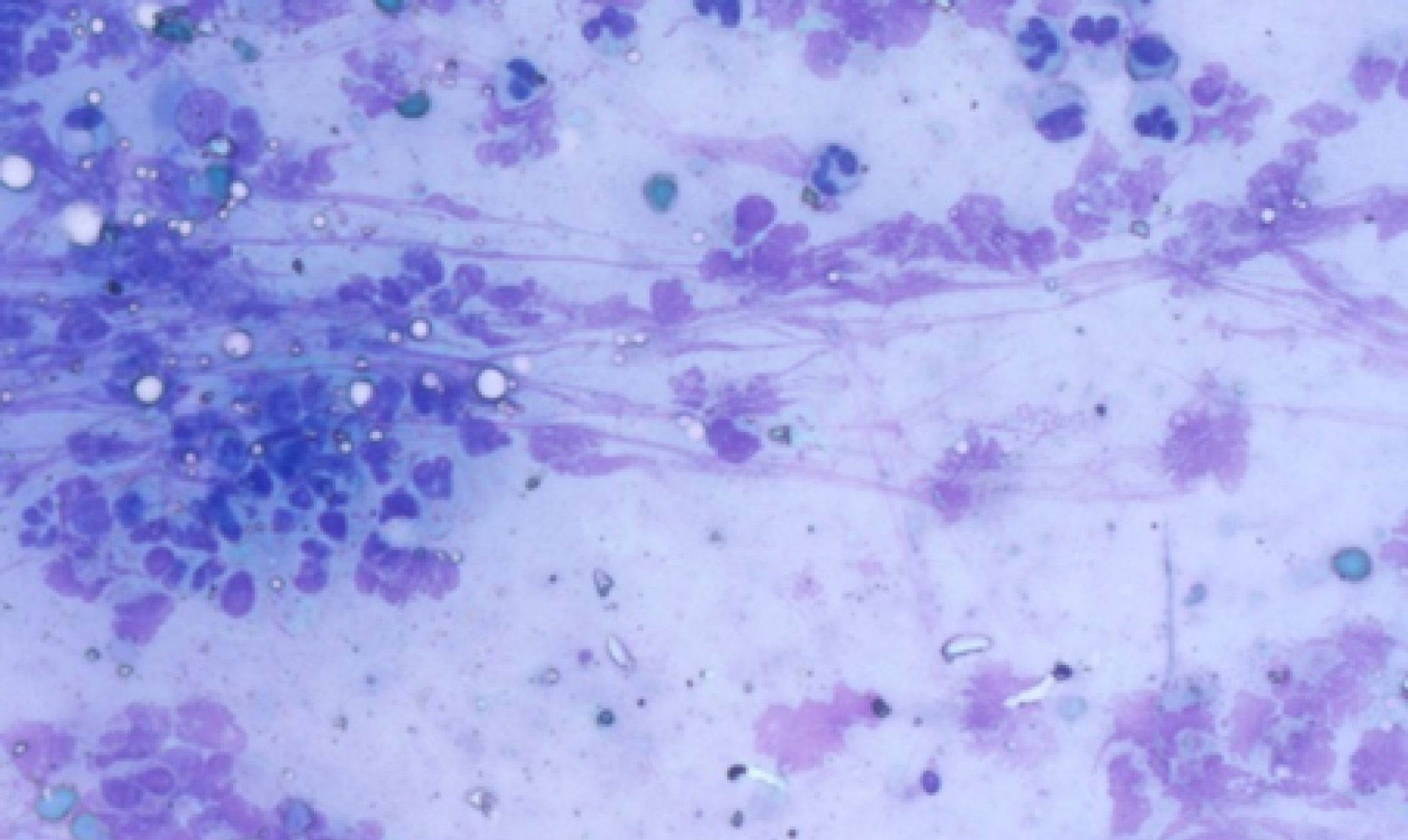
Цитологическая картина мазков в основной группе на 5-е сутки послеоперационного периода соответствовала воспалительному или воспалительно-регенеративному типам клеточной реакции. Отмечены статистически значимые снижение количества дегенеративных нейтрофилов (16,8±2,2%) увеличение числа сохранных форм нейтрофилов (p<0,001) и РДИ – 2,9±0,4 (p<0,001). Появились плазматические клетки, гистиоциты. Наблюдали статистически значимое увеличение количества активных макрофагов – 4,6±0,6%, лимфоцитов – 5.8±0.6%, фибробластов - 4,2±0,5% (p<0,001); появление групп клеток молодой соединительной ткани (фиброцитов, фибробластов). Микрофлора определялась в небольшом количестве, в стадии завершенного фагоцитоза. В группе сравнения, на 5-е сутки лечения, цитологическая картина в мазках соответствовала воспалительному типу клеточной реакции и характеризовалась нейтрофильной реакцией; количество сохранных форм нейтрофилов возросло: СЯН – 42,6±3,8%, ПЯН - 6,2±0,8%; количество дегенеративных форм стало меньше – 56,7±2,2%. Значения РДИ были близки к единице – 0,9±0,2. Внутри- и внеклеточно определялась микрофлора, чаще наблюдались случаи завершенного фагоцитоза. Встречались единичные, активно фагоцитирующие лейкоциты, макрофаги, лимфоциты. На рисунках 6,7 представлены фрагменты цитологических мазков с поверхности раны на 5-е сутки в исследуемых группах.
Рис. 6. Фрагмент цитограммы мазка с поверхности раны на 5-е сутки, основная группа. Среди нейтрофилов и полибластов обнаружены фиброциты, фибробласты, фиброзные волокна. Окраска по Романовскому-Гимзе. Увеличение × 400.
Fig. 6. A fragment of a cytogram of a smear from the wound surface on the 5th day, the main group. Fibrocytes, fibroblasts, and fibrous fibers were found among neutrophils and polyblasts. Coloring according to Romanovsky-Gimse. Magnification × 400.
Рис. 7. Фрагмент цитограммы мазка с поверхности раны на 5-е сутки, группа сравнения. Наблюдаются единичные активно фагоцитирующие лейкоциты, макрофаги, лимфоциты. Элементы грануляционной ткани единичны. Окраска по Романовскому-Гимзе. Увеличение × 400.
Fig. 7. Fragment of a cytogram of a smear from the wound surface on the 5th day, comparison group. Single actively phagocytic leukocytes, macrophages, and lymphocytes are observed. The elements of granulation tissue are single. Coloring according to Romanovsky-Gimse. Magnification × 400.
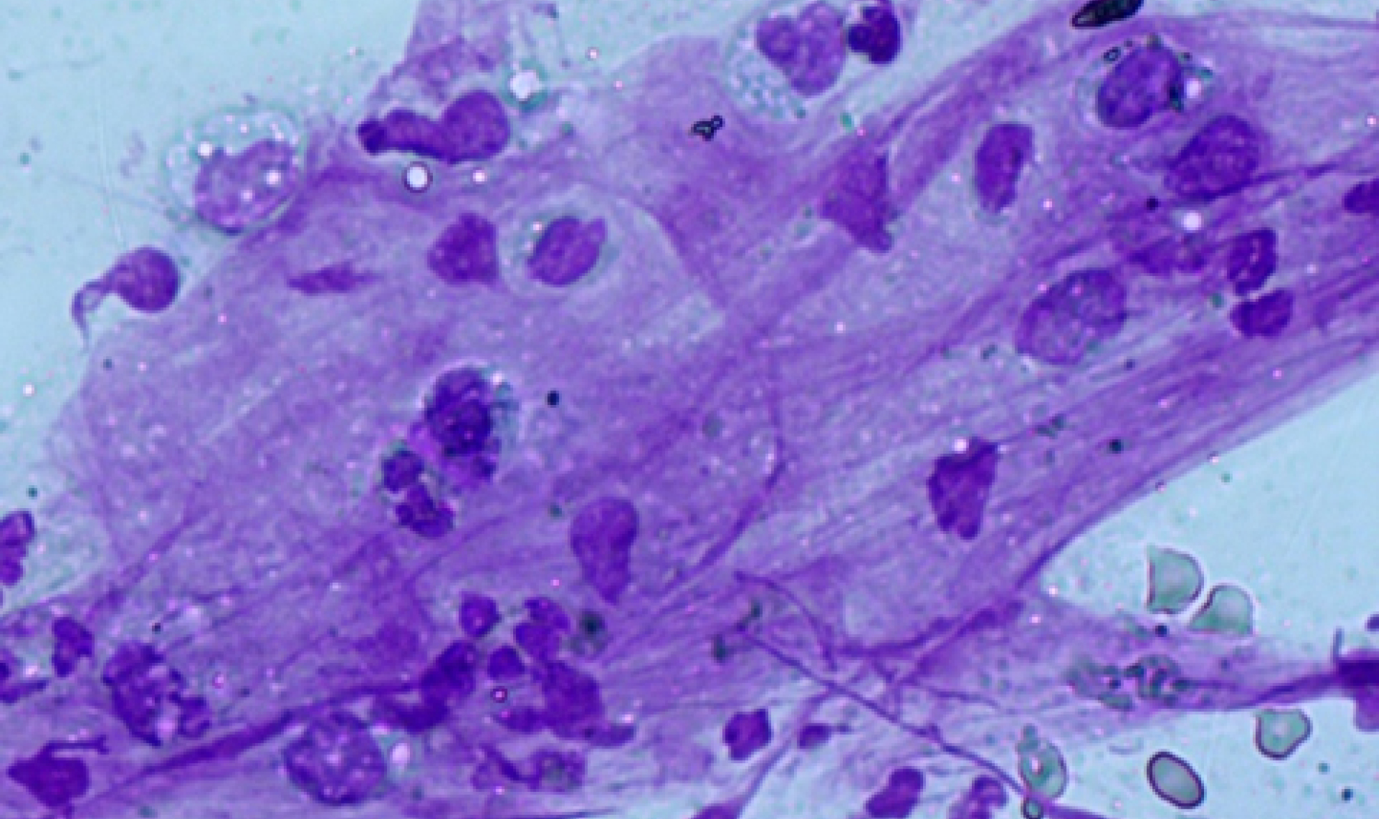
В основной группе на 9-е сутки после операции цитологическая картина соответствовала регенеративному типу клеточных реакций: снижено общее количество нейтрофильных лейкоцитов, преобладали их сохранные формы, отмечено отсутствие микрофлоры. Клеточные элементы представлены преимущественно дифференцированными клетками (профибробластами, фибробластами), которые находились среди волокон промежуточного вещества. Эпителиальные клетки располагались в виде характерных клеточных пластов.
В группе сравнения цитологическая картина на 9-е сутки соответствовала воспалительно-регенеративному или регенеративно-воспалительному типам цитограмм. Снизилось количество дегенеративных нейтрофилов, стало больше сохранных форм. Увеличилось количество недифференцированных полибластов, фибробластов, макрофагов. Микрофлора определялась в небольшом количестве, преимущественно внутриклеточно в фазе завершенного фагоцитоза. На рисунках 8,9 представлены фрагменты цитологических мазков с поверхности раны в исследуемых группах на 9-е сутки.
Рис. 8. Фрагмент цитограммы мазка с поверхности раны на 9-е сутки, основная группа. Фибробласты, полибласты, макрофаги располагаются среди волокнистых структур промежуточного вещества. Эпителий представлен в виде пластов клеток. Окраска по Романовскому-Гимзе. Увеличение × 400.
Fig. 8. Fragment of a cytogram of a smear from the wound surface on the 9th day, the main group. Fibroblasts, polyblasts, macrophages are located among the fibrous structures of the intermediate substance. The epithelium is represented as layers of cells. Coloring according to Romanovsky-Gimse. Magnification × 400.
Рис. 9. Фрагмент цитограммы мазка с поверхности раны на 9-е сутки, группа сравнения. Уменьшилось число одноядерных клеток, увеличилось количество полибластов, фибробластов, макрофагов. Наблюдаются нежные волокнистые структуры промежуточного вещества. Окраска по Романовскому-Гимзе. Увеличение × 400.
Fig. 9. Fragment of a cytogram of a smear from the wound surface on the 9th day, comparison group. The number of mononuclear cells decreased, the number of polyblasts, fibroblasts, macrophages increased. Delicate fibrous structures of the intermediate were observed. Coloring according to Romanovsky-Gimse. Magnification × 400.
Обсуждение
Анализируя динамику цитологической картины у пациентов с флегмонами мягких тканей в группах исследования, было доказано, что применение программируемых санационных технологий создает условия для более качественной санации гнойных полостей и приводит к сокращению длительности всех фаз раневого процесса. Хирургическая обработка гнойного очага, длительное промывание раневой полости в послеоперационном периоде, программное обеспечение процесса дренирования позволили в основной группе статистически значимо быстрее (на 69,6%) снизить количество дегенеративных нейтрофилов (p<0,001), повысить значения РДИ на 70,2%, по сравнению с традиционным лечением (p<0,001), что свидетельствовало о более активном фагоцитозе, более интенсивном очищении гнойных ран от нежизнеспособных тканей, токсинов, протеолитических ферментов и патогенной микрофлоры. Вследствие этого достоверно сокращалась фаза воспаления и наблюдался более быстрый переход к фазе регенерации. Наложение кожных швов на гнойную рану, в сочетании с активным ее дренированием после хирургической санации, создавало условия для ускорения репаративных процессов и завершения фазы регенерации. При этом, в основной группе, к 9-м суткам после операции, отмечали статистически значимое макрофагов (на 81,6%) и фибробластов (на 96,8%), по сравнению с традиционным местным лечением (p<0,001). У пациентов группы сравнения при традиционном лечении, наблюдали более низкую интенсивность клеточных реакций в ранах, где удлинялась фаза воспаления и только к 9-м суткам отмечался воспалительный тип цитограмм. Для группы сравнения также была характерна вялость репаративных процессов в ране, что приводило к удлинению сроков заживлению.
Вывод
Цитологическое исследование мазков у пациентов с флегмонами мягких тканей при применении программируемых санационных технологий позволило выявить более высокую скорость клеточных реакций, которая способствовала сокращению фазы воспаления и ускорению репаративных процессов в ране.
Дополнительная информация
Конфликт интересов
Авторы декларируют отсутствие явных и потенциальных конфликтов интересов, связанных с публикацией настоящей статьи.
About the authors
Vladimir A. Sergeev
Orel State University named after I.S. Turgenev
Email: sergeevdoc60@yandex.ru
Ph.D., Associate Professor of the Department of Specialized Surgical Disciplines
Russian Federation, OryolAlexander A. Glukhov
Voronezh State Medical University named after N.N. Burdenko
Email: glukhov-vrn@yandex.ru
https://vrngmu.ru/academy/personnel/967/
M.D., Professor, head of the Department of General and Outpatient Surgery
Russian Federation, VoronezhAnton P. Ostroushko
Voronezh State Medical University named after N.N. Burdenko
Email: anton@vrngmu.com
Ph.D., associate Professor of the Department of Department of General and Outpatient Surgery
Russian Federation, VoronezhMaria V. Aralova
Voronezh State Medical University named after N.N. Burdenko
Author for correspondence.
Email: Mashaaralova@mail.ru
M.D., Professor of the Department of General and Outpatient Surgery
Russian Federation, VoronezhReferences
- Belik BM, Chumburidze IP, Shtilman MYu, Yavruyan OA, Savchenko YuP. Complex treatment of patients with purulent-necrotic complications in the neuropathic form of diabetic foot syndrome. Surgery. 2020; 4: 81-87. doi: 10.17116/surgery 202004181. (in Russ.)
- Larichev A, Shishlo V, Lisovskii A, Chistyakov A, Vasil'ev A. Wound infection prevention and morphological aspects of aseptic wound healing. Journal of Experimental and Clinical Surgery. 2011; 4: 4: 728-733. doi: 10.18499/2070-478X-2011-4-4-728-733 (in Russ.)
- Mitish VA, Zvyagin AA, Blatun LA, Paskhalova YS, Ushakov AA, Borisov IV, Orujeva SA, Magomedova SD, Turova TG, Agafonova SI, Sashurina LP, Maslova EA, Bozheva EI, Terekhova RP, Prudnikova SA, Zhedaeva MV, Nasonova NV. Yubilei otdela ran i ranevykh infektsii instituta khirurgii im. A.V. Vishnevskogo: polveka truda i uspekha. 6-i mezhdunarodnyi nauchno-prakticheskii kongress «Rany i ranevye infektsii». 2023; 3-5.(in Russ.)
- Kuzin MI, Kostyuchenok BM. Rany i ranevaya infektsiya: rukovodstvo dlya vrachei. Moskva: Meditsina. 1990; 592. (in Russ.)
- Tretyakov AA, Vetrov PS, Neverov NA, Shchetinin AF. Treatment of purulent wounds. Surgery news. 2015; 23(6): 680-687. doi: 10.18484/2305-0047.2015.6.680 (in Russ.)
- Revishvili A.Sh. Khirurgicheskaya pomoshch' v Rossiiskoi Federatsii: informatsionno-analiticheskii sbornik za 2021 god. Moskva: Dominant. 2022; 200. (in Russ.)
- Chekmareva IA, Blatun LA, Paskhalova YS, Mitish VA, Paklina OV, Terekhova RP, Sepeda PP, Magomedova SD, Ushakov AA, Sokov SL. Morphological justification of the effectiveness of ultrasonic cavitation with 0.2% lavasept solution in the treatment of purulent-necrotic complications of diabetic arrest syndrome. Surgery. 2019; 7: 63-70. doi: 10.17116/surgeon201907163. (in Russ.)
- Alizai Q, Haseeb A, Hamayun S, Khan S, Ali F, Roghani M, Khan MA, Ullah F, Khan W, Ijaz N. Community-Acquired Skin and Soft Tissue Infections: Epidemiology and Management in Patients Presenting to the Emergency Department of a Tertiary Care Hospital. Cureus. 2023; 15(1): e34379. doi: 10.7759/cureus.34379.
- Bouza E, Burillo A, Muñoz P. How to manage skin and soft-tissue infections in the emergency department. Curr Opin Infect Dis. 2023; 36(2): 81-88. doi: 10.1097/QCO.0000000000000906.
- Field AS, Zarka MA. Practical Cytopathology. A Diagnostic Approach to Fine Needle Aspiration Biopsy. Elsevier. 2017; 563.
- Horgos MS, Pop OL, Sandor M, Borza IL, Negrean RA, Cote A, Neamtu AA, Grierosu C, Sachelarie L, Huniadi A. Platelets Rich Plasma (PRP) Procedure in the Healing of Atonic Wounds. J Clin Med. 2023; 12(12):3890. doi: 10.3390/jcm12123890.
- May L, Klein EY, Martinez EM, Mojica N, Miller LG. Incidence and factors associated with emergency department visits for recurrent skin and soft tissue infections in patients in California, 2005-2011. Epidemiol Infect. 2017; 145(4): 746-754. doi: 10.1017/S0950268816002855.
- Midwood KS. Tissue repair and the dynamics of the extracellular matrix. The International Journal of Biochemistry & Cell Biology. 2004; 36(2): 1031-1037. doi: 10.1016/j.biocel.2003.12.003
- Muthukumar B, Nandini MS, Elumalai P, Balakrishnan M, Satheeshkumar A, AlSalhi MS, Devanesan S, Parthipan P, Rajasekar A, Malik T. Enhancement of cell migration and wound healing by nano-herb ointment formulated with biosurfactant, silver nanoparticles and Tridax procumbens. Front Microbiol. 2023; 14:1225769. doi: 10.3389/fmicb.2023.1225769.
- Puro V, Coppola N, Frasca A, Gentile I, Luzzaro F, Peghetti A, Sganga G. Pillars for prevention and control of healthcare-associated infections: an Italian expert opinion statement. Antimicrob Resist Infect Control. 2022; 11(1):87. doi: 10.1186/s13756-022-01125-8.
- Sergeev VA, Glukhov AA. Results of operative therapy of diabetic foot purulent complications using programmed sanitation technologies. Zeitschrift für Gefäßmedizin. 2020; 17(3): 13-17. EDN BKSUCQ.
- Sergeev VA, Glukhov AA, Sorokin AS. Сytological study of the dynamics of the wound process in purulent lesions of the diabetic foot syndrome with the use of programmable rehabilitation technologies. Periódico Tchê Química. 2021. 18(37): 212-227.
- Shaprynskyi VO, Skalskyi SS, Shaprynskyi YV, Verba AV, Makarov VM. Complex treatment of purulent wounds with the use of high-pressure aerodisperse mixture. Wiad Lek. 2020;73(5): 889-894. PMID: 32386364. – EDN KWHIHM.
- Stieferman AE, Mazi P, Burnham JP. Severe Skin and Soft-Tissue Infections. Semin Respir Crit Care Med. 2022; 43(1): 3-9.
- Xiao H, Chen X, Liu X, Wen G, Yu Y. Recent advances in decellularized biomaterials for wound healing. Mater Today Bio. 2023; 19:100589. doi: 10.1016/j.mtbio.2023.100589.
- Vasalou V, Kotidis E, Tatsis D, Boulogeorgou K, Grivas I, Koliakos G, Cheva A, Ioannidis O, Tsingotjidou A, Angelopoulos S. The Effects of Tissue Healing Factors in Wound Repair Involving Absorbable Meshes: A Narrative Review. J Clin Med. 2023; 12(17): 5683. doi: 10.3390/jcm12175683.
- Vu H, Nair A, Tran L. A Device to Predict Short-Term Healing Outcome of Chronic Wounds. Adv. Wound Care (New Rochelle). 2020; 9(6): 312-324. doi: 10.1089/wound.2019.1064
Supplementary files




















